Suppr超能文献

绵羊新孢子虫病:当前全球形势

Ovine Neosporosis: The Current Global Situation.

作者信息

Benavides Julio, González-Warleta Marta, Arteche-Villasol Noive, Pérez Valentín, Mezo Mercedes, Gutiérrez-Expósito Daniel

机构信息

Instituto de Ganadería de Montaña, CSIC-University of Leon, Grulleros, 24346 León, Spain.

Centro de Investigaciones Agrarias de Mabegondo, Parasitology Laboratory, Axencia Galega da Calidade Alimentaria (AGACAL)-Xunta de Galicia, Ctra, Betanzos a Mesón do Vento km 7, Abegondo, 15318 A Coruña, Spain.

出版信息

Animals (Basel). 2022 Aug 15;12(16):2074. doi: 10.3390/ani12162074.

Abstract

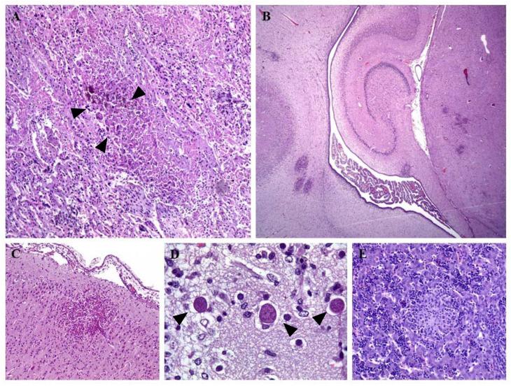
In the past 20 years, infection in sheep has been reported in at least 31 countries worldwide from all sheep-rearing continents (Europe, Asia, the Americas, Africa, and Oceania), and its role as an abortifacient agent is becoming more evident. Most studies of ovine neosporosis have focused on its epidemiology, based primarily on serological analysis, with only a few studies investigating the actual presence of the parasite by PCR and/or IHC. Individual seroprevalence rates were highly variable between countries, and even between regions within the same country, ranging from 0.0% to 67.4% positive. Furthermore, most of the studies were not directly comparable due to differences in experimental designs, sample sizes, husbandry systems, ecological factors, and serological tests (e.g., IFAT, ELISA, MAT, Western blot). The latter, along with the scarcity of studies on the relevance of as an abortifacient agent, may bias the perception of the importance of this disease. This review summarizes the situation of infection in sheep using all available published studies describing natural ovine neosporosis. The epidemiology shows that ovine neosporosis is found worldwide, and it poses a relevant risk to the sustainability of sheep flocks.

摘要

在过去20年里,全球至少31个国家(来自所有养羊大洲,即欧洲、亚洲、美洲、非洲和大洋洲)报告了绵羊感染情况,其作为流产病原体的作用日益明显。大多数关于绵羊新孢子虫病的研究主要集中在流行病学方面,主要基于血清学分析,只有少数研究通过PCR和/或免疫组化来调查寄生虫的实际存在情况。各国之间甚至同一国家不同地区之间的个体血清阳性率差异很大,阳性率从0.0%到67.4%不等。此外,由于实验设计、样本量、饲养系统、生态因素和血清学检测(如间接荧光抗体试验、酶联免疫吸附测定、微量凝集试验、蛋白质印迹法)的差异,大多数研究无法直接进行比较。后者以及关于其作为流产病原体相关性的研究稀缺,可能会使人们对这种疾病重要性的认识产生偏差。本综述利用所有已发表的描述自然发生的绵羊新孢子虫病的研究,总结了绵羊感染的情况。流行病学研究表明,绵羊新孢子虫病在全球范围内都有发现,对绵羊群的可持续性构成了相关风险。

https://cdn.ncbi.nlm.nih.gov/pmc/blobs/7b5c/9405361/ec7e0e4a5133/animals-12-02074-g001.jpg

文献AI研究员

20分钟写一篇综述,助力文献阅读效率提升50倍。

立即体验

用中文搜PubMed

大模型驱动的PubMed中文搜索引擎

马上搜索

文档翻译

学术文献翻译模型,支持多种主流文档格式。

立即体验