Suppr超能文献

多模态自适应光学成像揭示了类维生素 A 黄斑营养不良眼中的光感受器和视网膜色素上皮的关系。

Photoreceptor and Retinal Pigment Epithelium Relationships in Eyes With Vitelliform Macular Dystrophy Revealed by Multimodal Adaptive Optics Imaging.

机构信息

National Eye Institute, National Institutes of Health, Bethesda, Maryland, United States.

https://orcid.org/0000-0001-9864-3896.

出版信息

Invest Ophthalmol Vis Sci. 2022 Jul 8;63(8):27. doi: 10.1167/iovs.63.8.27.

Abstract

PURPOSE

To assess the structure of cone photoreceptors and retinal pigment epithelial (RPE) cells in vitelliform macular dystrophy (VMD) arising from various genetic etiologies.

METHODS

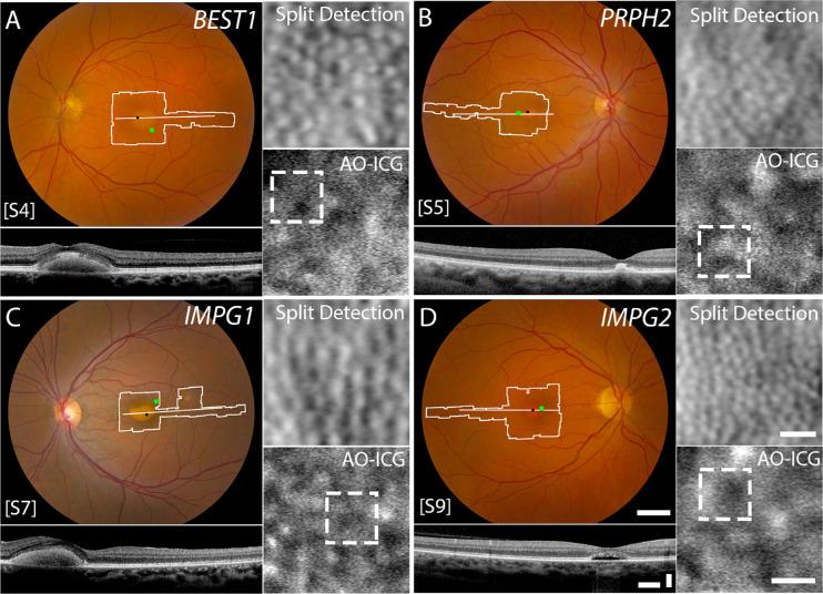
Multimodal adaptive optics (AO) imaging was performed in 11 patients with VMD using a custom-assembled instrument. Non-confocal split detection and AO-enhanced indocyanine green were used to visualize the cone photoreceptor and RPE mosaics, respectively. Cone and RPE densities were measured and compared across BEST1-, PRPH2-, IMPG1-, and IMPG2-related VMD.

RESULTS

Within macular lesions associated with VMD, both cone and RPE densities were reduced below normal, to 37% of normal cone density (eccentricity 0.2 mm) and to 8.4% of normal RPE density (eccentricity 0.5 mm). Outside of lesions, cone and RPE densities were slightly reduced (both to 92% of normal values), but with high degree of variability in the individual measurements. Comparison of juxtalesional cone and RPE measurements (<1 mm from the lesion edge) revealed significant differences in RPE density across the four genes (P < 0.05). Overall, cones were affected to a greater extent than RPE in patients with IMPG1 and IMPG2 pathogenic variants, but RPE was affected more than cones in BEST1 and PRPH2 VMD. This trend was observed even in contralateral eyes from a subset of five patients who presented with macular lesions in only one eye.

CONCLUSIONS

Assessment of cones and RPE in retinal locations outside of the macular lesions reveals a pattern of cone and RPE disruption that appears to be gene dependent in VMD. These findings provide insight into the cellular pathogenesis of disease in VMD.

摘要

目的

评估不同遗传病因引起的玻璃膜疣性黄斑营养不良(VMD)中视锥光感受器和视网膜色素上皮(RPE)细胞的结构。

方法

使用定制的仪器对 11 名 VMD 患者进行多模态自适应光学(AO)成像。非共焦分裂检测和 AO 增强吲哚菁绿分别用于分别可视化视锥光感受器和 RPE 镶嵌图。测量并比较 BEST1、PRPH2、IMPG1 和 IMPG2 相关 VMD 中的视锥和 RPE 密度。

结果

在与 VMD 相关的黄斑病变中,视锥和 RPE 密度均低于正常水平,分别为正常视锥密度的 37%(偏心度 0.2mm)和正常 RPE 密度的 8.4%(偏心度 0.5mm)。在病变之外,视锥和 RPE 密度略有降低(均为正常值的 92%),但个体测量的变异性很大。对病变旁视锥和 RPE 测量值(病变边缘<1mm)进行比较,发现四个基因的 RPE 密度存在显著差异(P<0.05)。总体而言,在携带 IMPG1 和 IMPG2 致病变异的患者中,视锥受到的影响大于 RPE,但在 BEST1 和 PRPH2 VMD 中,RPE 受到的影响大于视锥。即使在仅一只眼出现黄斑病变的五名患者的一部分对侧眼中,也观察到这种趋势。

结论

评估黄斑病变外视网膜的视锥和 RPE 显示出一种视锥和 RPE 破坏模式,在 VMD 中似乎与基因有关。这些发现为 VMD 疾病的细胞发病机制提供了深入的了解。

https://cdn.ncbi.nlm.nih.gov/pmc/blobs/cfcc/9344216/39f52d5d124e/iovs-63-8-27-f001.jpg

文献AI研究员

20分钟写一篇综述,助力文献阅读效率提升50倍。

立即体验

用中文搜PubMed

大模型驱动的PubMed中文搜索引擎

马上搜索

文档翻译

学术文献翻译模型,支持多种主流文档格式。

立即体验