Suppr超能文献

结缔组织病相关肺部疾病的临床及影像学特征:图文综述

Clinical and radiological features of lung disorders related to connective-tissue diseases: a pictorial essay.

作者信息

Palmucci Stefano, Galioto Federica, Fazio Giulia, Ferlito Agata, Cancemi Giovanna, Di Mari Alessia, Sambataro Gianluca, Sambataro Domenico, Zanframundo Giovanni, Mauro Letizia Antonella, Foti Pietro Valerio, Vancheri Carlo, Basile Antonio

机构信息

Radiology Unit 1, Department of Medical Surgical Sciences and Advanced Technologies "GF Ingrassia", University Hospital Policlinico "G. Rodolico-San Marco", 95123, Catania, Italy.

Department of Clinical and Experimental Medicine, Regional Referral Centre for Rare Lung Diseases, A. O. U. Policlinico "G. Rodolico - San Marco", University of Catania, Catania, Italy.

出版信息

Insights Imaging. 2022 Jun 29;13(1):108. doi: 10.1186/s13244-022-01243-2.

Abstract

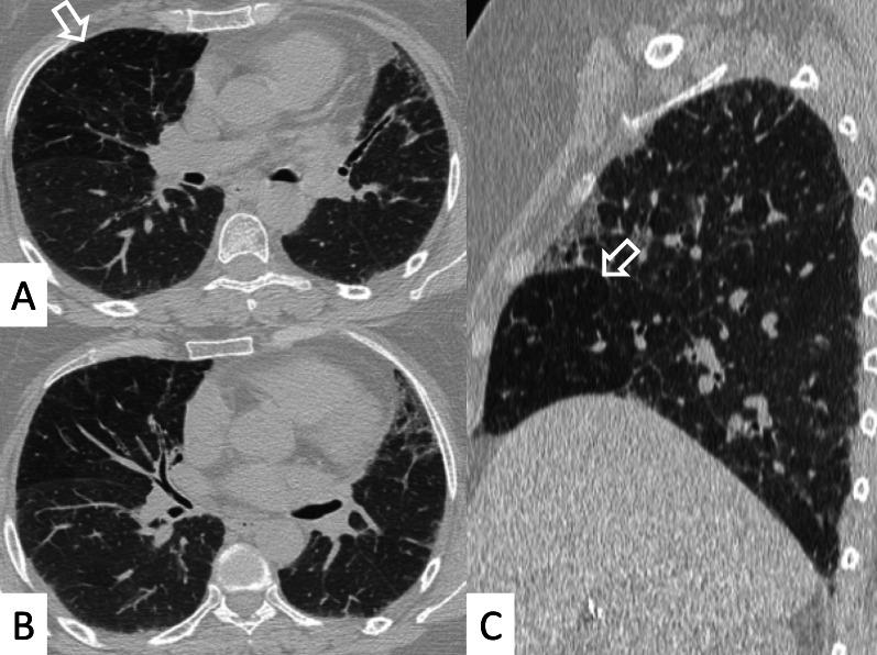
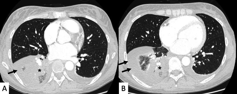
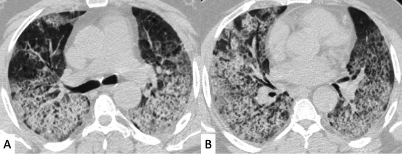
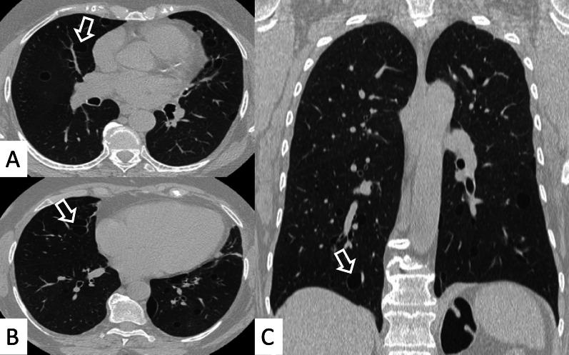
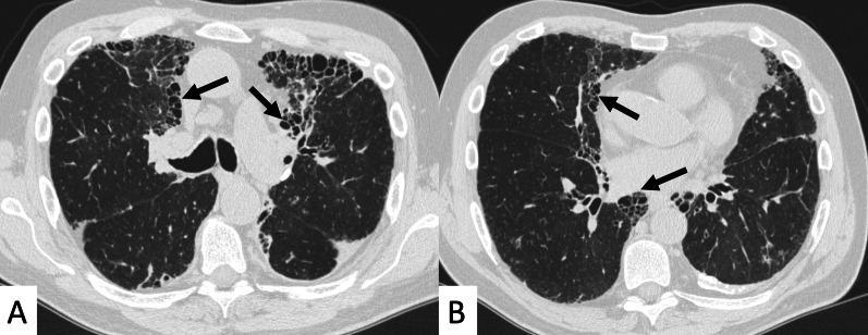
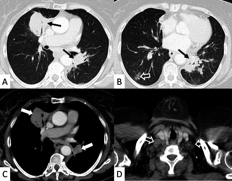
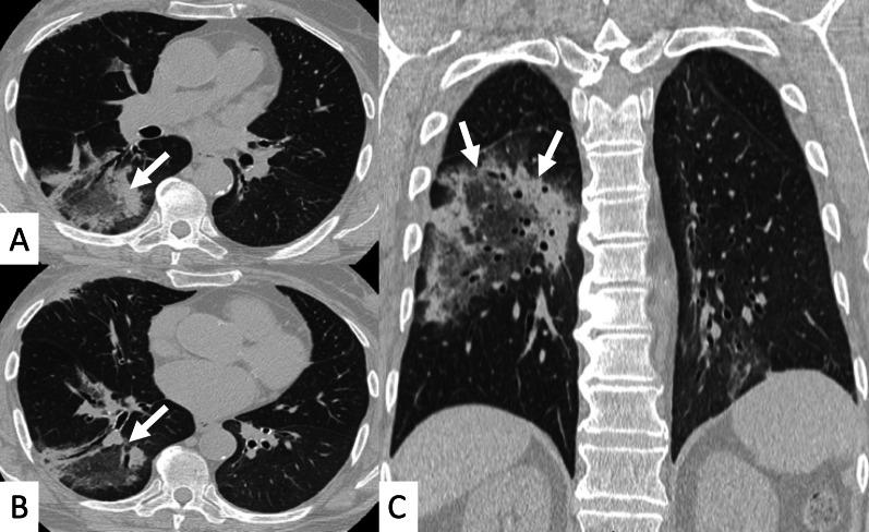
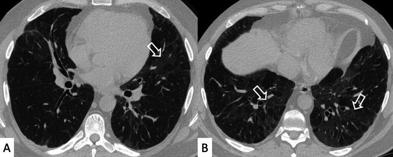
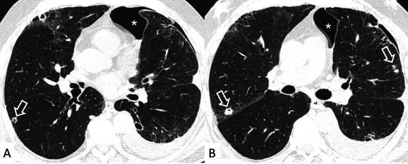
