Suppr超能文献

制备 RIPK3 多克隆抗体及其在感染致病性传染性支气管炎病毒鸡肾病变型免疫检测中的应用。

Preparation of the RIPK3 Polyclonal Antibody and Its Application in Immunoassays of Nephropathogenic Infectious Bronchitis Virus-Infected Chickens.

机构信息

Jiangxi Provincial Key Laboratory for Animal Health, College of Animal Science and Technology, Jiangxi Agricultural University, Nanchang 330045, China.

School of Computer and Information Engineering, Jiangxi Agricultural University, Nanchang 330045, China.

出版信息

Viruses. 2022 Aug 10;14(8):1747. doi: 10.3390/v14081747.

Abstract

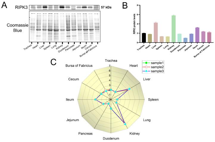
Receptor interacting protein kinase 3 (RIPK3) is a vital serine/threonine kinase in regulating the programmed destruction of infected cells to defend against RNA viruses. Although the role of RIPK3 in viruses in mice is well characterized, it remains unclear where in nephropathogenic infectious bronchitis virus (NIBV) in chickens. Here, we use a self-prepared polyclonal antibody to clarify the abundance of RIPK3 in tissues and define the contributions of RIPK3 in tissue damage caused by NIBV infection in chickens. Western blot analyses showed that RIPK3 polyclonal antibody can specifically recognize RIPK3 in the vital tissues of Hy-Line brown chicks and RIPK3 protein is abundantly expressed in the liver and kidney. Moreover, NIBV significantly upregulated the expression levels of RIPK3 in the trachea and kidney of chicks in a time-dependent manner. In addition, the activation of necroptosis in response to NIBV infection was demonstrated by the coimmunoprecipitation (CoIP) experiments through RIPK3 in the necrosome, which phosphorylates its downstream mixed-spectrum kinase structural domain-like protein (MLKL). Our findings offered preliminary insights into the key role of RIPK3 protein in studying the underlying mechanism of organ failure caused by NIBV infection.

摘要

受体相互作用蛋白激酶 3(RIPK3)是一种重要的丝氨酸/苏氨酸激酶,在调节受感染细胞的程序性破坏以抵御 RNA 病毒方面发挥着重要作用。尽管 RIPK3 在小鼠病毒中的作用已得到很好的描述,但它在鸡中致病性传染性支气管炎病毒(NIBV)中的作用仍不清楚。在这里,我们使用自制的多克隆抗体来阐明 RIPK3 在组织中的丰度,并确定 RIPK3 在 NIBV 感染引起的组织损伤中的作用。Western blot 分析表明,RIPK3 多克隆抗体可特异性识别海兰褐小鸡重要组织中的 RIPK3,且 RIPK3 蛋白在肝脏和肾脏中大量表达。此外,NIBV 可在时间依赖性方式下显著上调雏鸡气管和肾脏中 RIPK3 的表达水平。此外,通过 necrosome 中的 RIPK3 共免疫沉淀(CoIP)实验证实了 necroptosis 的激活,RIPK3 可磷酸化其下游的混合谱激酶结构域样蛋白(MLKL)。我们的研究结果初步揭示了 RIPK3 蛋白在研究 NIBV 感染引起的器官衰竭潜在机制中的关键作用。

https://cdn.ncbi.nlm.nih.gov/pmc/blobs/1984/9412573/2cdc5f239ccd/viruses-14-01747-g001.jpg

文献AI研究员

20分钟写一篇综述,助力文献阅读效率提升50倍。

立即体验

用中文搜PubMed

大模型驱动的PubMed中文搜索引擎

马上搜索

文档翻译

学术文献翻译模型,支持多种主流文档格式。

立即体验