Suppr超能文献

低氧诱导的长链非编码 RNA STEAP3-AS1 通过防止 mA 介导的 STEAP3 mRNA 降解来激活 Wnt/β-catenin 信号通路,从而促进结直肠癌的进展。

Hypoxia-induced lncRNA STEAP3-AS1 activates Wnt/β-catenin signaling to promote colorectal cancer progression by preventing mA-mediated degradation of STEAP3 mRNA.

机构信息

State Key Laboratory of Biotherapy and Cancer Center, West China Hospital, and West China School of Basic Sciences & Forensic Medicine, Sichuan University, and Collaborative Innovation Center for Biotherapy, No. 17, Section 3, South Renmin Rd, Chengdu, 610041, P.R. China.

West China School of Basic Medical Sciences & Forensic Medicine, Sichuan University, Chengdu, 610041, P.R. China.

出版信息

Mol Cancer. 2022 Aug 19;21(1):168. doi: 10.1186/s12943-022-01638-1.

Abstract

BACKGROUND

Hypoxia, a typical hallmark of solid tumors, exhibits an essential role in the progression of colorectal cancer (CRC), in which the dysregulation of long non-coding RNAs (lncRNAs) is frequently observed. However, the underlying mechanisms are not clearly defined.

METHODS

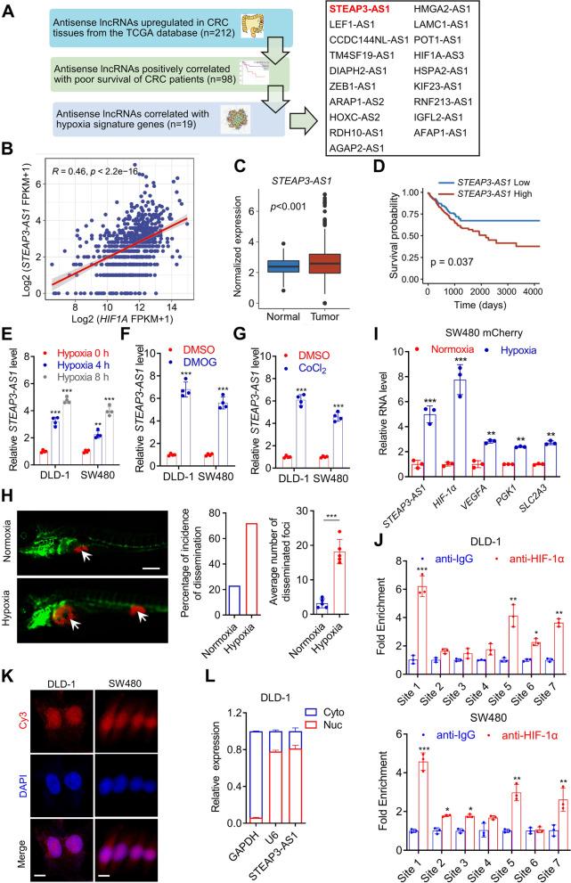
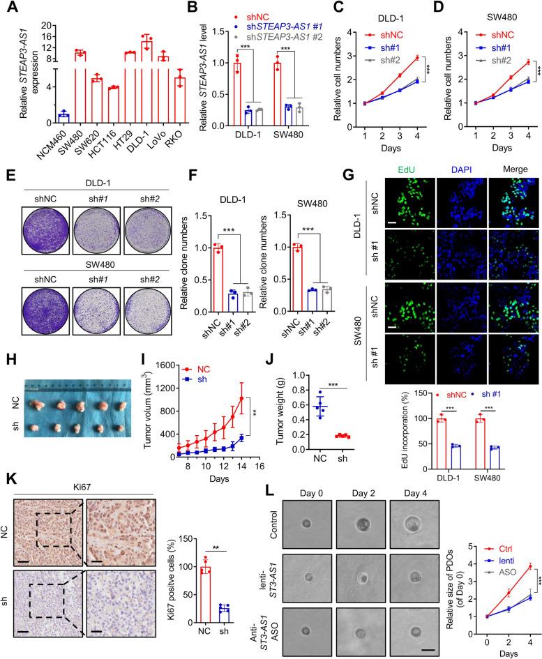
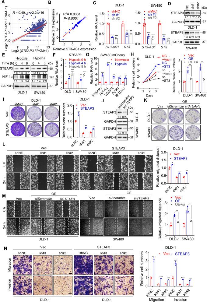
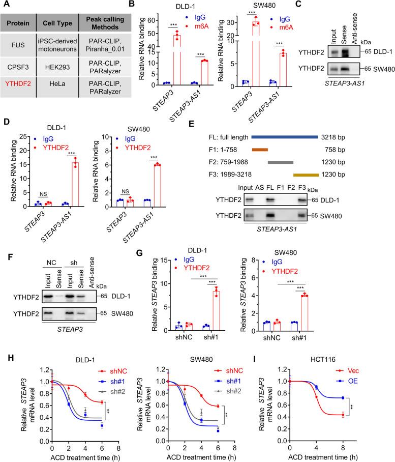
The TCGA database was analyzed to identify differential lncRNA expression involved in hypoxia-induced CRC progression. qRT-PCR was conducted to validate the upregulation of lncRNA STEAP3-AS1 in CRC cell lines and tumor-bearing mouse and zebrafish models under hypoxia. ChIP-qRT-PCR was used to detect the transcriptional activation of STEAP3-AS1 mediated by HIF-1α. RNA-seq, fluorescent in situ hybridization, RNA pulldown, RNA immunoprecipitation, co-immunoprecipitation, immunofluorescence and immunoblot experiments were used to ascertain the involved mechanisms. Functional assays were performed in both in vitro and in vivo models to investigate the regulatory role of STEAP3-AS1/STEAP3/Wnt/β-catenin axis in CRC proliferation and metastasis.

