Suppr超能文献

上市前三周热应激对商品肉鸡、土鸡及杂交鸡组织学以及与脂肪浸润和炎症相关基因表达的影响

Influences of Thermal Stress During Three Weeks Before Market Age on Histology and Expression of Genes Associated With Adipose Infiltration and Inflammation in Commercial Broilers, Native Chickens, and Crossbreeds.

作者信息

Malila Yuwares, Sanpinit Pornnicha, Thongda Wilawan, Jandamook Anuwat, Srimarut Yanee, Phasuk Yupin, Kunhareang Sajee

机构信息

National Center for Genetic Engineering and Biotechnology (BIOTEC), Thailand Science Park, Pathum Thani, Thailand.

Center of Excellence for Shrimp Molecular Biology and Biotechnology (CENTEX Shrimp), Faculty of Science, Mahidol University, Bangkok, Thailand.

出版信息

Front Physiol. 2022 Apr 12;13:858735. doi: 10.3389/fphys.2022.858735. eCollection 2022.

Abstract

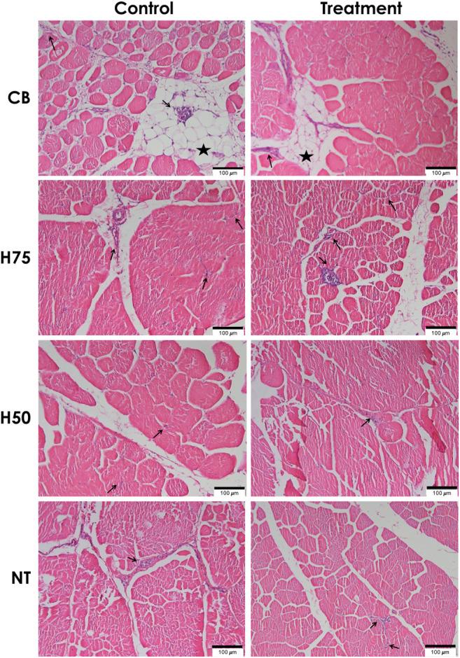
The objectives of this study were to examine the effects of cyclic thermal stress on histological characteristics of breast muscle and gene expression regarding adipose infiltration and inflammation in breast muscles collected from different breeds of chickens. The birds, from commercial broilers (CB, Ross 308, 3 weeks), native (NT, 100% Thai native Chee, 9 weeks), H75 (crossbred; 75% broiler and 25% NT, 5 weeks), and H50 (crossbred; 50% broiler and 50% NT, 7 weeks), were equally assigned into control or treatment groups. The control samples were reared under a constant temperature of 26 ± 1°C, while the treatment groups were exposed to 35 ± 1°C (6 h per day). After a 20-day thermal challenge, 12 male birds per treatment group were randomly collected for determination of live body weight, breast weight, numbers of growth-related myopathies, and breast meat chemical composition. Histological lesions were evaluated in the pectoralis major muscle immediately collected within 20 min postmortem based on hematoxylin and eosin staining. The results indicated that despite interaction between thermal stress and breed effects, thermal challenge significantly reduced feed intake, live body weight, and breast weight of the birds and increased moisture content in breast meat ( < 0.05). An interaction between the two main factors was found for protein content ( < 0.05) for which control CB showed less protein than the other groups. Heat stress decreased histological scores for adipose infiltration in CB ( < 0.05), but it did not significantly influence such scores in the other groups. CB received histological scores for adipose tissue at greater extent than those for the other groups. Differential absolute abundance of , , , , , , , , and in the muscle samples well-agreed with the trend of histological scores, suggesting potential involvement of dysregulated fibro-adipogenic progenitors together with imbalanced lipid storage and utilization in the breast muscle. The findings demonstrated that the cyclic thermal challenge restricted growth performance and breast mass of the birds, but such effects attenuated infiltration of adipose tissue and inflammatory cells in the CB breast muscle.

摘要

本研究的目的是检测周期性热应激对不同品种鸡胸肌组织学特征以及胸肌中脂肪浸润和炎症相关基因表达的影响。选取商业肉鸡(CB,罗斯308,3周龄)、本地鸡(NT,100%泰国本地鸡Chee,9周龄)、H75(杂交种;75%肉鸡和25%本地鸡,5周龄)和H50(杂交种;50%肉鸡和50%本地鸡,7周龄)的鸡,将其平均分为对照组和处理组。对照组样本在26±1°C的恒定温度下饲养,而处理组每天暴露于35±1°C(每天6小时)。经过20天的热应激挑战后,每个处理组随机收集12只雄性鸡,测定其活体体重、胸肌重量、生长相关肌病的数量以及胸肉化学成分。基于苏木精和伊红染色,在死后20分钟内立即收集胸大肌,评估组织学病变。结果表明,尽管热应激和品种效应之间存在相互作用,但热应激挑战显著降低了鸡的采食量、活体体重和胸肌重量,并增加了胸肉中的水分含量(P<0.05)。发现两个主要因素之间存在蛋白质含量的相互作用(P<0.05),其中对照组CB的蛋白质含量低于其他组。热应激降低了CB中脂肪浸润的组织学评分(P<0.05),但对其他组的此类评分没有显著影响。CB的脂肪组织组织学评分高于其他组。肌肉样本中、、、、、、、、和的差异绝对丰度与组织学评分趋势高度一致,表明纤维脂肪生成祖细胞失调以及胸肌中脂质储存和利用失衡可能参与其中。研究结果表明,周期性热应激限制了鸡的生长性能和胸肌质量,但这种影响减弱了CB胸肌中脂肪组织和炎症细胞的浸润。

https://cdn.ncbi.nlm.nih.gov/pmc/blobs/297e/9039046/f2d87fdd6fed/fphys-13-858735-g001.jpg

文献AI研究员

20分钟写一篇综述,助力文献阅读效率提升50倍。

立即体验

用中文搜PubMed

大模型驱动的PubMed中文搜索引擎

马上搜索

文档翻译

学术文献翻译模型,支持多种主流文档格式。

立即体验