Suppr超能文献

镇痛药可诱导小鼠肺中严重急性呼吸综合征冠状病毒2(SARS-CoV-2)进入及花生四烯酸代谢相关基因表达的改变。

Analgesics Induce Alterations in the Expression of SARS-CoV-2 Entry and Arachidonic-Acid-Metabolizing Genes in the Mouse Lungs.

作者信息

Khirfan Fatima, Jarrar Yazun, Al-Qirim Tariq, Goh Khang Wen, Jarrar Qais, Ardianto Chrismawan, Awad Mohammad, Al-Ameer Hamzeh J, Al-Awaida Wajdy, Moshawih Said, Ming Long Chiau

机构信息

Department of Pharmacy, Al-Zaytoonah University of Jordan, Amman 11731, Jordan.

Faculty of Data Science and Information Technology, INTI International University, Nilai 71800, Malaysia.

出版信息

Pharmaceuticals (Basel). 2022 Jun 1;15(6):696. doi: 10.3390/ph15060696.

Abstract

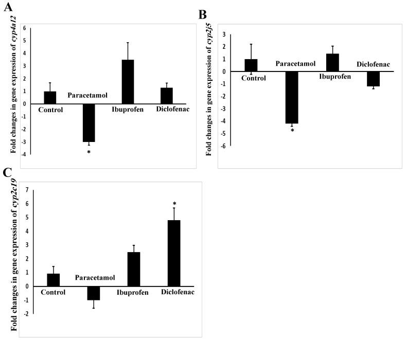
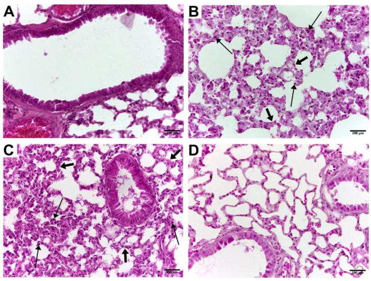
Paracetamol and nonsteroidal anti-inflammatory drugs are widely used in the management of respiratory viral infections. This study aimed to determine the effects of the most commonly used analgesics (paracetamol, ibuprofen, and diclofenac) on the mRNA expression of severe acute respiratory syndrome coronavirus 2 (SARS-CoV-2) entry and arachidonic-acid-metabolizing genes in mouse lungs. A total of twenty eight Balb/c mice were divided into four groups and treated separately with vehicle, paracetamol, ibuprofen, and diclofenac in clinically equivalent doses for 14 days. Then, the expressions of SARS-CoV-2 entry, ACE2, TMPRSS2, and Ctsl genes, in addition to the arachidonic-acid-metabolizing cyp450, cox, and alox genes, were analyzed using real-time PCR. Paracetamol increased the expressions of TMPRSS2 and Ctsl genes by 8.5 and 5.6 folds, respectively, while ibuprofen and diclofenac significantly decreased the expression of the ACE2 gene by more than 2.5 folds. In addition, all tested drugs downregulated (p < 0.05) cox2 gene expression, and paracetamol reduced the mRNA levels of cyp4a12 and 2j5. These molecular alterations in diclofenac and ibuprofen were associated with pathohistological alterations, where both analgesics induced the infiltration of inflammatory cells and airway wall thickening. It is concluded that analgesics such as paracetamol, ibuprofen, and diclofenac alter the expression of SARS-CoV-2 entry and arachidonic-acid-metabolizing genes in mouse lungs.

摘要

对乙酰氨基酚和非甾体抗炎药被广泛用于呼吸道病毒感染的治疗。本研究旨在确定最常用的镇痛药(对乙酰氨基酚、布洛芬和双氯芬酸)对严重急性呼吸综合征冠状病毒2(SARS-CoV-2)进入基因和花生四烯酸代谢基因在小鼠肺组织中mRNA表达的影响。总共28只Balb/c小鼠被分为四组,分别用赋形剂、对乙酰氨基酚、布洛芬和双氯芬酸以临床等效剂量治疗14天。然后,使用实时PCR分析SARS-CoV-2进入基因、ACE2、TMPRSS2和Ctsl基因的表达,以及花生四烯酸代谢的cyp450、cox和alox基因的表达。对乙酰氨基酚分别使TMPRSS2和Ctsl基因的表达增加了8.5倍和5.6倍,而布洛芬和双氯芬酸使ACE2基因的表达显著降低了超过2.5倍。此外,所有受试药物均下调(p<0.05)cox2基因表达,对乙酰氨基酚降低了cyp4a12和2j5的mRNA水平。双氯芬酸和布洛芬的这些分子改变与病理组织学改变相关,这两种镇痛药均诱导了炎症细胞浸润和气道壁增厚。研究得出结论,对乙酰氨基酚、布洛芬和双氯芬酸等镇痛药会改变SARS-CoV-2进入基因和花生四烯酸代谢基因在小鼠肺组织中的表达。

https://cdn.ncbi.nlm.nih.gov/pmc/blobs/7e4b/9227818/9cf83926ceb5/pharmaceuticals-15-00696-g001.jpg

文献AI研究员

20分钟写一篇综述,助力文献阅读效率提升50倍。

立即体验

用中文搜PubMed

大模型驱动的PubMed中文搜索引擎

马上搜索

文档翻译

学术文献翻译模型,支持多种主流文档格式。

立即体验