Suppr超能文献

一种用于培米替尼治疗胆管癌患者的新的有前景的致癌靶点(p.C382R)。

A new promising oncogenic target (p.C382R) for treatment with pemigatinib in patients with cholangiocarcinoma.

作者信息

Hempel Louisa, Lapa Constantin, Dierks Alexander, Gaumann Andreas, Scheiber Josef, Veloso de Oliveira Julia, Philipp Patrick, Oyarzun Laura Cristina, Wesarg Stefan, Robert Sebastian, Hempel Dirk

机构信息

Medical School, Sigmund Freud University, Freudplatz 3, Vienna 1020, Austria.

University Hospital Augsburg, Department of Nuclear Medicine, Augsburg, Germany.

出版信息

Ther Adv Med Oncol. 2022 Sep 26;14:17588359221125096. doi: 10.1177/17588359221125096. eCollection 2022.

Abstract

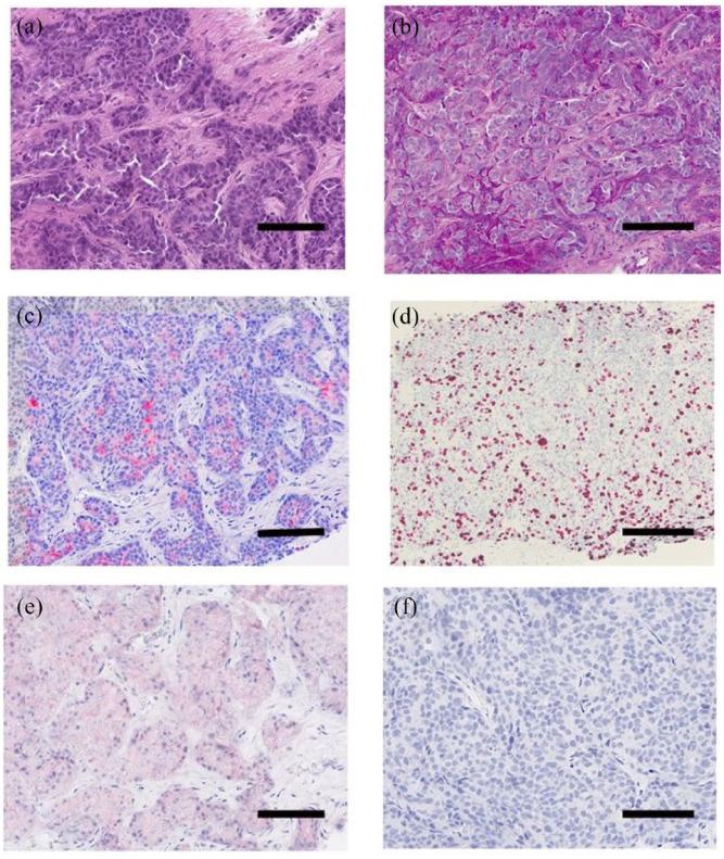
Point mutations of the fibroblast growth factor receptor (FGFR)2 receptor in intrahepatic cholangiocarcinoma (iCC) are mainly of unknown functional significance compared to FGFR2 fusions. Pemigatinib, a tyrosine kinase inhibitor, is approved for the treatment of cholangiocarcinoma with FGFR2 fusion/rearrangement. Although it is hypothesized that FGFR2 mutations may cause uncontrolled activation of the signaling pathway, the data for targeted therapies for FGFR2 mutations remain unclear. analyses demonstrated the importance of the p.C382R mutation for ligand-independent constitutive activation of FGFR2 with transforming potential. The following report describes the clinical case of a patient diagnosed with an iCC carrying a FGFR2 p.C382R point mutation which was detected in liquid, as well as in tissue-based biopsies. The patient was treated with pemigatinib, resulting in a sustained complete functional remission in fluorodeoxyglucose-positron emission tomography/computed tomography over 10 months to date. The reported case is the first description of a complete functional remission under the treatment with pemigatinib in a patient with p.C383R mutation.

摘要

与FGFR2融合相比,肝内胆管癌(iCC)中纤维母细胞生长因子受体(FGFR)2受体的点突变,其功能意义大多未知。培米替尼是一种酪氨酸激酶抑制剂,被批准用于治疗具有FGFR2融合/重排的胆管癌。尽管据推测FGFR2突变可能导致信号通路的失控激活,但针对FGFR2突变的靶向治疗数据仍不明确。分析表明,p.C382R突变对于具有转化潜能的FGFR2的非配体依赖性组成性激活具有重要意义。以下报告描述了一名被诊断患有携带FGFR2 p.C382R点突变的iCC患者的临床病例,该突变在液体活检以及组织活检中均被检测到。该患者接受了培米替尼治疗,截至目前,在超过10个月的氟脱氧葡萄糖 - 正电子发射断层扫描/计算机断层扫描检查中实现了持续完全功能缓解。该报告病例是首例关于携带p.C383R突变的患者在培米替尼治疗下实现完全功能缓解的描述。

https://cdn.ncbi.nlm.nih.gov/pmc/blobs/7397/9520138/1a76c5e78b7b/10.1177_17588359221125096-fig1.jpg

文献AI研究员

20分钟写一篇综述,助力文献阅读效率提升50倍。

立即体验

用中文搜PubMed

大模型驱动的PubMed中文搜索引擎

马上搜索

文档翻译

学术文献翻译模型,支持多种主流文档格式。

立即体验