Suppr超能文献

SARS-CoV-2 感染与妊娠:胎盘组织形态学特征、疾病严重程度和围产结局。

SARS-CoV-2 Infection in Pregnancy: Placental Histomorphological Patterns, Disease Severity and Perinatal Outcomes.

机构信息

Department of Pathology, Faculty of Medicine, Universiti Kebangsaan Malaysia, Jalan Yaacob Latif, Bandar Tun Razak, Kuala Lumpur 56000, Malaysia.

Department of Pathology, Hospital Sultanah Nur Zahirah, Kuala Terengganu 20400, Terengganu, Malaysia.

出版信息

Int J Environ Res Public Health. 2022 Aug 3;19(15):9517. doi: 10.3390/ijerph19159517.

Abstract

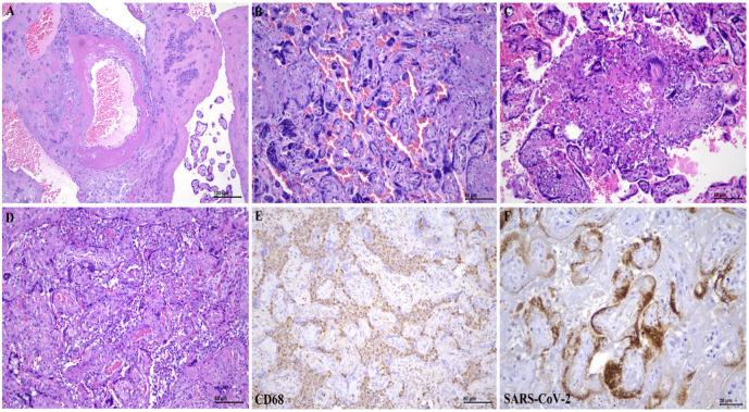
The association between maternal COVID-19 infection, placental histomorphology and perinatal outcomes is uncertain. The published studies on how placental structure is affected after SARS-CoV-2 virus in COVID-19-infected pregnant women are lacking. We investigated the effects of maternal SARS-CoV-2 infection on placental histomorphology and pregnancy outcomes. A retrospective cohort study on 47 pregnant women with confirmed SARS-CoV-2 infection, matched with non-infected controls, was conducted. Relevant clinicopathological data and primary birth outcomes were recorded. Histomorphology and SARS-CoV-2 immunohistochemistry analyses of placental tissues were performed. Only 1 of 47 cases showed SARS-CoV-2 immunoreactivity in the syncytiotrophoblasts. Histologically, decidual vasculopathy (n = 22/47, p = 0.004), maternal vascular thrombosis (n = 9/47, p = 0.015) and chronic histiocytic intervillositis (n = 10/47, p = 0.027) were significantly higher in the COVID-19-infected placentas when compared to the control group. Maternal vascular thrombosis was a significant feature in the active COVID-19 group. A significant lower gestational age (p < 0.001)) at delivery and a higher caesarean section rate (p = 0.007) were observed in the active SARS-CoV-2-infected cases, resulting in a significant lower fetal-placental weight ratio (p = 0.022) and poorer Apgar score (p < 0.001). Notably, active (p = 0.027), symptomatic (p = 0.039), severe-critical (p = 0.002) maternal COVID-19 infection and placental inflammation (p = 0.011) were associated with an increased risk of preterm delivery. Altered placental villous maturation and severe-critical maternal COVID-19 infection were associated with an elevated risk of poor Apgar scores at birth (p = 0.018) and maternal mortality (p = 0.023), respectively.

摘要

母体 COVID-19 感染、胎盘组织形态学和围产儿结局之间的关系尚不确定。关于 SARS-CoV-2 病毒感染的 COVID-19 孕妇的胎盘结构如何受到影响的已发表研究还很缺乏。我们调查了母体 SARS-CoV-2 感染对胎盘组织形态学和妊娠结局的影响。对 47 例确诊 SARS-CoV-2 感染的孕妇进行了回顾性队列研究,并与未感染对照组进行了匹配。记录了相关的临床病理数据和主要出生结局。对胎盘组织进行了组织形态学和 SARS-CoV-2 免疫组化分析。仅 1 例 47 例病例的合体滋养层细胞中显示 SARS-CoV-2 免疫反应性。组织学上,COVID-19 感染胎盘的蜕膜血管病变(n = 22/47,p = 0.004)、母体血管血栓形成(n = 9/47,p = 0.015)和慢性组织细胞性绒毛膜炎(n = 10/47,p = 0.027)明显高于对照组。在活跃的 COVID-19 组中,母体血管血栓形成是一个显著特征。在活跃的 SARS-CoV-2 感染病例中,分娩时的胎龄显著较低(p < 0.001),剖宫产率较高(p = 0.007),导致胎儿-胎盘重量比显著降低(p = 0.022),Apgar 评分较差(p < 0.001)。值得注意的是,活跃(p = 0.027)、有症状(p = 0.039)、严重-危重症(p = 0.002)的母体 COVID-19 感染和胎盘炎症(p = 0.011)与早产风险增加相关。胎盘绒毛成熟度改变和严重-危重症母体 COVID-19 感染分别与出生时 Apgar 评分较低(p = 0.018)和母体死亡率较高(p = 0.023)相关。

https://cdn.ncbi.nlm.nih.gov/pmc/blobs/876c/9368100/31f84330e7cc/ijerph-19-09517-g001.jpg

文献AI研究员

20分钟写一篇综述,助力文献阅读效率提升50倍。

立即体验

用中文搜PubMed

大模型驱动的PubMed中文搜索引擎

马上搜索

文档翻译

学术文献翻译模型,支持多种主流文档格式。

立即体验