RESULTS

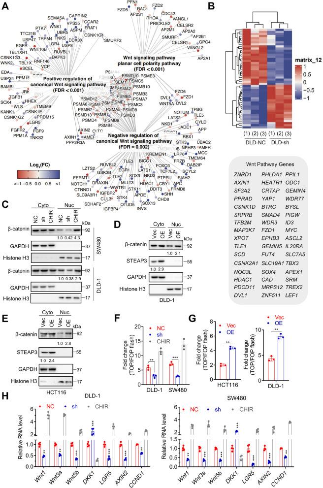
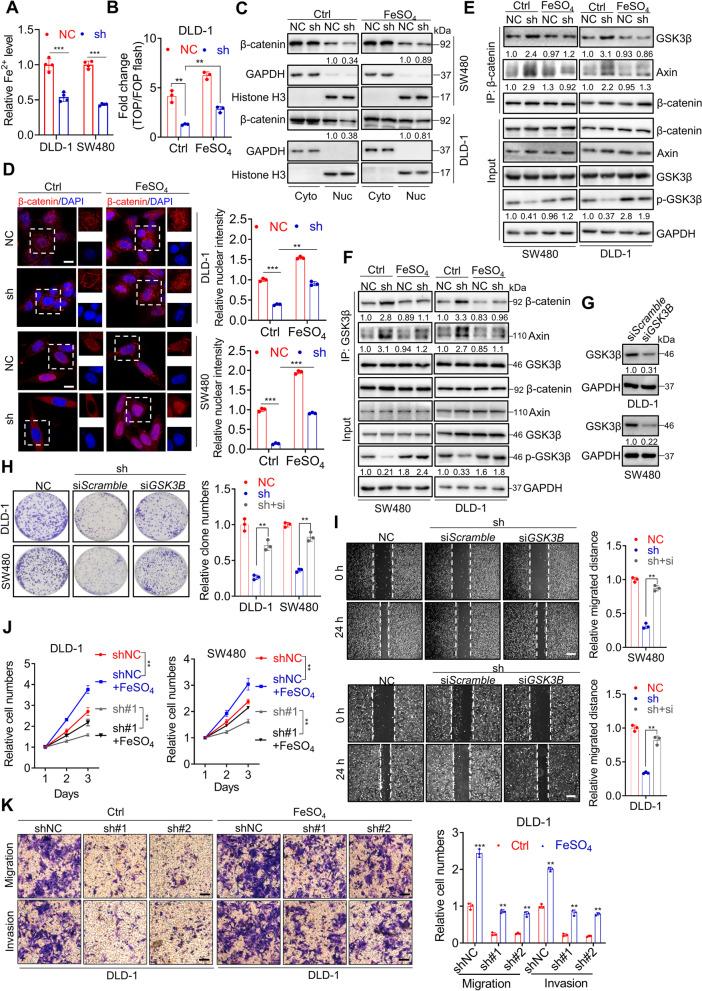
Here, we identified a hypoxia-induced antisense lncRNA STEAP3-AS1 that was highly expressed in clinical CRC tissues and positively correlated with poor prognosis of CRC patients. Upregulation of lncRNA STEAP3-AS1, which was induced by HIF-1α-mediated transcriptional activation, facilitated the proliferation and metastasis of CRC cells both in vitro and in vivo. Mechanistically, STEAP3-AS1 interacted competitively with the YTH domain-containing family protein 2 (YTHDF2), a N-methyladenosine (mA) reader, leading to the disassociation of YTHDF2 with STEAP3 mRNA. This effect protected STEAP3 mRNA from mA-mediated degradation, enabling the high expression of STEAP3 protein and subsequent production of cellular ferrous iron (Fe). Increased Fe levels elevated Ser 9 phosphorylation of glycogen synthase kinase 3 beta (GSK3β) and inhibited its kinase activity, thus releasing β-catenin for nuclear translocation and subsequent activation of Wnt signaling to support CRC progression.

