Suppr超能文献

环状RNA circLDLR通过改变结直肠癌中的miR-30a-3p/SOAT1轴促进癌症进展。

Circular RNA circLDLR facilitates cancer progression by altering the miR-30a-3p/SOAT1 axis in colorectal cancer.

作者信息

Wang Ruoqin, Wang Jiayu, Chen Yanjun, Chen Yuqi, Xi Qinhua, Sun Linqing, Zhang Xueguang, Zhang Guangbo, Ding Xianglin, Shi Tongguo, Chen Weichang

机构信息

Jiangsu Institute of Clinical Immunology, The First Affiliated Hospital of Soochow University, 178 East Ganjiang Road, Suzhou, China.

Department of Gastroenterology, The First Affiliated Hospital of Soochow University, 188 Shizi Road, Suzhou, China.

出版信息

Cell Death Discov. 2022 Jul 11;8(1):314. doi: 10.1038/s41420-022-01110-5.

Abstract

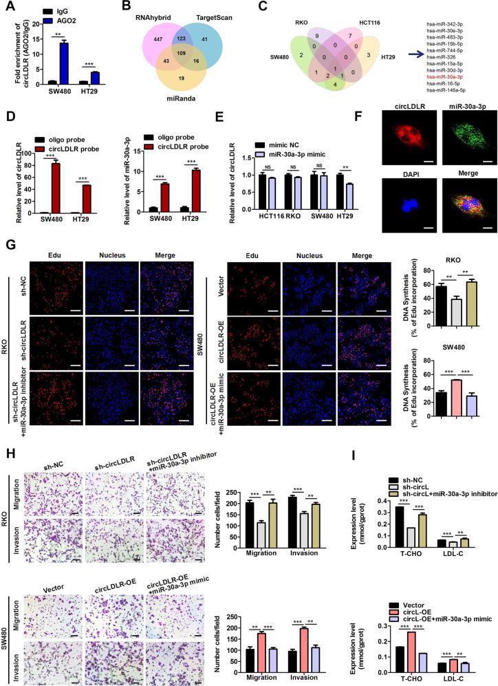
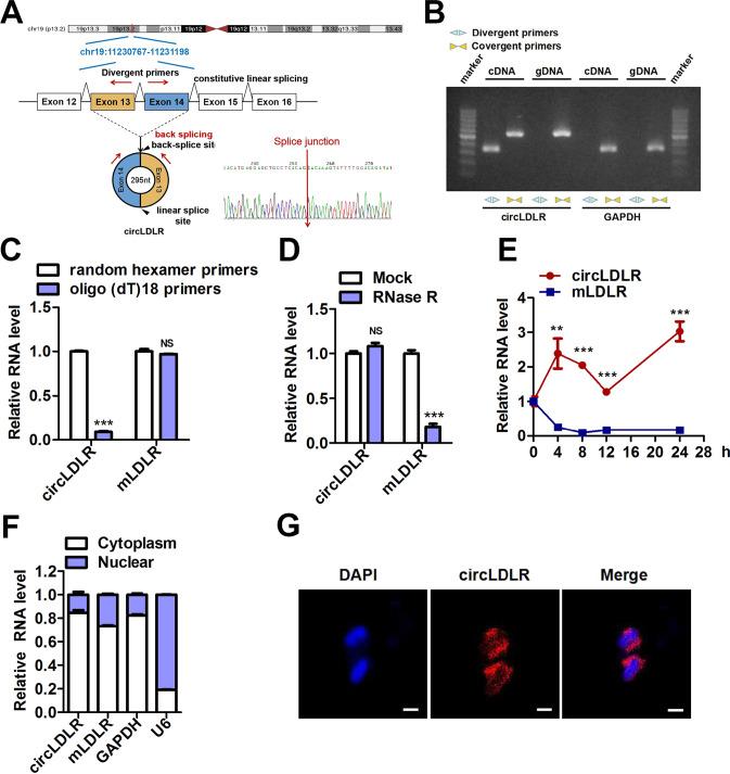
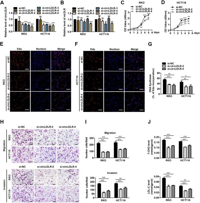
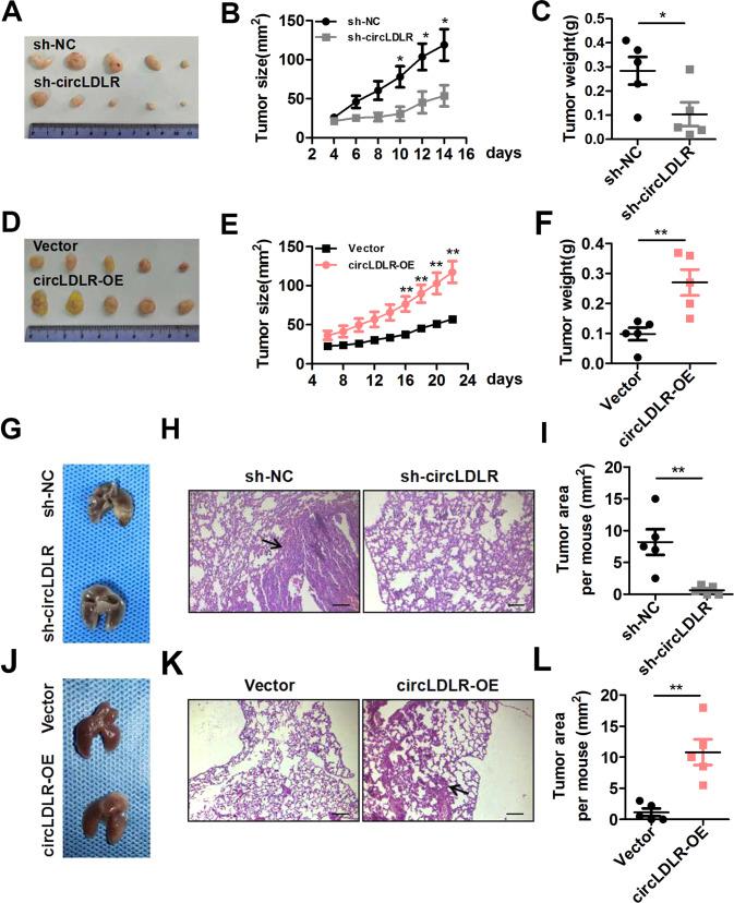
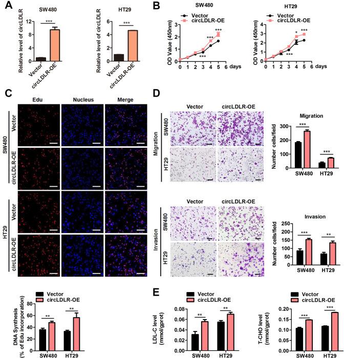
Colorectal cancer (CRC) is the third most common malignancy worldwide. Circular RNAs (circRNAs) have been reported to play critical regulatory roles in tumorigenesis, serving as tumor biomarkers and therapeutic targets. However, the contributions of circRNAs to CRC tumorigenesis are unclear. In our study, high expression of circLDLR was found in CRC tissues and cells and was closely associated with the malignant progression and poor prognosis of CRC patients. We demonstrated that circLDLR boosts growth and metastasis of CRC cells in vitro and in vivo, and modulates cholesterol levels in vitro. Mechanistically, we showed that circLDLR competitively binds to miR-30a-3p and prevents it from reducing the SOAT1 level, facilitating the malignant progression of CRC. In sum, our findings illustrate that circLDLR participates in CRC tumorigenesis and metastasis via the miR-30a-3p/SOAT1 axis, serving as a potential biomarker and therapeutic target in CRC.