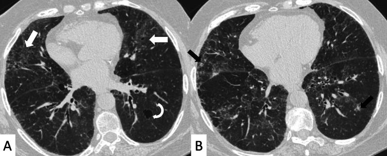
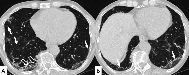
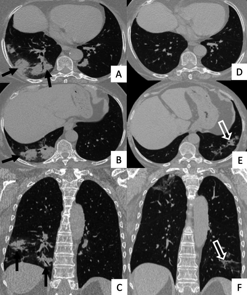
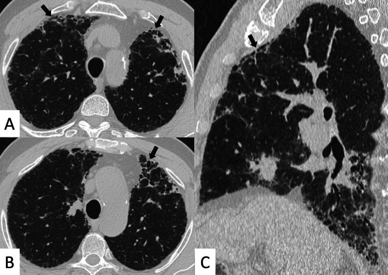
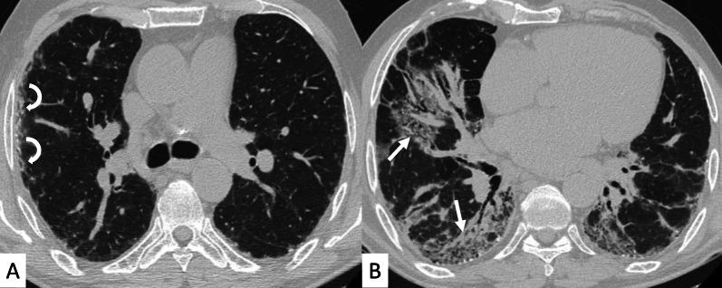
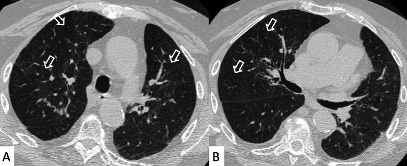
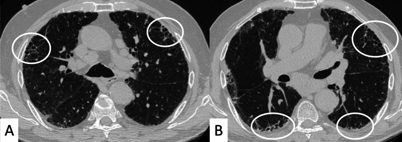
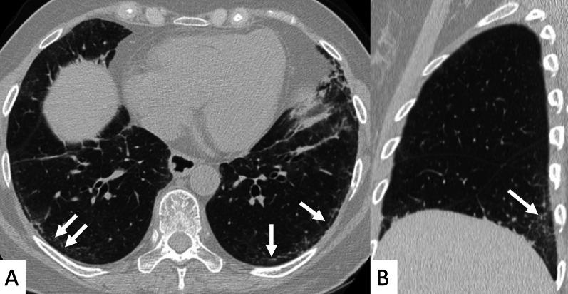
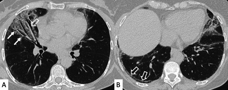
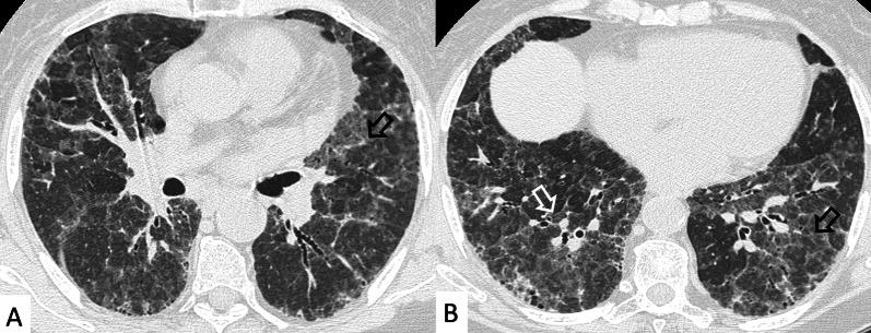
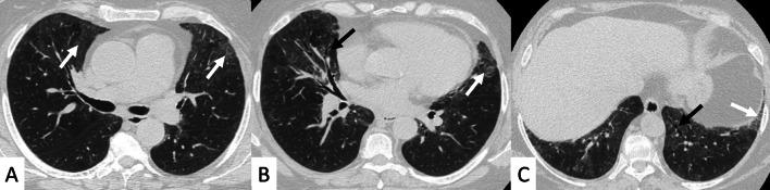
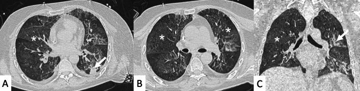
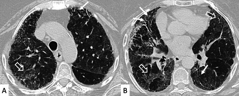
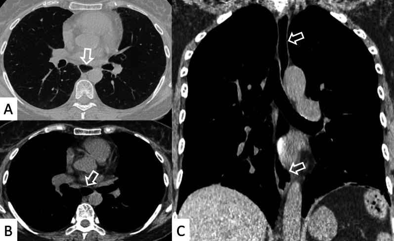
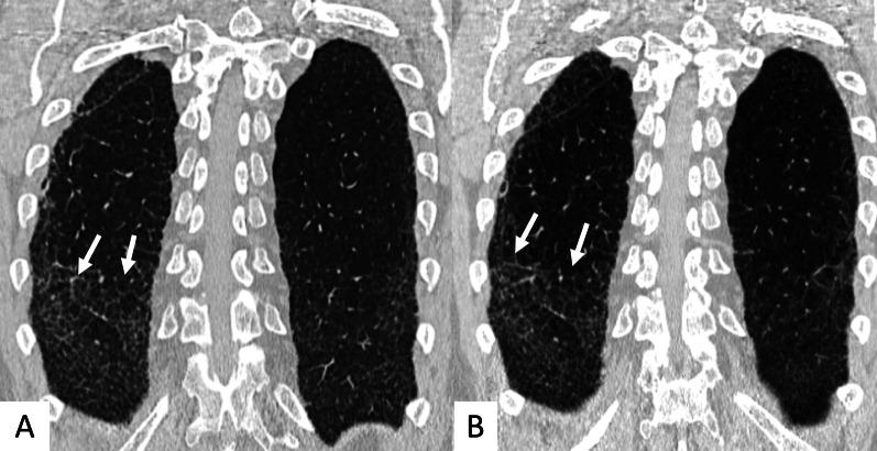
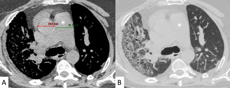
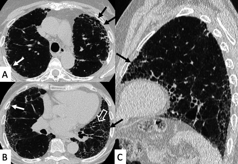
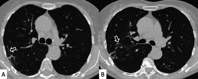
Connective tissue diseases (CTDs) include a spectrum of disorders that affect the connective tissue of the human body; they include autoimmune disorders characterized by immune-mediated chronic inflammation and the development of fibrosis. Lung involvement can be misdiagnosed, since pulmonary alterations preceded osteo-articular manifestations only in 20% of cases and they have no clear clinical findings in the early phases. All pulmonary structures may be interested: pulmonary interstitium, airways, pleura and respiratory muscles. Among these autoimmune disorders, rheumatoid arthritis (RA) is characterized by usual interstitial pneumonia (UIP), pulmonary nodules and airway disease with air-trapping, whereas non-specific interstitial pneumonia (NSIP), pulmonary hypertension and esophageal dilatation are frequently revealed in systemic sclerosis (SSc). NSIP and organizing pneumonia (OP) may be found in patients having polymyositis (PM) and dermatomyositis (DM); in some cases, perilobular consolidations and reverse halo-sign areas may be observed. Systemic lupus erythematosus (SLE) is characterized by serositis, acute lupus pneumonitis and alveolar hemorrhage. In the Sjögren syndrome (SS), the most frequent pattern encountered on HRCT images is represented by NSIP; UIP and lymphocytic interstitial pneumonia (LIP) are reported with a lower frequency. Finally, fibrotic NSIP may be the interstitial disease observed in patients having mixed connective tissue diseases (MCTD). This pictorial review therefore aims to provide clinical features and imaging findings associated with autoimmune CTDs, in order to help radiologists, pneumologists and rheumatologists in their diagnoses and management.

