Suppr超能文献

毛钩藤碱通过靶向鞘氨醇激酶1对慢性髓性白血病细胞的生长抑制和促凋亡作用

Growth Inhibitory and Pro-Apoptotic Effects of Hirsuteine in Chronic Myeloid Leukemia Cells through Targeting Sphingosine Kinase 1.

作者信息

Gao Shan, Guo Tingting, Luo Shuyu, Zhang Yan, Ren Zehao, Lang Xiaona, Hu Gaoyong, Zuo Duo, Jia Wenqing, Kong Dexin, Yu Haiyang, Qiu Yuling

机构信息

Tianjin Key Laboratory on Technologies Enabling Development of Clinical Therapeutics and Diagnostics, School of Pharmacy, Tianjin Medical University, Tianjin 300070, China.

School and Hospital of Stomatology, Tianjin Medical University, Tianjin 300070, China.

出版信息

Biomol Ther (Seoul). 2022 Nov 1;30(6):553-561. doi: 10.4062/biomolther.2022.023. Epub 2022 Jun 15.

Abstract

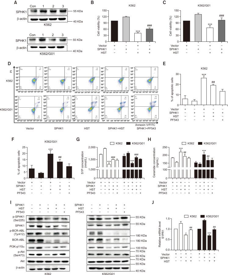
Chronic myeloid leukemia (CML) is a slowly progressing hematopoietic cell disorder. Sphingosine kinase 1 (SPHK1) plays established roles in tumor initiation, progression, and chemotherapy resistance in a wide range of cancers, including leukemia. However, small-molecule inhibitors targeting SPHK1 in CML still need to be developed. This study revealed the role of SPHK1 in CML and investigated the potential anti-leukemic activity of hirsuteine (HST), an indole alkaloid obtained from the oriental plant , in CML cells. These results suggest that SPHK1 is highly expressed in CML cells and that overexpression of SPHK1 represents poor clinical outcomes in CML patients. HST exposure led to G2/M phase arrest, cellular apoptosis, and downregulation of Cyclin B1 and CDC2 and cleavage of Caspase 3 and PARP in CML cells. HST shifted sphingolipid rheostat from sphingosine 1-phosphate (S1P) towards the ceramide coupled with a marked inhibition of SPHK1. Mechanistically, HST significantly blocked SPHK1/S1P/S1PR1 and BCR-ABL/PI3K/Akt pathways. In addition, HST can be docked with residues of SPHK1 and shifts the SPHK1 melting curve, indicating the potential protein-ligand interactions between SPHK1 and HST in both CML cells. SPHK1 overexpression impaired apoptosis and proliferation of CML cells induced by HST alone. These results suggest that HST, which may serve as a novel and specific SPHK1 inhibitor, exerts anti-leukemic activity by inhibiting the SPHK1/S1P/S1PR1 and BCR-ABL/PI3K/Akt pathways in CML cells, thus conferring HST as a promising anti-leukemic drug for CML therapy in the future.

摘要

慢性粒细胞白血病(CML)是一种进展缓慢的造血细胞疾病。鞘氨醇激酶1(SPHK1)在包括白血病在内的多种癌症的肿瘤起始、进展和化疗耐药中发挥着既定作用。然而,针对CML中SPHK1的小分子抑制剂仍有待开发。本研究揭示了SPHK1在CML中的作用,并研究了从东方植物中获得的一种吲哚生物碱——毛钩藤碱(HST)在CML细胞中的潜在抗白血病活性。这些结果表明,SPHK1在CML细胞中高表达,且SPHK1的过表达代表CML患者的临床预后较差。HST处理导致CML细胞出现G2/M期阻滞、细胞凋亡,并使细胞周期蛋白B1和细胞分裂周期蛋白2(CDC2)下调,半胱天冬酶3(Caspase 3)和聚(ADP-核糖)聚合酶(PARP)裂解。HST使鞘脂变阻器从1-磷酸鞘氨醇(S1P)转向神经酰胺,并显著抑制SPHK1。从机制上讲,HST显著阻断SPHK1/S1P/S1P受体1(S1PR1)和BCR-ABL/磷脂酰肌醇-3-激酶(PI3K)/蛋白激酶B(Akt)信号通路。此外,HST可与SPHK1的残基对接,并改变SPHK1的解链曲线,表明在CML细胞中SPHK1与HST之间存在潜在的蛋白质-配体相互作用。SPHK1的过表达削弱了单独使用HST诱导的CML细胞凋亡和增殖。这些结果表明,HST可能作为一种新型特异性SPHK1抑制剂,通过抑制CML细胞中的SPHK1/S1P/S1PR1和BCR-ABL/PI3K/Akt信号通路发挥抗白血病活性,从而使HST成为未来CML治疗中有前景的抗白血病药物。

https://cdn.ncbi.nlm.nih.gov/pmc/blobs/ca56/9622316/d7b00953aab1/bt-30-6-553-f1.jpg

文献AI研究员

20分钟写一篇综述,助力文献阅读效率提升50倍。

立即体验

用中文搜PubMed

大模型驱动的PubMed中文搜索引擎

马上搜索

文档翻译

学术文献翻译模型,支持多种主流文档格式。

立即体验