摘要

结直肠癌(CRC)是全球第三大常见恶性肿瘤。据报道,环状RNA(circRNAs)在肿瘤发生中起关键调节作用,可作为肿瘤生物标志物和治疗靶点。然而,circRNAs对CRC肿瘤发生的作用尚不清楚。在我们的研究中,发现circLDLR在CRC组织和细胞中高表达,且与CRC患者的恶性进展和不良预后密切相关。我们证明,circLDLR在体外和体内均可促进CRC细胞的生长和转移,并在体外调节胆固醇水平。机制上,我们发现circLDLR与miR-30a-3p竞争性结合,阻止其降低SOAT1水平,从而促进CRC的恶性进展。总之,我们的研究结果表明,circLDLR通过miR-30a-3p/SOAT1轴参与CRC的肿瘤发生和转移,可作为CRC的潜在生物标志物和治疗靶点。

https://cdn.ncbi.nlm.nih.gov/pmc/blobs/c47a/9276972/5098f9a04a0c/41420_2022_1110_Fig1_HTML.jpg

文献AI研究员

20分钟写一篇综述,助力文献阅读效率提升50倍。

立即体验

用中文搜PubMed

大模型驱动的PubMed中文搜索引擎

马上搜索

文档翻译

学术文献翻译模型,支持多种主流文档格式。

立即体验