Suppr超能文献

恶性腹膜间皮瘤文献综述:过去、现在与未来。

Malignant peritoneal mesothelioma literature review: past, present, and future.

作者信息

Gregory Stephanie N, Sarvestani A Leila, Blakely Andrew M

机构信息

National Cancer Institute, National Institutes of Health, Bethesda, MD, USA.

Department of Surgical Oncology, National Cancer Institute, National Institutes of Health, Bethesda, MD, USA.

出版信息

Dig Med Res. 2022 Jun;5. doi: 10.21037/dmr-22-19. Epub 2022 Jun 30.

Abstract

BACKGROUND AND OBJECTIVE

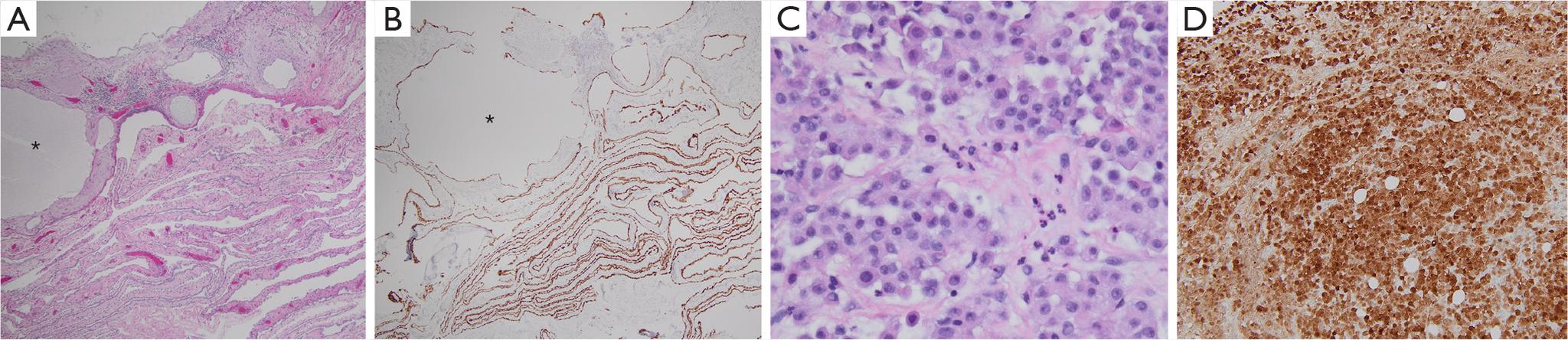
Malignant peritoneal mesothelioma (MPM) is an insidious neoplasm that arises from the mesothelial lining of the abdominal cavity. Historically, outcomes of MPM were dismal, as MPM is relatively resistant to cytotoxic chemotherapy. However, with advances in technology and improved understanding of tumor pathophysiology, treatments for MPM have produced encouraging 5-year survival. The standard of care for patients with resectable disease remains cytoreductive surgery and hyperthermic intraperitoneal chemotherapy (CRS-HIPEC). Patients with inoperable MPM can be offered several systemic treatments, including chemotherapy, immune checkpoint inhibitors, or investigational treatments. Our objective is to provide an overview of our current knowledge concerning MPM and latest advances in treatment.

METHODS

Narrative overview of the literature published in English from database origin until January 31, 2022 relating to MPM was searched in PubMed database, Google Scholar, and ClinicalTrials.gov.

KEY CONTENT AND FINDINGS

CRS-HIPEC has offered improved survival for surgical candidates, however outcomes for inoperable MPM remains dismal. With advancements in technology and better understanding of underlying MPM biology, new treatment approaches are arising and imperative.

CONCLUSIONS

MPM is a rare and lethal disease of the peritoneum. CRS-HIPEC remains the standard of care for resectable disease. In 2022, several clinical trials are available for patients with MPM offering future advances in therapy and further understanding of this rare disease process.

摘要

背景与目的

恶性腹膜间皮瘤(MPM)是一种隐匿性肿瘤,起源于腹腔的间皮内衬。从历史上看,MPM的预后很差,因为它对细胞毒性化疗相对耐药。然而,随着技术的进步和对肿瘤病理生理学的深入了解,MPM的治疗已取得了令人鼓舞的5年生存率。对于可切除疾病患者的标准治疗方法仍然是细胞减灭术和腹腔内热灌注化疗(CRS-HIPEC)。对于无法手术的MPM患者,可以提供几种全身治疗方法,包括化疗、免疫检查点抑制剂或试验性治疗。我们的目的是概述我们目前关于MPM的知识以及治疗方面的最新进展。

方法

在PubMed数据库、谷歌学术和ClinicalTrials.gov中检索截至2022年1月31日以英文发表的与MPM相关的文献的叙述性综述。

关键内容与发现

CRS-HIPEC为适合手术的患者提供了更高的生存率,然而无法手术的MPM患者的预后仍然很差。随着技术的进步和对MPM生物学基础的更好理解,新的治疗方法不断涌现且势在必行。

结论

MPM是一种罕见且致命的腹膜疾病。CRS-HIPEC仍然是可切除疾病的标准治疗方法。在2022年,有几项针对MPM患者的临床试验,有望在治疗方面取得进一步进展,并加深对这种罕见疾病过程的理解。

https://cdn.ncbi.nlm.nih.gov/pmc/blobs/3b9d/9436021/44dbdaaff0de/nihms-1818868-f0001.jpg

文献AI研究员

20分钟写一篇综述,助力文献阅读效率提升50倍。

立即体验

用中文搜PubMed

大模型驱动的PubMed中文搜索引擎

马上搜索

文档翻译

学术文献翻译模型,支持多种主流文档格式。

立即体验