Suppr超能文献

蜗牛调节的外泌体 microRNA-21 抑制 NLRP3 炎性体活性以增强顺铂耐药性。

Snail-regulated exosomal microRNA-21 suppresses NLRP3 inflammasome activity to enhance cisplatin resistance.

机构信息

Institute of Clinical Medicine, National Yang Ming Chiao Tung University, Taipei, Taiwan.

Institute of Biotechnology and Laboratory Science in Medicine, National Yang Ming Chiao Tung University, Taipei, Taiwan.

出版信息

J Immunother Cancer. 2022 Aug;10(8). doi: 10.1136/jitc-2022-004832.

Abstract

BACKGROUND

Compared with the precise targeting of drug-resistant mutant cancer cells, strategies for eliminating non-genetic adaptation-mediated resistance are limited. The pros and cons of the existence of inflammasomes in cancer have been reported. Nevertheless, the dynamic response of inflammasomes to therapies should be addressed.

METHODS

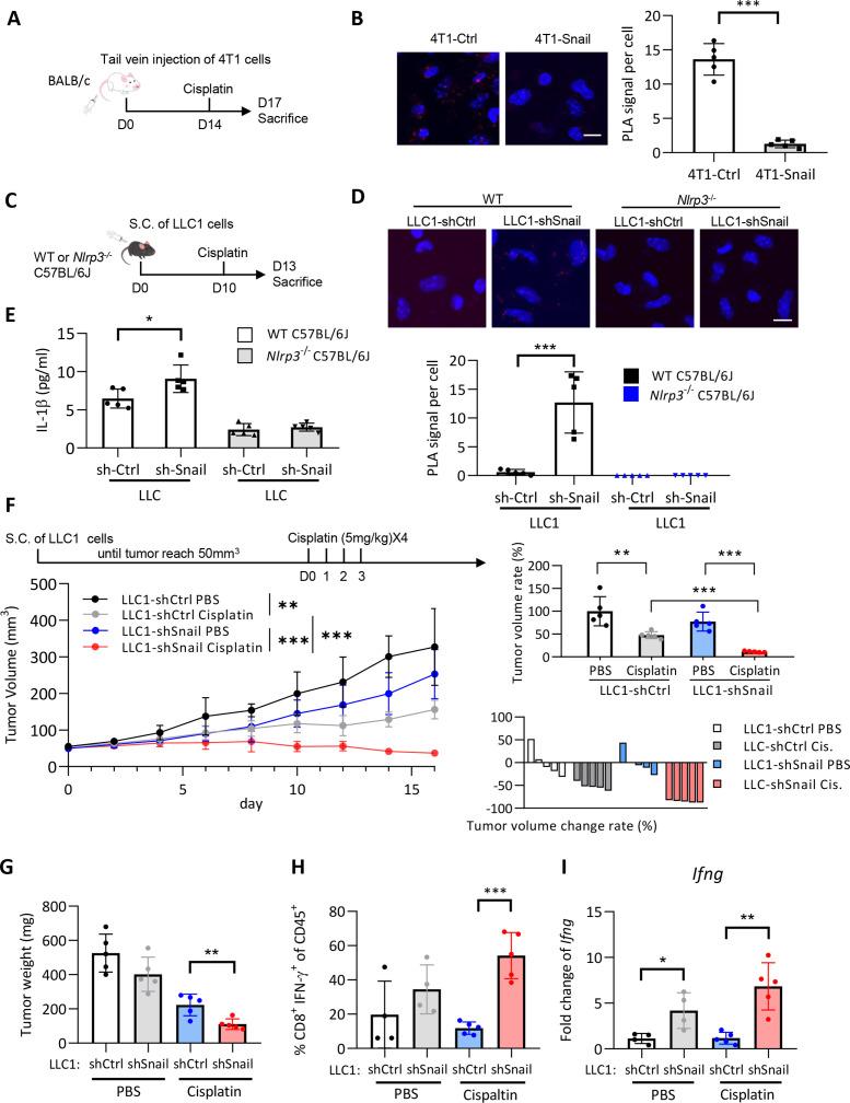
Tumor-derived exosomes were purified by differential ultracentrifugation and validated by nanoparticle tracking analysis and transmission electron microscopy. A proximity ligation assay and interleukin-1β (IL-1β) level were used for detecting activation of NLRP3 inflammasomes. RNA sequencing was used to analyze the exosomal RNAs. knocked out human monocytic THP cells and knocked out murine oral cancer MTCQ1 cells were generated for confirming the exosomal delivery of microRNA (miR)-21. Syngeneic murine models for head and neck cancer (C57BLJ/6J), breast cancer (BALB/C) and lung cancer (C57BL/6J) were applied for examining the impact of Snail-miR21 axis on inflammasome activation in vivo. Single-cell RNA sequencing was used for analyzing the tumor-infiltrated immune cells. Head and neck patient samples were used for validating the findings in clinical samples.

