Suppr超能文献

p62/SQSTM1 在tau 病小鼠模型中清除毒性 tau 种属的核心作用。

Central role for p62/SQSTM1 in the elimination of toxic tau species in a mouse model of tauopathy.

机构信息

Quantum Life and Medical Science Directorate, National Institutes for Quantum Science and Technology, Chiba, Japan.

Department of Physiology, Juntendo University Graduate School of Medicine, Tokyo, Japan.

出版信息

Aging Cell. 2022 Jul;21(7):e13615. doi: 10.1111/acel.13615. Epub 2022 Jun 5.

Abstract

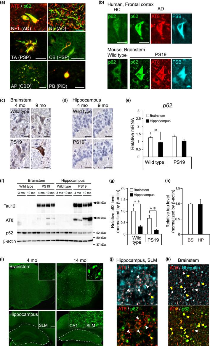
Intracellular accumulation of filamentous tau aggregates with progressive neuronal loss is a common characteristic of tauopathies. Although the neurodegenerative mechanism of tau-associated pathology remains unclear, molecular elements capable of degrading and/or sequestering neurotoxic tau species may suppress neurodegenerative progression. Here, we provide evidence that p62/SQSTM1, a ubiquitinated cargo receptor for selective autophagy, acts protectively against neuronal death and neuroinflammation provoked by abnormal tau accumulation. P301S mutant tau transgenic mice (line PS19) exhibited accumulation of neurofibrillary tangles with localization of p62 mostly in the brainstem, but neuronal loss with few neurofibrillary tangles in the hippocampus. In the hippocampus of PS19 mice, the p62 level was lower compared to the brainstem, and punctate accumulation of phosphorylated tau unaccompanied by co-localization of p62 was observed. In PS19 mice deficient in p62 (PS19/p62-KO), increased accumulation of phosphorylated tau, acceleration of neuronal loss, and exacerbation of neuroinflammation were observed in the hippocampus as compared with PS19 mice. In addition, increase of abnormal tau and neuroinflammation were observed in the brainstem of PS19/p62-KO. Immunostaining and dot-blot analysis with an antibody selectively recognizing tau dimers and higher-order oligomers revealed that oligomeric tau species in PS19/p62-KO mice were significantly accumulated as compared to PS19 mice, suggesting the requirement of p62 to eliminate disease-related oligomeric tau species. Our findings indicated that p62 exerts neuroprotection against tau pathologies by eliminating neurotoxic tau species, suggesting that the manipulative p62 and selective autophagy may provide an intrinsic therapy for the treatment of tauopathy.

摘要

丝状tau 聚集体在细胞内的积累伴随着进行性神经元丢失是 tau 病的共同特征。尽管 tau 相关病理学的神经退行性机制尚不清楚,但能够降解和/或隔离神经毒性 tau 物种的分子元素可能抑制神经退行性进展。在这里,我们提供的证据表明,p62/SQSTM1,一种选择性自噬的泛素化货物受体,对异常 tau 积累引发的神经元死亡和神经炎症具有保护作用。P301S 突变型 tau 转基因小鼠(PS19 系)表现出神经原纤维缠结的积累,p62 的定位主要在脑干,但海马神经元丢失很少有神经原纤维缠结。与脑干相比,PS19 小鼠的海马体中 p62 水平较低,并且观察到磷酸化 tau 的点状积累而没有 p62 的共定位。在 PS19 小鼠中敲除 p62(PS19/p62-KO),与 PS19 小鼠相比,海马体中观察到磷酸化 tau 的积累增加、神经元丢失加速和神经炎症加剧。此外,还观察到 PS19/p62-KO 小鼠的脑干中异常 tau 和神经炎症增加。用选择性识别 tau 二聚体和高级寡聚物的抗体进行免疫染色和点印迹分析表明,与 PS19 小鼠相比,PS19/p62-KO 小鼠中的寡聚 tau 物种明显积累,表明 p62 消除疾病相关寡聚 tau 物种的需要。我们的研究结果表明,p62 通过消除神经毒性 tau 物种对 tau 病理学发挥神经保护作用,这表明操纵 p62 和选择性自噬可能为 tau 病的治疗提供内在治疗。

https://cdn.ncbi.nlm.nih.gov/pmc/blobs/0ee9/9282839/3f71b7392583/ACEL-21-e13615-g003.jpg

文献AI研究员

20分钟写一篇综述,助力文献阅读效率提升50倍。

立即体验

用中文搜PubMed

大模型驱动的PubMed中文搜索引擎

马上搜索

文档翻译

学术文献翻译模型,支持多种主流文档格式。

立即体验