Suppr超能文献

IFN- 通过 p38/JNK/ERK 信号通路诱导 PD-L1 的表达,并拮抗 PD-L1 在胶质母细胞瘤中介导的肿瘤促进作用。

IFN- induces PD-L1 through p38/JNK/ERK signaling pathways and counteracts the tumor promoting effect mediated by PD-L1 in Glioblastoma.

机构信息

Department of Neurology, Linyi People's Hospital, Qingdao University, Qingdao 266071, Shandong, China.

Central Laboratory, Linyi People's Hospital, Linyi 276000, Shandong, China.

出版信息

Comput Intell Neurosci. 2022 Jun 29;2022:5492602. doi: 10.1155/2022/5492602. eCollection 2022.

Abstract

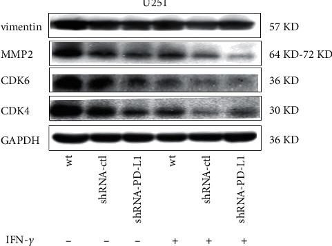
Glioblastoma is the most malignant primary glioma. Conventional treatment methods that include surgery, radiotherapy, and chemotherapy have a limited curative effect on the tumor. With the deepening of molecular biology research, molecular targeted therapy has opened a new era of tumor therapy. Programmed death ligand 1 (PD-L1) has been proved to play a pivotal role in the tumor immune evasion process. Previous studies have confirmed the specific expression of PD-L1 in glioblastoma tissues and cells, but there are few studies on inflammation regulating PD-L1 in glioblastoma. In this study, real-time PCR, flow cytometry, and western blot were applied to detect PD-L1 in glioblastoma cells. Short hairpin RNA was used to knock down PD-L1 in glioblastoma cells. Cell counting kit-8 experiment and wound-healing assay were used to detect the proliferation and migration of glioblastoma cells. Here we demonstrated that PD-L1 was overexpressed in glioblastoma cells, and interferon-gamma (IFN-) induces PD-L1 in glioblastoma cells via activating p38/JNK/ERK signaling pathways. To summarize, PD-L1 promotes the occurrence and development of glioblastoma. IFN- counteracts the tumor-promoting effects mediated by PD-L1 in glioblastoma. IFN- regulates PD-L1 through multiple signaling pathways, but the total effect of IFN-mediated inflammatory signals still need to be further explored in glioblastoma. PD-L1 enhances the proliferation and migration of glioblastoma cells by regulating CDK4, CDK6, MMP-2, and vimentin molecules. Most importantly, targeting PD-L1 can be applied in the treatment of glioblastoma. We speculate that IFN- may affect glioblastoma through other pathways, and we will continue to further explore the mechanisms in the future.

摘要

胶质母细胞瘤是最恶性的原发性神经胶质瘤。包括手术、放疗和化疗在内的传统治疗方法对肿瘤的疗效有限。随着分子生物学研究的深入,分子靶向治疗为肿瘤治疗开辟了一个新时代。程序性死亡配体 1(PD-L1)已被证明在肿瘤免疫逃逸过程中发挥关键作用。先前的研究已经证实 PD-L1 在胶质母细胞瘤组织和细胞中特异性表达,但关于胶质母细胞瘤中炎症调节 PD-L1 的研究较少。在这项研究中,应用实时 PCR、流式细胞术和 Western blot 检测胶质母细胞瘤细胞中的 PD-L1。短发夹 RNA 用于敲低胶质母细胞瘤细胞中的 PD-L1。细胞计数试剂盒-8 实验和划痕愈合实验用于检测胶质母细胞瘤细胞的增殖和迁移。在这里我们证明 PD-L1 在胶质母细胞瘤细胞中过度表达,干扰素-γ(IFN-)通过激活 p38/JNK/ERK 信号通路诱导胶质母细胞瘤细胞中的 PD-L1。总之,PD-L1 促进了胶质母细胞瘤的发生和发展。IFN- 通过 PD-L1 拮抗胶质母细胞瘤中促进肿瘤的作用。IFN- 通过多种信号通路调节 PD-L1,但 IFN 介导的炎症信号的总效应仍需在胶质母细胞瘤中进一步探索。PD-L1 通过调节 CDK4、CDK6、MMP-2 和波形蛋白分子促进胶质母细胞瘤细胞的增殖和迁移。最重要的是,靶向 PD-L1 可用于治疗胶质母细胞瘤。我们推测 IFN- 可能通过其他途径影响胶质母细胞瘤,我们将在未来继续进一步探索其机制。

https://cdn.ncbi.nlm.nih.gov/pmc/blobs/128f/9259257/9d54ebc3dea6/CIN2022-5492602.001.jpg

文献AI研究员

20分钟写一篇综述,助力文献阅读效率提升50倍。

立即体验

用中文搜PubMed

大模型驱动的PubMed中文搜索引擎

马上搜索

文档翻译

学术文献翻译模型,支持多种主流文档格式。

立即体验