Suppr超能文献

幽门螺杆菌感染中黏膜肿瘤坏死因子-α表达与Th1、Th17、Th22和调节性T细胞反应之间的关系。

Relationship between mucosal TNF-α expression and Th1, Th17, Th22 and Treg responses in Helicobacter pylori infection.

作者信息

Rahimian Ghorbanali, Shahini Shams Abadi Milad, Mirzaei Yousef, Hussein Mer Ali, Ahmadi Reza, Azadegan-Dehkordi Fatemeh

机构信息

Department of Internal Medicine, Shahrekord University of Medical Sciences, Shahrekord, Iran.

Cellular and Molecular Research Center, Basic Health Sciences Institute, Shahrekord University of Medical Sciences, Shahrekord, Iran.

出版信息

AMB Express. 2022 Sep 3;12(1):113. doi: 10.1186/s13568-022-01456-0.

Abstract

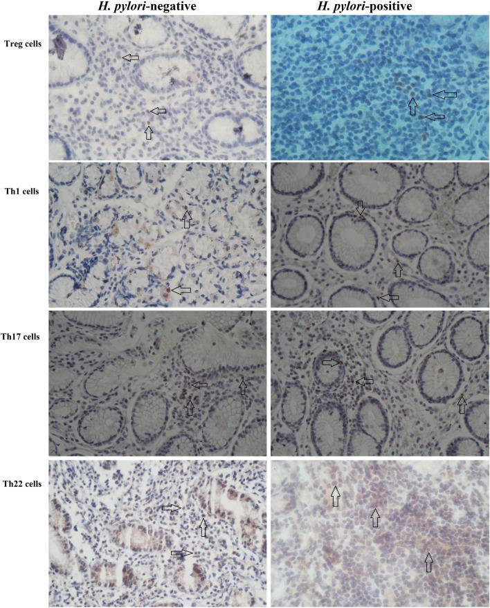
Helicobacter pylori (H. pylori)-induced gastric inflammation in the gastric mucosa and significantly increases the risk of developing gastritis and peptic ulcer disease (PUD). The objective of this research is to determine the role of tumor necrosis factor-α (TNF-α) expression in the gastric mucosa of patients with H. pylori-associated gastritis and PUD compared to uninfected patients, and we determined the relation between TNF-α expression and Th1/Th17/Th22, and Treg cells. Fifty-five patients with H. pylori-associated gastritis, 47 patients with H. pylori-associated PUD, and 48 uninfected patients were in this research. Antrum biopsy was used to detect H. pylori, virulence factors and histopathological assessments. Expression of TNF-α in the infected group was significantly higher than the uninfected group. Also, cagA/oipA-positive infected patients induce significantly more TNF-α expression than do cagA/oipA-negative infected patients. Expression of TNF-α was significantly increased in the PUD group than the gastritis group. Notably, TNF-α expression had a significant positive correlation with the frequency of Th1/Th17/Th22 lymphocytes in the PUD group. These findings indicate the importance of increasing TNF-α with Th1, Th17, Th22 responses increase as an important risk factor for PUD in context of H. pylori infection.

摘要

幽门螺杆菌(H. pylori)可诱发胃黏膜炎症,并显著增加患胃炎和消化性溃疡疾病(PUD)的风险。本研究的目的是确定与未感染患者相比,肿瘤坏死因子-α(TNF-α)表达在幽门螺杆菌相关性胃炎和PUD患者胃黏膜中的作用,并确定TNF-α表达与Th1/Th17/Th22及调节性T细胞(Treg细胞)之间的关系。本研究纳入了55例幽门螺杆菌相关性胃炎患者、47例幽门螺杆菌相关性PUD患者和48例未感染患者。采用胃窦活检检测幽门螺杆菌、毒力因子及组织病理学评估。感染组TNF-α的表达显著高于未感染组。此外,细胞毒素相关基因A(cagA)/外膜炎症蛋白A(oipA)阳性的感染患者比cagA/oipA阴性的感染患者诱导产生的TNF-α表达显著更多。PUD组TNF-α的表达比胃炎组显著增加。值得注意的是,在PUD组中,TNF-α表达与Th1/Th17/Th22淋巴细胞频率呈显著正相关。这些发现表明,在幽门螺杆菌感染的情况下,随着Th1、Th17、Th22反应增加,TNF-α升高作为PUD的一个重要危险因素具有重要意义。

https://cdn.ncbi.nlm.nih.gov/pmc/blobs/f757/9440976/355893ea679b/13568_2022_1456_Fig1_HTML.jpg

文献AI研究员

20分钟写一篇综述,助力文献阅读效率提升50倍。

立即体验

用中文搜PubMed

大模型驱动的PubMed中文搜索引擎

马上搜索

文档翻译

学术文献翻译模型,支持多种主流文档格式。

立即体验