Suppr超能文献

中华医学会心血管病学分会精准心血管医学学组专家共识 ——人工智能在心血管疾病中的临床应用

Society for Cardiovascular Magnetic Resonance/European Society of Cardiovascular Imaging/American Society of Echocardiography/Society for Pediatric Radiology/North American Society for Cardiovascular Imaging Guidelines for the use of cardiovascular magnetic resonance in pediatric congenital and acquired heart disease : Endorsed by The American Heart Association.

机构信息

Departments of Pediatrics (Cardiology) and Radiology, The Perelman School of Medicine, University of Pennsylvania, Philadelphia, PA, USA.

Division of Cardiology, Department of Pediatrics, The Children's Hospital of Philadelphia, Philadelphia, PA, USA.

出版信息

J Cardiovasc Magn Reson. 2022 Jun 21;24(1):37. doi: 10.1186/s12968-022-00843-7.

Abstract

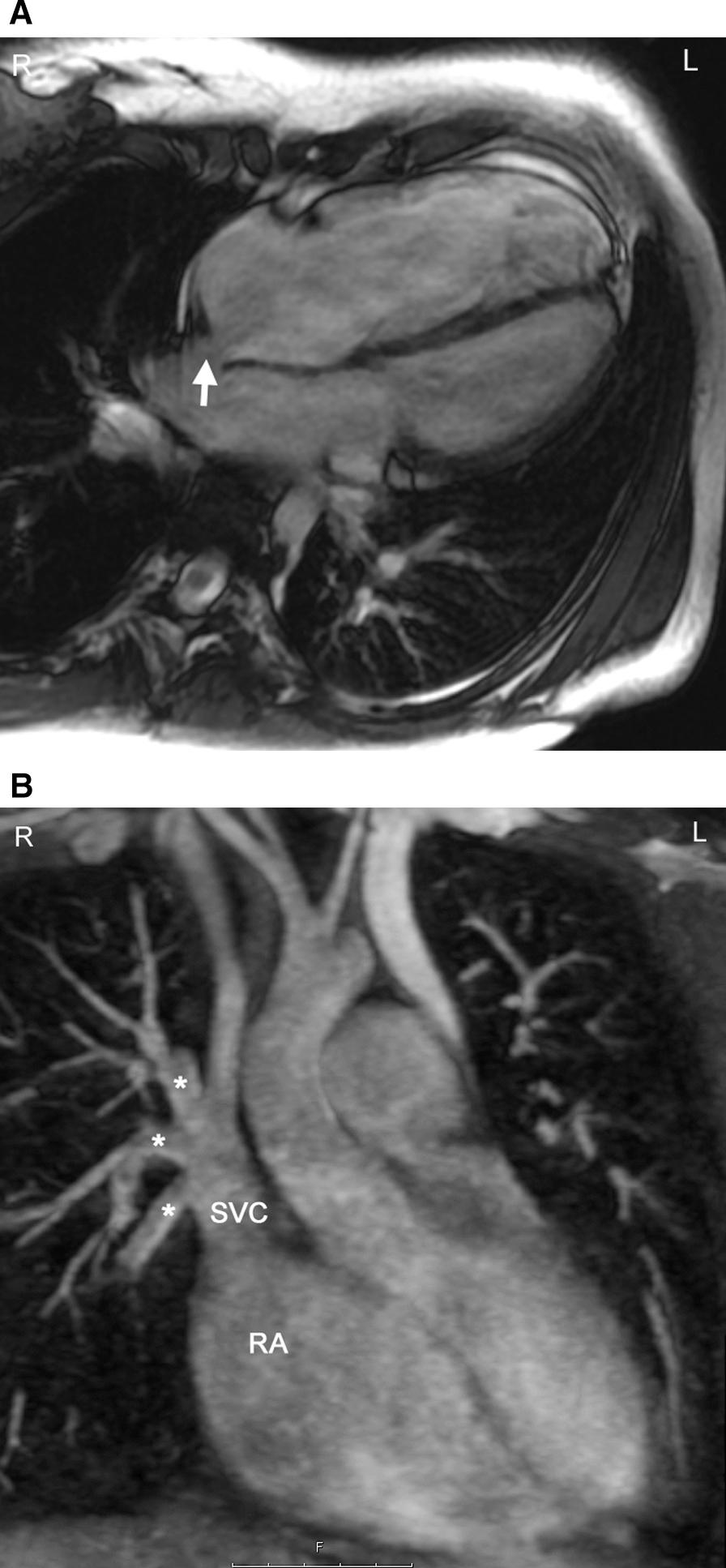
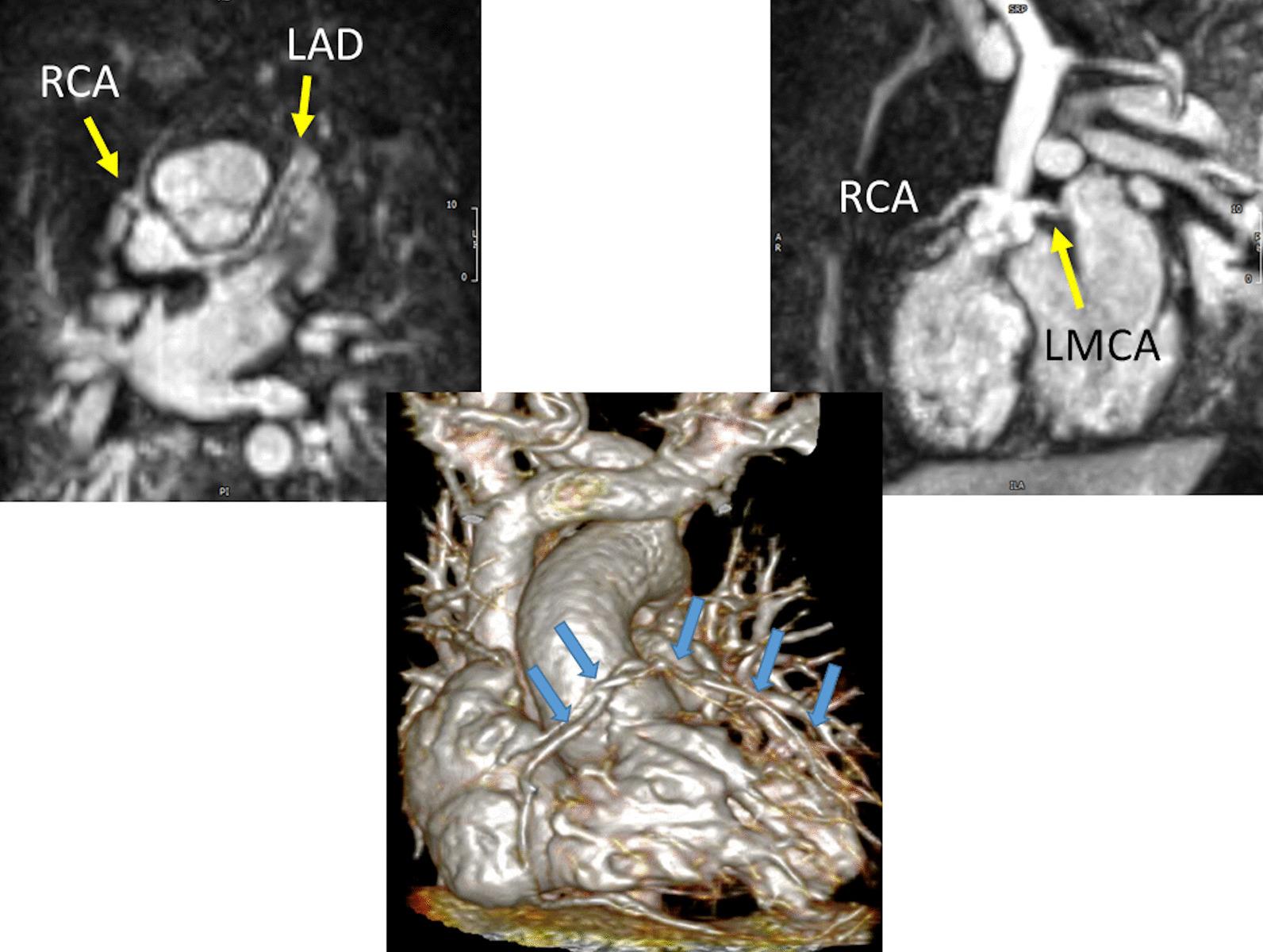
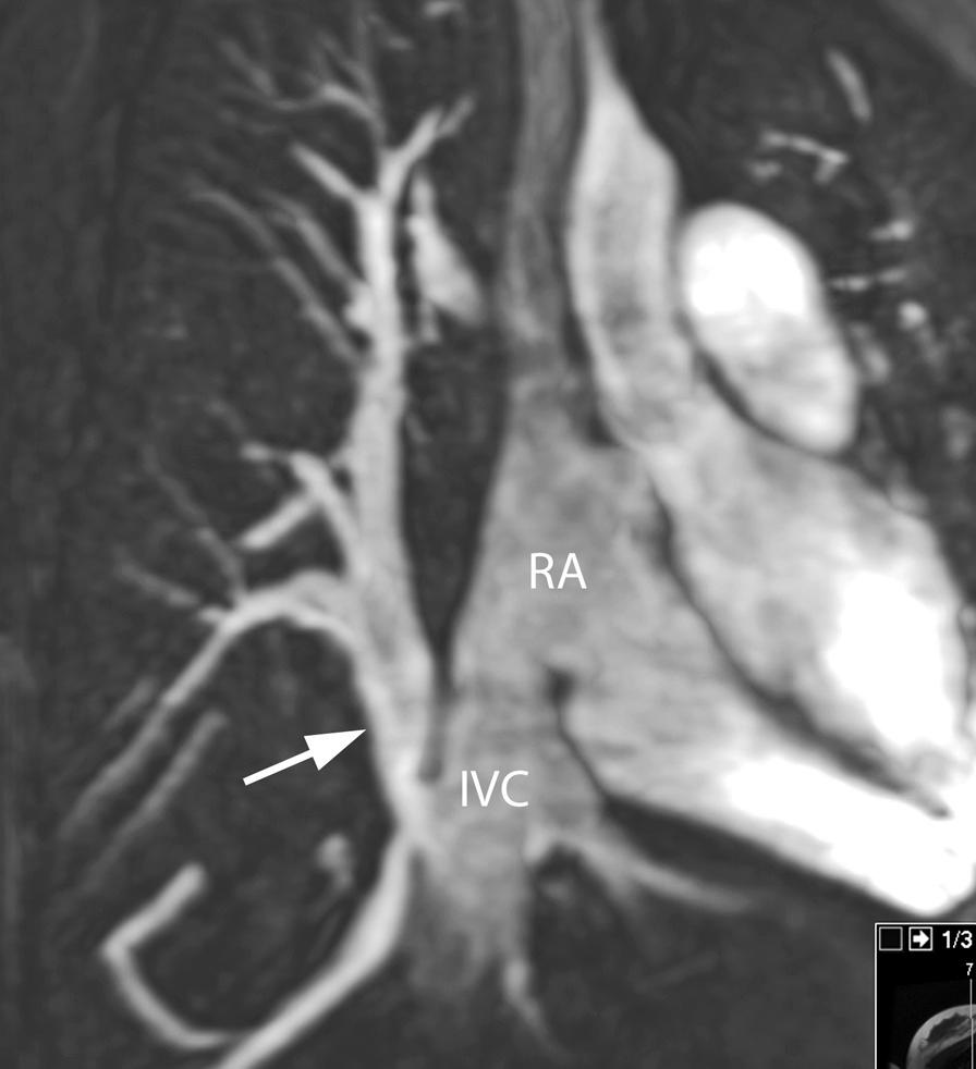
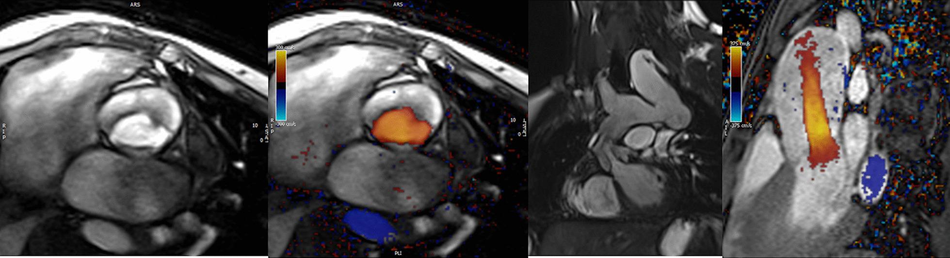
