Suppr超能文献

脯氨酰异构化介导的构象变化决定了ATR亚细胞区室特异性功能。

Prolyl Isomerization-Mediated Conformational Changes Define ATR Subcellular Compartment-Specific Functions.

作者信息

Biswas Himadri, Zhao Shu-Jun, Makinwa Yetunde, Bassett James S, Musich Phillip R, Liu Jing-Yuan, Zou Yue

机构信息

Department of Cancer Biology, University of Toledo College of Medicine and Life Sciences, Toledo, OH, United States.

Department of Medicine, University of Toledo College of Medicine and Life Sciences, Toledo, OH, United States.

出版信息

Front Cell Dev Biol. 2022 Jun 3;10:826576. doi: 10.3389/fcell.2022.826576. eCollection 2022.

Abstract

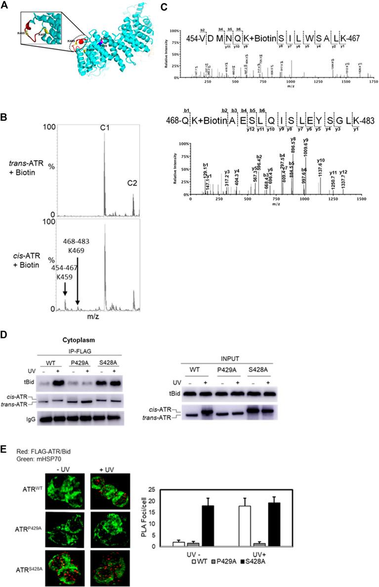
ATR is a PI3K-like kinase protein, regulating checkpoint responses to DNA damage and replication stress. Apart from its checkpoint function in the nucleus, ATR actively engages in an antiapoptotic role at mitochondria following DNA damage. The different functions of ATR in the nucleus and cytoplasm are carried out by two prolyl isomeric forms of ATR: - and -ATR, respectively. The isomerization occurs at the Pin1 Ser428-Pro429 motif of ATR. Here, we investigated the structural basis of the subcellular location-specific functions of human ATR. Using a mass spectrometry-based footprinting approach, the surface accessibility of ATR lysine residues to sulfo-NHS-LC-biotin modification was monitored and compared between the - and the -isomers. We have identified two biotin-modified lysine residues, K459 and K469, within the BH3-like domain of -ATR that were not accessible in -ATR, indicating a conformational change around the BH3 domain between and -ATR. The conformational alteration also involved the N-terminal domain and the middle HEAT domain. Moreover, experimental results from an array of complementary assays show that -ATR with the accessible BH3 domain was able to bind to tBid while -ATR could not. In addition, both - and -ATR can directly form homodimers their C-terminal domains without ATRIP, while nuclear (-ATR) in the presence of ATRIP forms dimer-dimer complexes involving both N- and C-termini of ATR and ATRIP after UV. Structural characteristics around the Ser428-Pro429 motif and the BH3 domain region are also analyzed by molecular modeling and dynamics simulation. In support, conformation was found to be significantly more energetically favorable than at the Ser428-Pro429 bond in a 20-aa wild-type ATR peptide. Taken together, our results suggest that the isomerization-induced structural changes of ATR define both its subcellular location and compartment-specific functions and play an essential role in promoting cell survival and DNA damage responses.

摘要

ATR是一种类磷脂酰肌醇-3激酶(PI3K)蛋白,可调节对DNA损伤和复制应激的检查点反应。除了其在细胞核中的检查点功能外,ATR在DNA损伤后在线粒体中还积极发挥抗凋亡作用。ATR在细胞核和细胞质中的不同功能分别由两种脯氨酰异构形式的ATR:α-和β-ATR执行。异构化发生在ATR的Pin1 Ser428-Pro429基序处。在此,我们研究了人ATR亚细胞定位特异性功能的结构基础。使用基于质谱的足迹法,监测并比较了α-和β-异构体中ATR赖氨酸残基对磺基-NHS-LC-生物素修饰的表面可及性。我们在α-ATR的BH3样结构域内鉴定出两个生物素修饰的赖氨酸残基K459和K469,它们在β-ATR中不可及,这表明α-和β-ATR之间BH3结构域周围存在构象变化。构象改变还涉及N末端结构域和中间的HEAT结构域。此外,一系列互补试验的实验结果表明,具有可及BH3结构域的α-ATR能够结合tBid,而β-ATR则不能。此外,α-和β-ATR均可在无ATRIP的情况下直接通过其C末端结构域形成同二聚体,而在紫外线照射后,细胞核中的α-ATR(与ATRIP存在时)形成涉及ATR和ATRIP的N末端和C末端的二聚体-二聚体复合物。还通过分子建模和动力学模拟分析了Ser428-Pro429基序和BH3结构域区域周围的结构特征。作为支持,在20个氨基酸的野生型ATR肽中,Ser428-Pro429键处的α构象在能量上明显比β构象更有利。综上所述,我们的结果表明,ATR的异构化诱导的结构变化决定了其亚细胞定位和特定区室的功能,并在促进细胞存活和DNA损伤反应中起重要作用。

https://cdn.ncbi.nlm.nih.gov/pmc/blobs/5525/9204103/89c34e73acad/fcell-10-826576-g001.jpg

文献AI研究员

20分钟写一篇综述,助力文献阅读效率提升50倍。

立即体验

用中文搜PubMed

大模型驱动的PubMed中文搜索引擎

马上搜索

文档翻译

学术文献翻译模型,支持多种主流文档格式。

立即体验