Suppr超能文献

病例报告:间皮瘤与BAP1肿瘤易感综合征:对公共卫生的影响

Case report: Mesothelioma and BAP1 tumor predisposition syndrome: Implications for public health.

作者信息

Vimercati Luigi, Cavone Domenica, Fortarezza Francesco, Delfino Maria Celeste, Ficarella Romina, Gentile Angela, De Palma Angela, Marulli Giuseppe, De Maria Luigi, Caporusso Concetta, Marzullo Andrea, d'Amati Antonio, Romano Daniele Egidio, Caputi Antonio, Sponselli Stefania, Serio Gabriella, Pezzuto Federica

机构信息

Interdisciplinary Department of Medicine, Occupational Medicine Section Ramazzini, University of Bari Aldo Moro, Bari, Italy.

Pathology Unit, Department of Medicine, School of Medicine and Surgery, University Hospital of Padova, University of Padova, Padova, Italy.

出版信息

Front Oncol. 2022 Aug 4;12:966063. doi: 10.3389/fonc.2022.966063. eCollection 2022.

Abstract

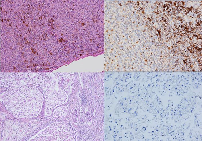
BRCA-1 associated protein 1 (BAP1) tumour predisposition syndrome (TPDS) is a hereditary condition characterised by germline mutation of the tumour suppressor BAP1. This disorder is associated with the development of various benign and malignant tumours, mainly involving the skin, eyes, kidneys, and mesothelium. In this article, we report the case of a man recruited through the Apulia (Southern Italy) Mesothelioma Regional Operational Centre of the National Register of Mesotheliomas, who suffered from uveal melanoma, renal cancer, and mesothelioma, and a familial cluster of BAP1 germline mutations demonstrated by molecular analyses. The family members of the proband developed multiple malignancies. As tumours arising in this context have specific peculiarities in terms of clinical behaviour, identification of this condition through appropriate genetic counselling should be considered for adequate primary, secondary, and tertiary prevention measures for offspring.

摘要

BRCA-1相关蛋白1(BAP1)肿瘤易感性综合征(TPDS)是一种遗传性疾病,其特征为肿瘤抑制因子BAP1的种系突变。这种疾病与多种良性和恶性肿瘤的发生有关,主要累及皮肤、眼睛、肾脏和间皮。在本文中,我们报告了一名通过意大利南部普利亚间皮瘤国家登记处区域运营中心招募的男性病例,他患有葡萄膜黑色素瘤、肾癌和间皮瘤,分子分析显示存在BAP1种系突变家族聚集现象。先证者的家庭成员发生了多种恶性肿瘤。由于在此背景下发生的肿瘤在临床行为方面具有特定特点,应通过适当的遗传咨询来识别这种疾病,以便为后代采取充分的一级、二级和三级预防措施。

https://cdn.ncbi.nlm.nih.gov/pmc/blobs/0b2b/9386481/6e43a86ff410/fonc-12-966063-g001.jpg

文献AI研究员

20分钟写一篇综述,助力文献阅读效率提升50倍。

立即体验

用中文搜PubMed

大模型驱动的PubMed中文搜索引擎

马上搜索

文档翻译

学术文献翻译模型,支持多种主流文档格式。

立即体验