摘要

结缔组织病(CTDs)包括一系列影响人体结缔组织的疾病;它们包括以免疫介导的慢性炎症和纤维化发展为特征的自身免疫性疾病。肺部受累可能会被误诊,因为肺部改变仅在20%的病例中先于骨关节炎表现出现,且在早期阶段没有明确的临床发现。所有肺部结构都可能受累:肺间质、气道、胸膜和呼吸肌。在这些自身免疫性疾病中,类风湿关节炎(RA)的特征是普通型间质性肺炎(UIP)、肺结节和伴有空气潴留的气道疾病,而系统性硬化症(SSc)常表现为非特异性间质性肺炎(NSIP)、肺动脉高压和食管扩张。NSIP和机化性肺炎(OP)可见于多发性肌炎(PM)和皮肌炎(DM)患者;在某些情况下,可观察到小叶周围实变和反晕征区域。系统性红斑狼疮(SLE)的特征是浆膜炎、急性狼疮性肺炎和肺泡出血。在干燥综合征(SS)中,HRCT图像上最常见的表现是NSIP;UIP和淋巴细胞间质性肺炎(LIP)的报道频率较低。最后,纤维化NSIP可能是混合性结缔组织病(MCTD)患者中观察到的间质性疾病。因此,本图像综述旨在提供与自身免疫性CTDs相关的临床特征和影像学表现,以帮助放射科医生、呼吸科医生和风湿病科医生进行诊断和管理。

https://cdn.ncbi.nlm.nih.gov/pmc/blobs/fd74/9243214/c0f12d808936/13244_2022_1243_Fig1_HTML.jpg

文献AI研究员

20分钟写一篇综述,助力文献阅读效率提升50倍。

立即体验

用中文搜PubMed

大模型驱动的PubMed中文搜索引擎

马上搜索

文档翻译

学术文献翻译模型,支持多种主流文档格式。

立即体验