RESULTS

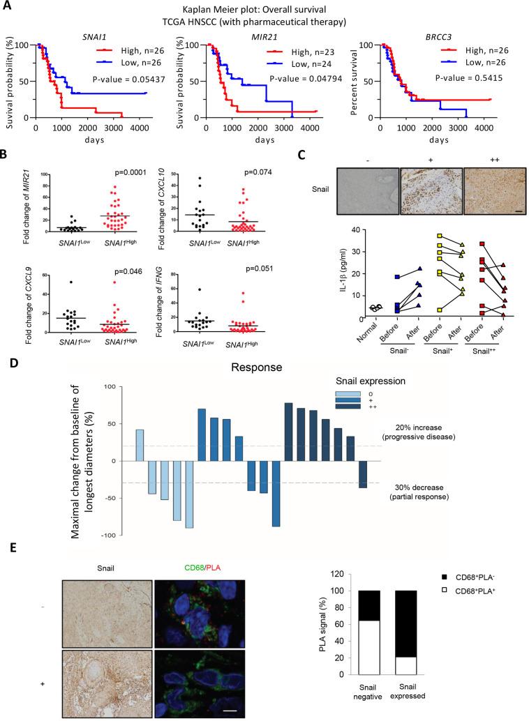
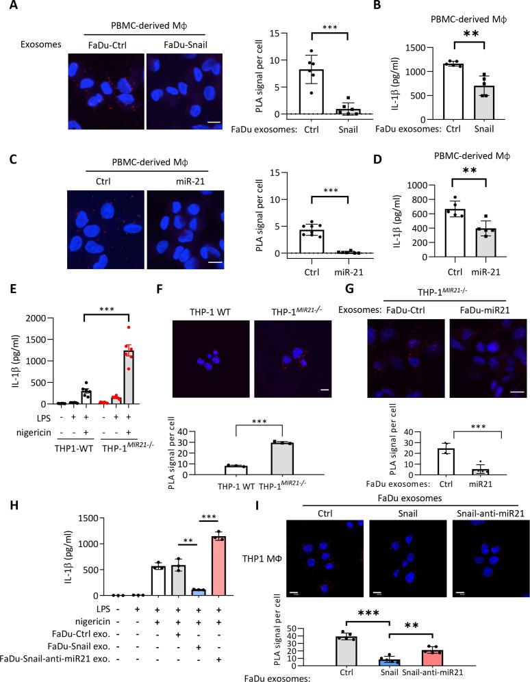
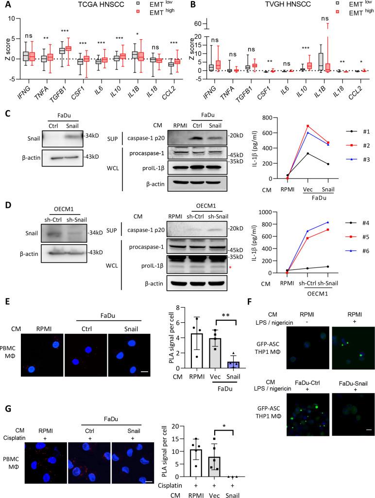
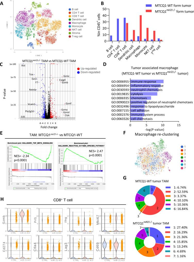
We demonstrated that in cancer cells undergoing Snail-induced epithelial-mesenchymal transition (EMT), tumor cells suppress NLRP3 inflammasome activities of tumor-associated macrophages (TAMs) in response to chemotherapy through the delivery of exosomal miR-21. Mechanistically, miR-21 represses and to facilitate NLRP3 phosphorylation and lysine-63 ubiquitination, inhibiting NLRP3 inflammasome assembly. Furthermore, the Snail-miR-21 axis shapes the post-chemotherapy tumor microenvironment (TME) by repopulating TAMs and by activating CD8 T cells. In patients with head and neck cancer, the Snail-high cases lacked post-chemotherapy IL-1β surge and were correlated with a worse response.

CONCLUSIONS

This finding reveals the mechanism of EMT-mediated resistance beyond cancer stemness through modulation of post-treatment inflammasome activity. It also highlights the dynamic remodeling of the TME throughout metastatic evolution.

摘要

背景

与耐药突变癌细胞的精确靶向相比,消除非遗传适应介导的耐药性的策略有限。炎症小体在癌症中的存在利弊已有报道。然而,应该解决炎症小体对治疗的动态反应。

方法

通过差速超速离心纯化肿瘤衍生的外泌体,并通过纳米颗粒跟踪分析和透射电子显微镜进行验证。使用邻近连接分析和白细胞介素 1β(IL-1β)水平检测 NLRP3 炎症小体的激活。使用 RNA 测序分析外泌体中的 RNA。敲除人单核细胞 THP 细胞和敲除鼠口腔癌 MTCQ1 细胞用于确认 microRNA(miR)-21 的外泌体递送。应用同源小鼠头颈部癌(C57BLJ/6J)、乳腺癌(BALB/C)和肺癌(C57BL/6J)模型研究 Snail-miR21 轴对体内炎症小体激活的影响。单细胞 RNA 测序用于分析肿瘤浸润免疫细胞。头颈部患者样本用于验证临床样本中的发现。

结果

我们证明,在经历 Snail 诱导的上皮-间充质转化(EMT)的癌细胞中,癌细胞通过递送外泌体 miR-21 来抑制肿瘤相关巨噬细胞(TAMs)中的 NLRP3 炎症小体活性,以响应化疗。从机制上讲,miR-21 抑制 和 以促进 NLRP3 磷酸化和赖氨酸 63 泛素化,抑制 NLRP3 炎症小体组装。此外,Snail-miR-21 轴通过重新填充 TAMs 和激活 CD8 T 细胞来塑造化疗后的肿瘤微环境(TME)。在头颈部癌症患者中,Snail 高病例缺乏化疗后 IL-1β 激增,与反应较差相关。

结论

这项发现揭示了 EMT 介导的耐药性通过调节治疗后炎症小体活性超越癌症干性的机制。它还突出了整个转移进化过程中 TME 的动态重塑。

https://cdn.ncbi.nlm.nih.gov/pmc/blobs/29f3/9413180/1b9bced93286/jitc-2022-004832f01.jpg

文献AI研究员

20分钟写一篇综述,助力文献阅读效率提升50倍。

立即体验

用中文搜PubMed

大模型驱动的PubMed中文搜索引擎

马上搜索

文档翻译

学术文献翻译模型,支持多种主流文档格式。

立即体验