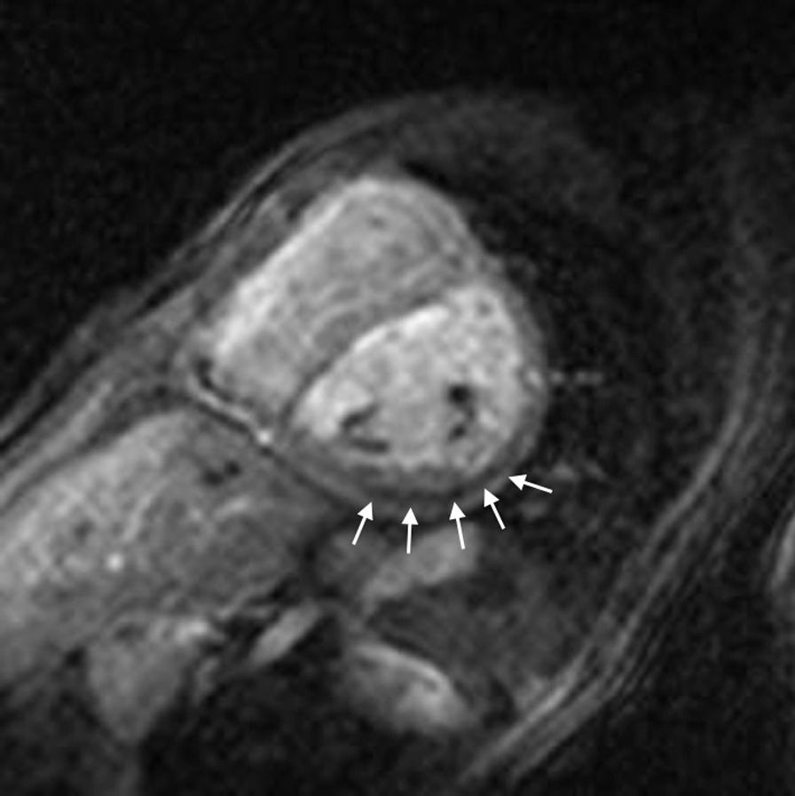
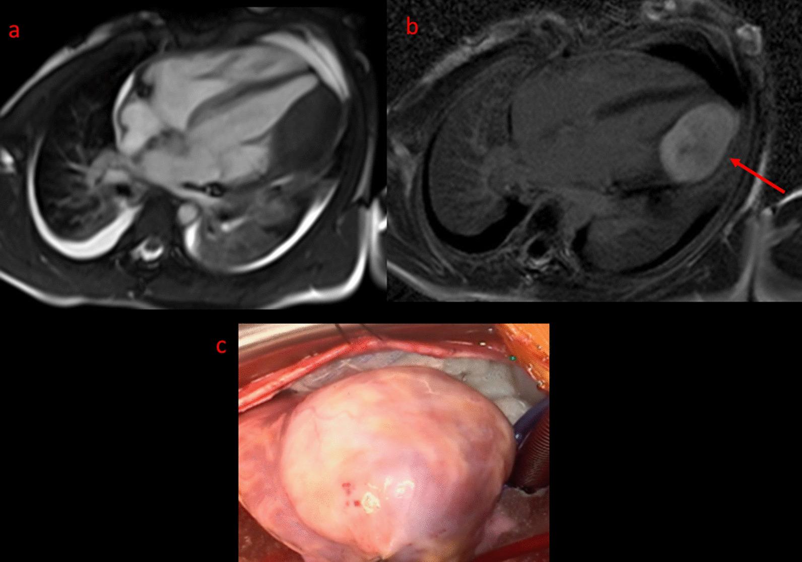
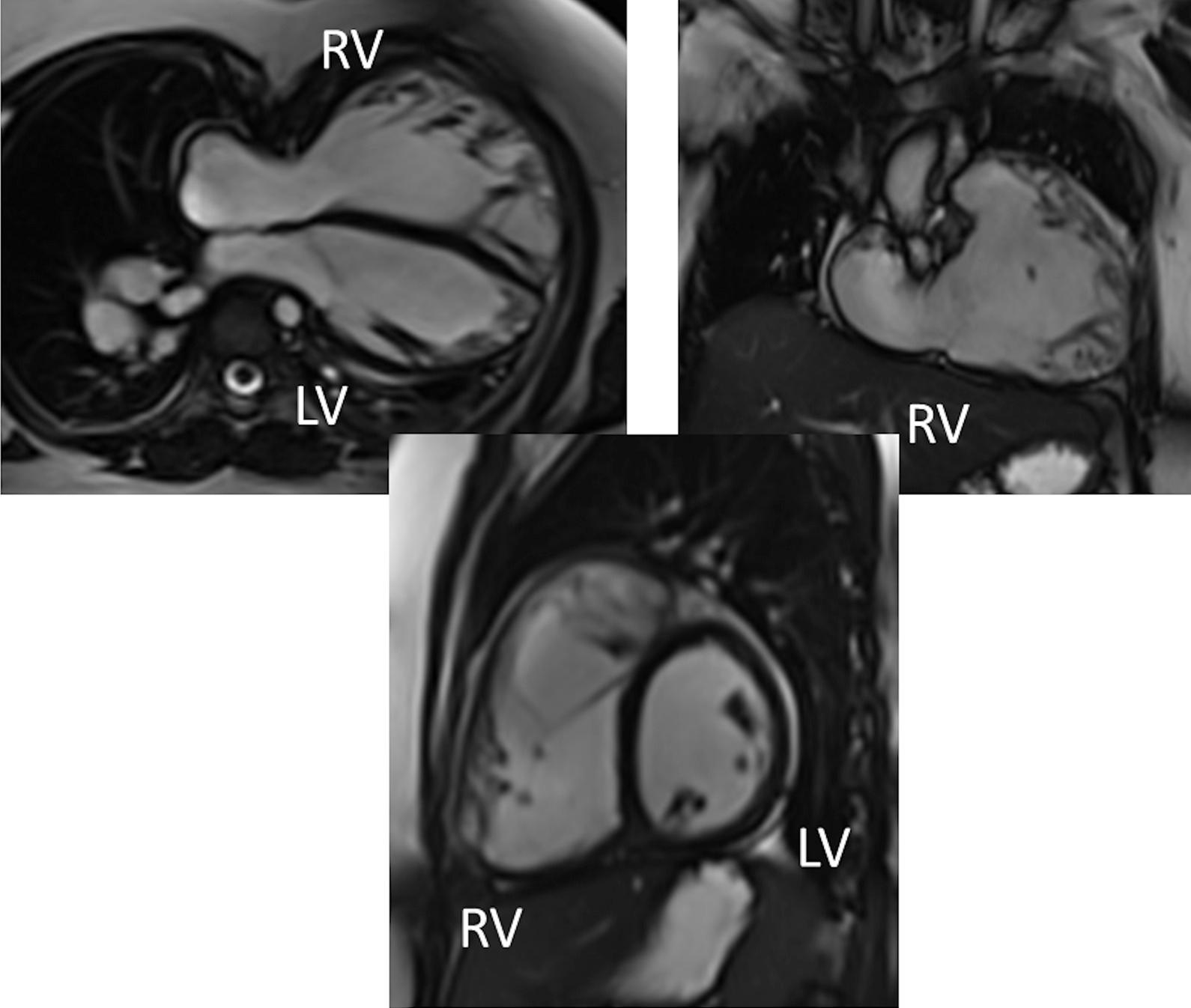
Cardiovascular magnetic resonance (CMR) has been utilized in the management and care of pediatric patients for nearly 40 years. It has evolved to become an invaluable tool in the assessment of the littlest of hearts for diagnosis, pre-interventional management and follow-up care. Although mentioned in a number of consensus and guidelines documents, an