Suppr超能文献

抗菌肽 NP-6 通过多种作用方式影响 。

Antibacterial Peptide NP-6 Affects by Multiple Modes of Action.

机构信息

College of Food Science, Sichuan Agricultural University, Ya'an 625014, China.

College of Veterinary Medicine, Sichuan Agricultural University, Chengdu 611137, China.

出版信息

Int J Mol Sci. 2022 Jul 15;23(14):7812. doi: 10.3390/ijms23147812.

Abstract

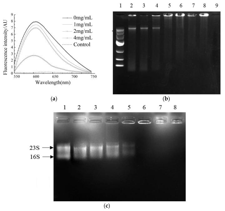
Our previous study extracted and identified an antibacterial peptide that was named NP-6. Herein, we investigated the physicochemical properties of NP-6, and elucidated the mechanisms underlying its antimicrobial activity against . The results showed that the hemolysis activity of NP-6 was 2.39 ± 0.13%, lower than Nisin A (3.91 ± 0.43%) at the same concentration (512 µg/mL). Negligible cytotoxicity towards RAW264.7 cells was found when the concentration of NP-6 was lower than 512 µg/mL. In addition, it could keep most of its activity in fetal bovine serum. Moreover, transmission electron microscopy, confocal laser scanning microscopy, and flow cytometry results showed that NP-6 can destroy the integrity of the bacterial cell membrane and increase the membrane permeability. Meanwhile, NP-6 had binding activity with bacterial DNA and RNA in vitro and strongly inhibited the intracellular β-galactosidase activity of . Our findings suggest that NP-6 could be a promising candidate against .

摘要

我们之前的研究提取并鉴定了一种抗菌肽,命名为 NP-6。在此,我们研究了 NP-6 的理化性质,并阐明了其对 的抗菌活性的机制。结果表明,在相同浓度(512 µg/mL)下,NP-6 的溶血活性为 2.39 ± 0.13%,低于乳链菌肽 A(3.91 ± 0.43%)。当 NP-6 的浓度低于 512 µg/mL 时,对 RAW264.7 细胞几乎没有细胞毒性。此外,它在胎牛血清中仍能保持大部分活性。此外,透射电子显微镜、共聚焦激光扫描显微镜和流式细胞术结果表明,NP-6 可以破坏细菌细胞膜的完整性并增加膜通透性。同时,NP-6 在体外与细菌 DNA 和 RNA 具有结合活性,并强烈抑制 的细胞内β-半乳糖苷酶活性。我们的研究结果表明,NP-6 可能是一种有前途的抗 候选物。

https://cdn.ncbi.nlm.nih.gov/pmc/blobs/e704/9319634/9a1357b4e5a1/ijms-23-07812-g001.jpg

文献AI研究员

20分钟写一篇综述,助力文献阅读效率提升50倍。

立即体验

用中文搜PubMed

大模型驱动的PubMed中文搜索引擎

马上搜索

文档翻译

学术文献翻译模型,支持多种主流文档格式。

立即体验