Suppr超能文献

胆管癌的基因组全景揭示了转录后修饰因子的破坏。

The genomic landscape of cholangiocarcinoma reveals the disruption of post-transcriptional modifiers.

机构信息

Hepatobiliary Center, The First Affiliated Hospital of Nanjing Medical University, Key Laboratory of Liver Transplantation, Chinese Academy of Medical Sciences, NHC Key Laboratory of Liver Transplantation, Nanjing, 210029, China.

Department of Epidemiology, Center for Global Health, School of Public Health, Nanjing Medical University, Nanjing, China.

出版信息

Nat Commun. 2022 Jun 1;13(1):3061. doi: 10.1038/s41467-022-30708-7.

Abstract

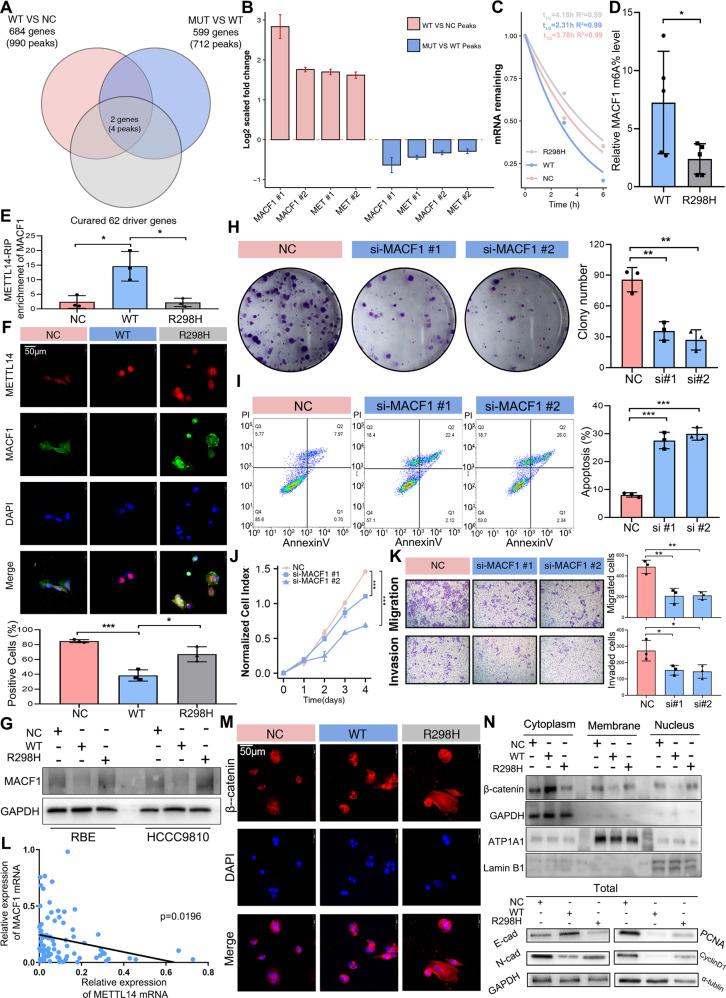
Molecular variation between geographical populations and subtypes indicate potential genomic heterogeneity and novel genomic features within CCA. Here, we analyze exome-sequencing data of 87 perihilar cholangiocarcinoma (pCCA) and 261 intrahepatic cholangiocarcinoma (iCCA) cases from 3 Asian centers (including 43 pCCAs and 24 iCCAs from our center). iCCA tumours demonstrate a higher tumor mutation burden and copy number alteration burden (CNAB) than pCCA tumours, and high CNAB indicates a poorer pCCA prognosis. We identify 12 significantly mutated genes and 5 focal CNA regions, and demonstrate common mutations in post-transcriptional modification-related potential driver genes METTL14 and RBM10 in pCCA tumours. Finally we demonstrate the tumour-suppressive role of METTL14, a major RNA N6-adenosine methyltransferase (m6A), and illustrate that its loss-of-function mutation R298H may act through m6A modification on potential driver gene MACF1. Our results may be valuable for better understanding of how post-transcriptional modification can affect CCA development, and highlight both similarities and differences between pCCA and iCCA.

摘要

地理种群和亚型之间的分子变异表明 CCA 内存在潜在的基因组异质性和新的基因组特征。在这里,我们分析了来自 3 个亚洲中心的 87 例肝门部胆管癌(pCCA)和 261 例肝内胆管癌(iCCA)病例的外显子组测序数据(包括我们中心的 43 例 pCCA 和 24 例 iCCA)。iCCA 肿瘤的肿瘤突变负担和拷贝数改变负担(CNAB)高于 pCCA 肿瘤,高 CNAB 提示 pCCA 预后不良。我们鉴定出 12 个显著突变基因和 5 个焦点 CNA 区域,并在 pCCA 肿瘤中证实了与转录后修饰相关的潜在驱动基因 METTL14 和 RBM10 的常见突变。最后,我们证明了 METTL14(一种主要的 RNA N6-腺苷甲基转移酶(m6A))的肿瘤抑制作用,并说明了其功能丧失突变 R298H 可能通过 m6A 修饰作用于潜在的驱动基因 MACF1。我们的研究结果可能有助于更好地理解转录后修饰如何影响 CCA 的发生发展,并突出 pCCA 和 iCCA 之间的相似性和差异性。

https://cdn.ncbi.nlm.nih.gov/pmc/blobs/3ae5/9160072/f7dd1a3b7d9a/41467_2022_30708_Fig1_HTML.jpg

文献AI研究员

20分钟写一篇综述,助力文献阅读效率提升50倍。

立即体验

用中文搜PubMed

大模型驱动的PubMed中文搜索引擎

马上搜索

文档翻译

学术文献翻译模型,支持多种主流文档格式。

立即体验