Suppr超能文献

低剂量全氟辛酸暴露可促进小鼠肝脂肪变性并扰乱其肝转录组。

Exposure to low-dose perfluorooctanoic acid promotes hepatic steatosis and disrupts the hepatic transcriptome in mice.

机构信息

Nutrition, Metabolism and Genomics Group, Division of Human Nutrition and Health, Wageningen University, the Netherlands.

Wageningen Food Safety Research (WFSR), Wageningen, the Netherlands.

出版信息

Mol Metab. 2022 Dec;66:101602. doi: 10.1016/j.molmet.2022.101602. Epub 2022 Sep 14.

Abstract

OBJECTIVE

Perfluoroalkyl substances (PFAS) are man-made chemicals with demonstrated endocrine-disrupting properties. Exposure to perfluorooctanoic acid (PFOA) has been linked to disturbed metabolism via the liver, although the exact mechanism is not clear. Moreover, information on the metabolic effects of the new PFAS alternative GenX is limited. We examined whether exposure to low-dose PFOA and GenX induces metabolic disturbances in mice, including NAFLD, dyslipidemia, and glucose tolerance, and studied the involvement of PPARα.

METHODS

Male C57BL/6J wildtype and PPARα mice were given 0.05 or 0.3 mg/kg body weight/day PFOA, or 0.3 mg/kg body weight/day GenX while being fed a high-fat diet for 20 weeks. Glucose and insulin tolerance tests were performed after 18 and 19 weeks. Plasma metabolite levels were measured next to a detailed assessment of the liver phenotype, including lipid content and RNA sequencing.

RESULTS

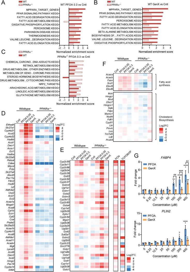
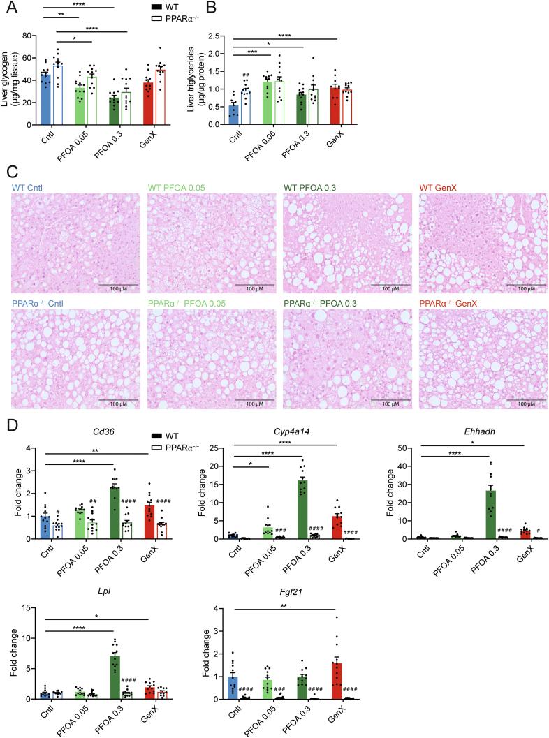
Exposure to high-dose PFOA decreased body weight and increased liver weight in wildtype and PPARα mice. High-dose but not low-dose PFOA reduced plasma triglycerides and cholesterol, which for triglycerides was dependent on PPARα. PFOA and GenX increased hepatic triglycerides in a PPARα-dependent manner. RNA sequencing showed that the effects of GenX on hepatic gene expression were entirely dependent on PPARα, while the effects of PFOA were mostly dependent on PPARα. In the absence of PPARα, the involvement of PXR and CAR became more prominent.

CONCLUSION

Overall, we show that long-term and low-dose exposure to PFOA and GenX disrupts hepatic lipid metabolism in mice. Whereas the effects of PFOA are mediated by multiple nuclear receptors, the effects of GenX are entirely mediated by PPARα. Our data underscore the potential of PFAS to disrupt metabolism by altering signaling pathways in the liver.

摘要

目的

全氟烷基物质(PFAS)是具有明显内分泌干扰特性的人工合成化学品。接触全氟辛酸(PFOA)已被证明会通过肝脏扰乱新陈代谢,尽管确切的机制尚不清楚。此外,关于新型 PFAS 替代品 GenX 的代谢影响的信息有限。我们研究了低剂量 PFOA 和 GenX 暴露是否会在小鼠中引起代谢紊乱,包括非酒精性脂肪性肝病、血脂异常和葡萄糖耐量,并研究了 PPARα 的参与情况。

方法

雄性 C57BL/6J 野生型和 PPARα 小鼠分别给予 0.05 或 0.3mg/kg 体重/天 PFOA 或 0.3mg/kg 体重/天 GenX,同时给予高脂肪饮食 20 周。在 18 周和 19 周后进行葡萄糖和胰岛素耐量试验。测量血浆代谢物水平,并对肝脏表型进行详细评估,包括脂质含量和 RNA 测序。

结果

高剂量 PFOA 暴露降低了野生型和 PPARα 小鼠的体重并增加了肝脏重量。高剂量而非低剂量 PFOA 降低了血浆甘油三酯和胆固醇,而甘油三酯的降低依赖于 PPARα。PFOA 和 GenX 以 PPARα 依赖的方式增加肝内甘油三酯。RNA 测序显示,GenX 对肝基因表达的影响完全依赖于 PPARα,而 PFOA 的影响主要依赖于 PPARα。在缺乏 PPARα 的情况下,PXR 和 CAR 的参与变得更加突出。

结论

总之,我们表明,长期和低剂量暴露于 PFOA 和 GenX 会破坏小鼠的肝内脂质代谢。虽然 PFOA 的作用是通过多种核受体介导的,但 GenX 的作用完全是由 PPARα 介导的。我们的数据强调了 PFAS 通过改变肝脏信号通路来破坏代谢的潜力。

https://cdn.ncbi.nlm.nih.gov/pmc/blobs/8ff3/9526138/b26f49344d4d/gr1.jpg

文献AI研究员

20分钟写一篇综述,助力文献阅读效率提升50倍。

立即体验

用中文搜PubMed

大模型驱动的PubMed中文搜索引擎

马上搜索

文档翻译

学术文献翻译模型,支持多种主流文档格式。

立即体验