Suppr超能文献

脂肪细胞衍生的外泌体 MTTP 抑制结直肠癌细胞铁死亡并促进化疗耐药性

Adipocyte-Derived Exosomal MTTP Suppresses Ferroptosis and Promotes Chemoresistance in Colorectal Cancer.

机构信息

Tianjin Medical University Cancer Institute and Hospital, National Clinical Research Center for Cancer, Key Laboratory of Cancer Prevention and Therapy, Tianjin's Clinical Research Center for Cancer, Tianjin, 300060, China.

Department of Thoracic Surgery, National Cancer Center, National Clinical Research Center for Cancer, Cancer Hospital & Shenzhen Hospital, Chinese Academy of Medical Sciences and Peking Union Medical College, Shenzhen, 518172, China.

出版信息

Adv Sci (Weinh). 2022 Oct;9(28):e2203357. doi: 10.1002/advs.202203357. Epub 2022 Aug 17.

Abstract

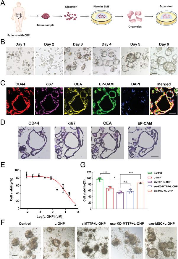
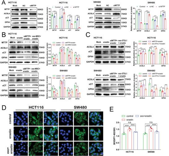
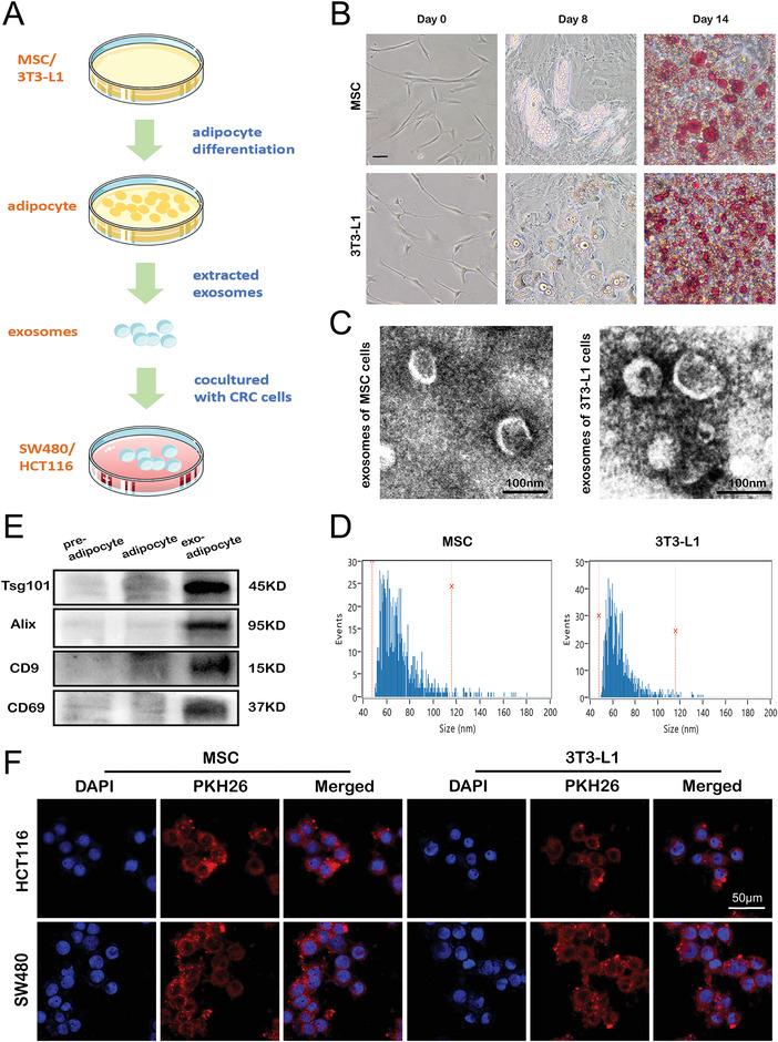
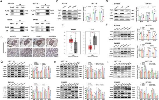
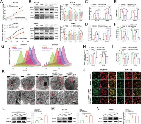
Obesity is closely related to a poor prognosis in patients with advanced colorectal cancer (CRC), but the mechanisms remain unclear. Ferroptosis is a form of nonapoptotic cell death characterized by lipid reactive oxygen species (ROS) accumulation and iron dependency and is associated with the chemoresistance of tumors. Here, it is shown that adipose-derived exosomes reduce ferroptosis susceptibility in CRC, thus promoting chemoresistance to oxaliplatin. It is found that microsomal triglyceride transfer protein (MTTP) expression is increased in the plasma exosomes of CRC patients with a high body fat ratio, serving as an inhibitor of ferroptosis and reducing sensitivity to chemotherapy. Mechanistically, the MTTP/proline-rich acidic protein 1 (PRAP1) complex inhibited zinc finger E-box binding homeobox 1 expression and upregulated glutathione peroxidase 4 and xCT, leading to a decreased polyunsaturated fatty acids ratio and lipid ROS levels. Moreover, experiments are carried out in organoids, and a tumor implantation model is established in obese mice, demonstrating that the inhibition of MTTP increases the sensitivity to chemotherapy. The results reveal a novel intracellular signaling pathway mediated by adipose-derived exosomes and suggest that treatments targeting secreted MTTP might reverse oxaliplatin resistance in CRC.

摘要

肥胖与晚期结直肠癌(CRC)患者的预后不良密切相关,但机制尚不清楚。铁死亡是一种非凋亡细胞死亡形式,其特征是脂质活性氧(ROS)积累和铁依赖性,并与肿瘤的化疗耐药性有关。在这里,研究表明脂肪细胞来源的外泌体降低了 CRC 中的铁死亡易感性,从而促进了对奥沙利铂的化疗耐药性。研究发现,体脂比高的 CRC 患者血浆外泌体中微粒体甘油三酯转移蛋白(MTTP)表达增加,作为铁死亡的抑制剂,降低了对化疗的敏感性。从机制上讲,MTTP/脯氨酸丰富酸性蛋白 1(PRAP1)复合物抑制锌指 E 盒结合同源框 1 的表达,并上调谷胱甘肽过氧化物酶 4 和 xCT,导致多不饱和脂肪酸比例和脂质 ROS 水平降低。此外,在类器官实验和肥胖小鼠肿瘤植入模型中进行的实验表明,抑制 MTTP 可提高化疗敏感性。研究结果揭示了脂肪细胞来源的外泌体介导的一种新的细胞内信号通路,并表明针对分泌型 MTTP 的治疗可能逆转 CRC 中的奥沙利铂耐药性。

https://cdn.ncbi.nlm.nih.gov/pmc/blobs/56e1/9534973/0b46d257f1a7/ADVS-9-2203357-g008.jpg

文献AI研究员

20分钟写一篇综述,助力文献阅读效率提升50倍。

立即体验

用中文搜PubMed

大模型驱动的PubMed中文搜索引擎

马上搜索

文档翻译

学术文献翻译模型,支持多种主流文档格式。

立即体验