up-to-date, large, stand-alone guidance work for the use of CMR in pediatric congenital 36 and acquired 35 heart disease endorsed by numerous Societies involved in the care of these children is lacking. This guidelines document outlines the use of CMR in this patient population for a significant number of heart lesions in this age group and although admittedly, is not an exhaustive treatment, it does deal with an expansive list of many common clinical issues encountered in daily practice.

摘要

心血管磁共振(CMR)在儿科患者的管理和护理中已经应用了近 40 年。它已经发展成为评估最小的心脏的宝贵工具,用于诊断、介入前管理和随访。尽管在许多共识和指南文件中提到,但在儿科先天性心脏病和后天性心脏病领域,目前还缺乏一份由众多参与儿童护理的学会共同认可的、最新的、独立的、针对 CMR 使用的大型指南。本指南文件概述了 CMR 在该年龄段的许多心脏病变中的应用,尽管不能说是详尽的治疗方法,但它确实涉及了在日常实践中经常遇到的许多常见临床问题的广泛列表。

https://cdn.ncbi.nlm.nih.gov/pmc/blobs/793a/9210755/1180cede61f2/12968_2022_843_Fig1_HTML.jpg

文献AI研究员

20分钟写一篇综述,助力文献阅读效率提升50倍。

立即体验

用中文搜PubMed

大模型驱动的PubMed中文搜索引擎

马上搜索

文档翻译

学术文献翻译模型,支持多种主流文档格式。

立即体验