Suppr超能文献

一系列病例中犬类乳腺癌与人乳腺癌之间的激素同源性

Hormonal Homologies between Canine Mammary Cancer and Human Breast Cancer in a Series of Cases.

作者信息

de Andrés Paloma Jimena, Cáceres Sara, Illera Juan Carlos, Crespo Belén, Silván Gema, Queiroga Felisbina Luisa, Illera Maria José, Pérez-Alenza Maria Dolores, Peña Laura

机构信息

Department of Animal Medicine, Surgery and Pathology, Veterinary School, Complutense University of Madrid, 28040 Madrid, Spain.

Department of Animal Physiology, Veterinary School, Complutense University of Madrid, 28040 Madrid, Spain.

出版信息

Vet Sci. 2022 Jul 29;9(8):395. doi: 10.3390/vetsci9080395.

Abstract

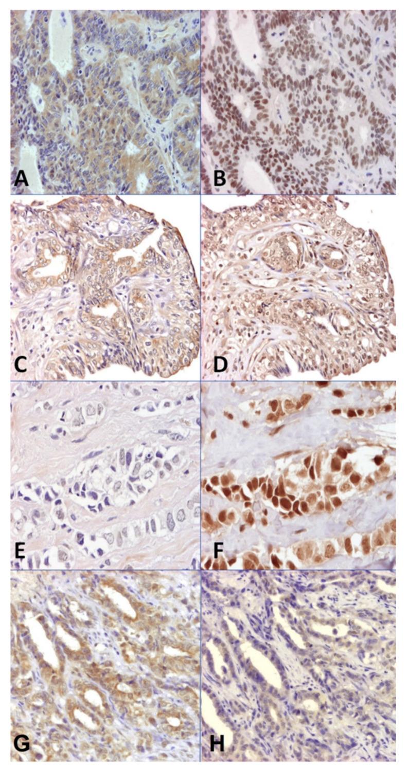
The validity of spontaneous canine mammary cancer (CMC) as a natural model for the study of human breast cancer (HBC) from a hormonal point of view has never been thoroughly investigated. In this study, we analyzed the immunohistochemical expression of aromatase (Arom) and steroid receptors [estrogen receptor α (ER α), estrogen receptor β (ER β), progesterone receptor (PR) and androgen receptor (AR)] and intratumor steroid hormone levels of 17β-estradiol (E2), estrone sulfate (SO4E1), progesterone (P4), androstenedione (A4), dehydroepiandrosterone (DHEA), and testosterone (T) in 78 samples of mammary cancer-51 human breast cancer (HBC) and 27 canine mammary cancer (CMC)-and corresponding controls. Frequency of tumors expressing Arom, ERβ, PR, and AR was similar in both species, whereas ERα+ tumors were less frequent in the canine species. There was a closer similarity between premenopausal HBC and CMC. In HBC and CMC, all hormones assayed were increased in tumors compared to control samples. Intratumor androgen levels were similar in the two species, although levels of progesterone and estrogens were higher in the HBC samples than the CMC samples. Statistical associations among Arom, receptors, and hormones analyzed suggest that the major hormonal influence in both species is estrogenic through the ER, being the α isoform predominant in the human samples. Our findings further support CMC as a spontaneous model for the study of HBC, especially premenopausal HBC, although several differences, such as the more prevalent ERα immunoexpression and higher intratumor levels of estrogens and P4 in HBC, should be taken into account in comparative hormonal studies.

摘要

从激素角度来看,自发性犬类乳腺癌(CMC)作为人类乳腺癌(HBC)研究的天然模型,其有效性从未得到过彻底研究。在本研究中,我们分析了78份乳腺癌样本(51份人类乳腺癌(HBC)样本和27份犬类乳腺癌(CMC)样本)及其相应对照中芳香化酶(Arom)和类固醇受体[雌激素受体α(ERα)、雌激素受体β(ERβ)、孕激素受体(PR)和雄激素受体(AR)]的免疫组化表达以及肿瘤内类固醇激素水平,包括17β-雌二醇(E2)、硫酸雌酮(SO4E1)、孕酮(P4)、雄烯二酮(A4)、脱氢表雄酮(DHEA)和睾酮(T)。两种物种中表达Arom、ERβ、PR和AR的肿瘤频率相似,而犬类物种中ERα阳性肿瘤的频率较低。绝经前HBC和CMC之间的相似性更高。在HBC和CMC中,与对照样本相比所有检测的激素在肿瘤中均升高。两种物种的肿瘤内雄激素水平相似,尽管HBC样本中的孕酮和雌激素水平高于CMC样本。对Arom、受体和激素进行分析的统计关联表明,两种物种中的主要激素影响是通过ER产生的雌激素作用影响,在人类样本中α异构体占主导。我们的研究结果进一步支持CMC作为HBC研究的自发模型,尤其是绝经前HBC,尽管在比较激素研究中应考虑一些差异,例如HBC中更普遍的ERα免疫表达以及更高的肿瘤内雌激素和P4水平。

https://cdn.ncbi.nlm.nih.gov/pmc/blobs/4754/9414677/a66098fe0892/vetsci-09-00395-g001.jpg

文献AI研究员

20分钟写一篇综述,助力文献阅读效率提升50倍。

立即体验

用中文搜PubMed

大模型驱动的PubMed中文搜索引擎

马上搜索

文档翻译

学术文献翻译模型,支持多种主流文档格式。

立即体验