Suppr超能文献

JAM-A通过作为ceRNA发挥作用以保护真皮乳头细胞中的VCAN表达,从而促进斑秃中的毛囊再生。

JAM-A facilitates hair follicle regeneration in alopecia areata through functioning as ceRNA to protect VCAN expression in dermal papilla cells.

作者信息

Wu Minjuan, Xu Chen, Jiang Junfeng, Xu Sha, Xiong Jun, Fan Xiaoming, Ji Kaihong, Zhao Yunpeng, Ni Haitao, Wang Yue, Liu Houqi, Xia Zhaofan

机构信息

Department of Histology and Embryology, Naval Medical University, Shanghai 200433, China.

Burns Institute of People's Liberation Army, Changhai Hospital, Naval Medical University, Shanghai 200433, China.

出版信息

Precis Clin Med. 2022 Aug 17;5(3):pbac020. doi: 10.1093/pcmedi/pbac020. eCollection 2022 Sep.

Abstract

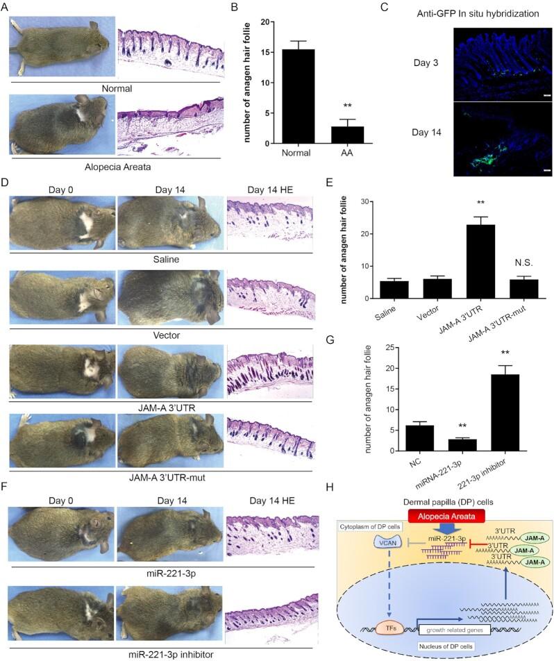
The dermal papilla cells in hair follicles function as critical regulators of hair growth. In particular, alopecia areata (AA) is closely related to the malfunctioning of the human dermal papilla cells (hDPCs). Thus, identifying the regulatory mechanism of hDPCs is important in inducing hair follicle (HF) regeneration in AA patients. Recently, growing evidence has indicated that 3' untranslated regions (3' UTR) of key genes may participate in the regulatory circuitry underlying cell differentiation and diseases through a so-called competing endogenous mechanism, but none have been reported in HF regeneration. Here, we demonstrate that the 3' UTR of junctional adhesion molecule A (JAM-A) could act as an essential competing endogenous RNA to maintain hDPCs function and promote HF regeneration in AA. We showed that the 3' UTR of JAM-A shares many microRNA (miRNA) response elements, especially miR-221-3p, with versican (VCAN) mRNA, and JAM-A 3' UTR could directly modulate the miRNA-mediated suppression of VCAN in self-renewing hDPCs. Furthermore, upregulated VCAN can in turn promote the expression level of JAM-A. Overall, we propose that JAM-A 3' UTR forms a feedback loop with VCAN and miR-221-3p to regulate hDPC maintenance, proliferation, and differentiation, which may lead to developing new therapies for hair loss.

摘要

毛囊中的真皮乳头细胞作为毛发生长的关键调节因子发挥作用。特别是,斑秃(AA)与人类真皮乳头细胞(hDPCs)的功能失调密切相关。因此,确定hDPCs的调节机制对于诱导AA患者的毛囊(HF)再生很重要。最近,越来越多的证据表明,关键基因的3'非翻译区(3'UTR)可能通过一种所谓的竞争性内源机制参与细胞分化和疾病的调节回路,但在HF再生方面尚未有相关报道。在此,我们证明连接黏附分子A(JAM-A)的3'UTR可以作为一种重要的竞争性内源RNA,以维持hDPCs的功能并促进AA中的HF再生。我们发现JAM-A的3'UTR与多功能蛋白聚糖(VCAN)mRNA共享许多微小RNA(miRNA)反应元件,尤其是miR-221-3p,并且JAM-A 3'UTR可以直接调节miRNA介导的对自我更新的hDPCs中VCAN的抑制作用。此外,上调的VCAN反过来可以促进JAM-A的表达水平。总体而言,我们提出JAM-A 3'UTR与VCAN和miR-221-3p形成一个反馈环,以调节hDPCs的维持、增殖和分化,这可能会带来脱发的新疗法。

https://cdn.ncbi.nlm.nih.gov/pmc/blobs/1189/9486988/7acabbc37f5d/pbac020fig1.jpg

文献AI研究员

20分钟写一篇综述,助力文献阅读效率提升50倍。

立即体验

用中文搜PubMed

大模型驱动的PubMed中文搜索引擎

马上搜索

文档翻译

学术文献翻译模型,支持多种主流文档格式。

立即体验