Suppr超能文献

TrmB 家族转录因子作为一种基于巯基的氧化应激反应调节剂。

TrmB Family Transcription Factor as a Thiol-Based Regulator of Oxidative Stress Response.

机构信息

Department of Microbiology and Cell Science, Institute of Food and Agricultural Sciences, University of Floridagrid.15276.37, Gainesville, Florida, USA.

Department of Biology, Duke Universitygrid.26009.3d, Durham, North Carolina, USA.

出版信息

mBio. 2022 Aug 30;13(4):e0063322. doi: 10.1128/mbio.00633-22. Epub 2022 Jul 20.

Abstract

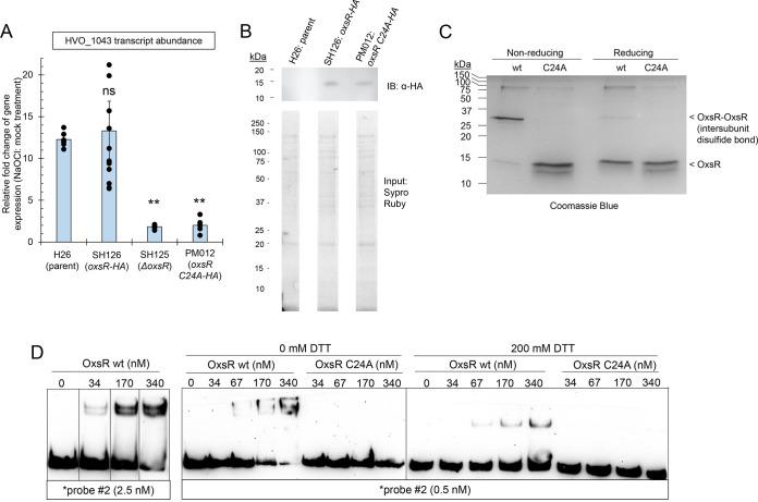
Oxidative stress causes cellular damage, including DNA mutations, protein dysfunction, and loss of membrane integrity. Here, we discovered that a TrmB (transcription regulator of operon) family protein (Pfam PF01978) composed of a single winged-helix DNA binding domain (InterPro IPR002831) can function as thiol-based transcriptional regulator of oxidative stress response. Using the archaeon Haloferax volcanii as a model system, we demonstrate that the TrmB-like OxsR is important for recovery of cells from hypochlorite stress. OxsR is shown to bind specific regions of genomic DNA, particularly during hypochlorite stress. OxsR-bound intergenic regions were found proximal to oxidative stress operons, including genes associated with thiol relay and low molecular weight thiol biosynthesis. Further analysis of a subset of these sites revealed OxsR to function during hypochlorite stress as a transcriptional activator and repressor. OxsR was shown to require a conserved cysteine (C24) for function and to use a CG-rich motif upstream of conserved BRE/TATA box promoter elements for transcriptional activation. Protein modeling suggested the C24 is located at a homodimer interface formed by antiparallel α helices, and that oxidation of this cysteine would result in the formation of an intersubunit disulfide bond. This covalent linkage may promote stabilization of an OxsR homodimer with the enhanced DNA binding properties observed in the presence of hypochlorite stress. The phylogenetic distribution TrmB family proteins, like OxsR, that have a single winged-helix DNA binding domain and conserved cysteine residue suggests this type of redox signaling mechanism is widespread in Archaea. TrmB-like proteins, while not yet associated with redox stress, are found in bacteria and widespread in archaea. Here, we expand annotation of a large group of TrmB-like single winged-helix DNA binding domain proteins from diverse archaea to function as thiol-based transcriptional regulators of oxidative stress response. Using Haloferax volcanii as a model, we reveal that the TrmB-like OxsR functions during hypochlorite stress as a transcriptional activator and repressor of an extensive gene coexpression network associated with thiol relay and other related activities. A conserved cysteine residue of OxsR serves as the thiol-based sensor for this function and likely forms an intersubunit disulfide bond during hypochlorite stress that stabilizes a homodimeric configuration with enhanced DNA binding properties. A CG-rich DNA motif in the promoter region of a subset of sites identified to be OxsR-bound is required for regulation; however, not all sites have this motif, suggesting added complexity to the regulatory network.

摘要

氧化应激会导致细胞损伤,包括 DNA 突变、蛋白质功能障碍和膜完整性丧失。在这里,我们发现一种由单个翼螺旋 DNA 结合结构域(InterPro IPR002831)组成的 TrmB(操纵子转录调控因子)家族蛋白(Pfam PF01978)可以作为基于硫醇的氧化应激反应的转录调控因子。我们使用产甲烷古菌 Haloferax volcanii 作为模型系统,证明了 TrmB 样 OxsR 对于细胞从次氯酸盐应激中恢复是重要的。结果表明,OxsR 在次氯酸盐应激期间结合基因组 DNA 的特定区域,特别是在次氯酸盐应激期间。发现 OxsR 结合的基因间区靠近氧化应激操纵子,包括与硫醇中继和低分子量硫醇生物合成相关的基因。对这些位点的一部分进行进一步分析表明,OxsR 在次氯酸盐应激下作为转录激活剂和抑制剂发挥作用。结果表明,OxsR 依赖于保守半胱氨酸(C24)发挥功能,并使用保守 BRE/TATA 盒启动子元件上游的 CG 丰富基序进行转录激活。蛋白建模表明,C24 位于由反平行α螺旋形成的同源二聚体界面上,该半胱氨酸的氧化会导致形成亚基间二硫键。这种共价键合可能会促进 OxsR 同源二聚体的稳定,从而增强在次氯酸盐应激存在下观察到的 DNA 结合特性。TrmB 家族蛋白的系统发育分布,如 OxsR,具有单个翼状螺旋 DNA 结合域和保守半胱氨酸残基,表明这种类型的氧化还原信号机制在古菌中广泛存在。TrmB 样蛋白虽然尚未与氧化还原应激相关联,但在细菌中广泛存在,并在古菌中广泛存在。在这里,我们扩展了来自不同古菌的大量 TrmB 样单翼螺旋 DNA 结合域蛋白的注释,以作为氧化应激反应的基于硫醇的转录调节剂。我们使用产甲烷古菌 Haloferax volcanii 作为模型,揭示了 TrmB 样 OxsR 在次氯酸盐应激期间作为与硫醇中继和其他相关活性相关的广泛基因共表达网络的转录激活剂和抑制剂发挥作用。OxsR 的保守半胱氨酸残基作为该功能的基于硫醇的传感器,并且可能在次氯酸盐应激下形成亚基间二硫键,从而稳定具有增强 DNA 结合特性的同源二聚体构象。在鉴定为 OxsR 结合的亚组的一些位点的启动子区域中存在 CG 丰富的 DNA 基序是调节所必需的;然而,并非所有位点都具有此基序,这表明调控网络更加复杂。

https://cdn.ncbi.nlm.nih.gov/pmc/blobs/80aa/9426492/0f28cc132241/mbio.00633-22-f001.jpg

文献AI研究员

20分钟写一篇综述,助力文献阅读效率提升50倍。

立即体验

用中文搜PubMed

大模型驱动的PubMed中文搜索引擎

马上搜索

文档翻译

学术文献翻译模型,支持多种主流文档格式。

立即体验