CONCLUSIONS

Taken together, our study highlights the mechanisms of lncRNA STEAP3-AS1 in facilitating CRC progression involving the STEAP3-AS1/STEAP3/Wnt/β-catenin axis, which may provide novel diagnostic biomarkers or therapeutic targets to benefit CRC treatment. Hypoxia-induced HIF-1α transcriptionally upregulates the expression of lncRNA STEAP3-AS1, which interacts competitively with YTHDF2, thus upregulating mRNA stability of STEAP3 and consequent STEAP3 protein expression. The enhanced STEAP3 expression results in production of cellular ferrous iron (Fe), which induces the Ser 9 phosphorylation and inactivation of GSK3β, releasing β-catenin for nuclear translocation and contributing to subsequent activation of Wnt signaling to promote CRC progression.

摘要

背景

缺氧是实体瘤的典型特征,在结直肠癌(CRC)的进展中起着重要作用,在CRC 中经常观察到长非编码 RNA(lncRNA)的失调。然而,其潜在机制尚不清楚。

方法

分析 TCGA 数据库,确定参与缺氧诱导的 CRC 进展的差异表达的 lncRNA。qRT-PCR 用于验证 lncRNA STEAP3-AS1 在 CRC 细胞系和荷瘤小鼠及斑马鱼模型中缺氧时的上调。ChIP-qRT-PCR 用于检测 HIF-1α介导的 STEAP3-AS1 的转录激活。RNA-seq、荧光原位杂交、RNA 下拉、RNA 免疫沉淀、共免疫沉淀、免疫荧光和免疫印迹实验用于确定涉及的机制。在体外和体内模型中进行功能测定,以研究 STEAP3-AS1/STEAP3/Wnt/β-catenin 轴在 CRC 增殖和转移中的调节作用。

结果

在这里,我们鉴定了一种缺氧诱导的反义 lncRNA STEAP3-AS1,其在临床 CRC 组织中高度表达,并与 CRC 患者的不良预后呈正相关。lncRNA STEAP3-AS1 的上调,由 HIF-1α介导的转录激活诱导,促进了 CRC 细胞在体外和体内的增殖和转移。机制上,STEAP3-AS1 与 YTH 结构域家族蛋白 2(YTHDF2)竞争性相互作用,YTHDF2 是 N-甲基腺苷(mA)阅读器,导致 YTHDF2 与 STEAP3 mRNA 分离。这种效应保护 STEAP3 mRNA 免受 mA 介导的降解,使 STEAP3 蛋白高表达,并随后产生细胞亚铁(Fe)。增加的 Fe 水平升高糖原合酶激酶 3β(GSK3β)的 Ser 9 磷酸化并抑制其激酶活性,从而释放β-catenin 进行核易位,并随后激活 Wnt 信号以支持 CRC 进展。

结论

总之,我们的研究强调了 lncRNA STEAP3-AS1 在促进涉及 STEAP3-AS1/STEAP3/Wnt/β-catenin 轴的 CRC 进展中的机制,这可能为 CRC 治疗提供新的诊断生物标志物或治疗靶点。缺氧诱导的 HIF-1α 转录上调 lncRNA STEAP3-AS1 的表达,该表达与 YTHDF2 竞争,从而上调 STEAP3 mRNA 的稳定性和随后的 STEAP3 蛋白表达。增强的 STEAP3 表达导致细胞亚铁(Fe)的产生,这诱导 GSK3β 的 Ser 9 磷酸化和失活,释放β-catenin 进行核易位,并有助于随后激活 Wnt 信号以促进 CRC 进展。

https://cdn.ncbi.nlm.nih.gov/pmc/blobs/f1c6/9392287/7ad2161984b9/12943_2022_1638_Fig1_HTML.jpg

文献AI研究员

20分钟写一篇综述,助力文献阅读效率提升50倍。

立即体验

用中文搜PubMed

大模型驱动的PubMed中文搜索引擎

马上搜索

文档翻译

学术文献翻译模型,支持多种主流文档格式。

立即体验