Suppr超能文献

钠-葡萄糖协同转运蛋白2抑制的直接心脏作用改善压力超负荷诱导的心力衰竭中的线粒体功能并减轻氧化应激。

Direct Cardiac Actions of Sodium-Glucose Cotransporter 2 Inhibition Improve Mitochondrial Function and Attenuate Oxidative Stress in Pressure Overload-Induced Heart Failure.

作者信息

Li Xuan, Flynn Elizabeth R, do Carmo Jussara M, Wang Zhen, da Silva Alexandre A, Mouton Alan J, Omoto Ana C M, Hall Michael E, Hall John E

机构信息

Department of Physiology and Biophysics, Mississippi Center for Obesity Research, Mississippi Center for Heart Research, University of Mississippi Medical Center, Jackson, MS, United States.

出版信息

Front Cardiovasc Med. 2022 May 12;9:859253. doi: 10.3389/fcvm.2022.859253. eCollection 2022.

Abstract

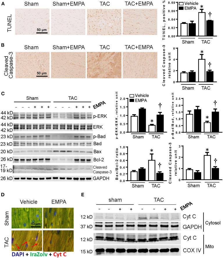
Clinical trials showed that sodium-glucose cotransporter 2 (SGLT2) inhibitors, a class of drugs developed for treating diabetes mellitus, improve prognosis of patients with heart failure (HF). However, the mechanisms for cardioprotection by SGLT2 inhibitors are still unclear. Mitochondrial dysfunction and oxidative stress play important roles in progression of HF. This study tested the hypothesis that empagliflozin (EMPA), a highly selective SGLT2 inhibitor, improves mitochondrial function and reduces reactive oxygen species (ROS) while enhancing cardiac performance through direct effects on the heart in a non-diabetic mouse model of HF induced by transverse aortic constriction (TAC). EMPA or vehicle was administered orally for 4 weeks starting 2 weeks post-TAC. EMPA treatment did not alter blood glucose or body weight but significantly attenuated TAC-induced cardiac dysfunction and ventricular remodeling. Impaired mitochondrial oxidative phosphorylation (OXPHOS) in failing hearts was significantly improved by EMPA. EMPA treatment also enhanced mitochondrial biogenesis and restored normal mitochondria morphology. Although TAC increased mitochondrial ROS and decreased endogenous antioxidants, EMPA markedly inhibited cardiac ROS production and upregulated expression of endogenous antioxidants. In addition, EMPA enhanced autophagy and decreased cardiac apoptosis in TAC-induced HF. Importantly, mitochondrial respiration significantly increased in cardiac fibers after direct treatment with EMPA. Our results indicate that EMPA has direct effects on the heart, independently of reductions in blood glucose, to enhance mitochondrial function by upregulating mitochondrial biogenesis, enhancing OXPHOS, reducing ROS production, attenuating apoptosis, and increasing autophagy to improve overall cardiac function in a non-diabetic model of pressure overload-induced HF.

摘要

临床试验表明,钠-葡萄糖协同转运蛋白2(SGLT2)抑制剂,一类用于治疗糖尿病的药物,可改善心力衰竭(HF)患者的预后。然而,SGLT2抑制剂的心脏保护机制仍不清楚。线粒体功能障碍和氧化应激在HF进展中起重要作用。本研究检验了以下假设:恩格列净(EMPA),一种高度选择性的SGLT2抑制剂,在由横向主动脉缩窄(TAC)诱导的非糖尿病HF小鼠模型中,通过对心脏的直接作用改善线粒体功能、减少活性氧(ROS),同时增强心脏功能。在TAC术后2周开始口服给予EMPA或赋形剂,持续4周。EMPA治疗未改变血糖或体重,但显著减轻了TAC诱导的心脏功能障碍和心室重塑。EMPA显著改善了衰竭心脏中线粒体氧化磷酸化(OXPHOS)受损的情况。EMPA治疗还增强了线粒体生物合成并恢复了正常的线粒体形态。尽管TAC增加了线粒体ROS并降低了内源性抗氧化剂,但EMPA显著抑制了心脏ROS的产生并上调了内源性抗氧化剂的表达。此外,EMPA增强了自噬并减少了TAC诱导的HF中的心脏细胞凋亡。重要的是,直接用EMPA处理后心脏纤维中的线粒体呼吸显著增加。我们的结果表明,在压力超负荷诱导的HF非糖尿病模型中,EMPA对心脏有直接作用且独立于血糖降低,通过上调线粒体生物合成、增强OXPHOS、减少ROS产生、减轻细胞凋亡和增加自噬来增强线粒体功能,从而改善整体心脏功能。

https://cdn.ncbi.nlm.nih.gov/pmc/blobs/8982/9135142/116ceeeab238/fcvm-09-859253-g0001.jpg

文献AI研究员

20分钟写一篇综述,助力文献阅读效率提升50倍。

立即体验

用中文搜PubMed

大模型驱动的PubMed中文搜索引擎

马上搜索

文档翻译

学术文献翻译模型,支持多种主流文档格式。

立即体验