Suppr超能文献

雌二醇和锌掺杂纳米羟基磷灰石作为预防骨质疏松症的治疗剂;去卵巢大鼠的氧化应激状态、炎症、骨转换、骨矿物质密度及组织学改变

Estradiol and zinc-doped nano hydroxyapatite as therapeutic agents in the prevention of osteoporosis; oxidative stress status, inflammation, bone turnover, bone mineral density, and histological alterations in ovariectomized rats.

作者信息

Elghareeb Mona M, Elshopakey Gehad E, Elkhooly Tarek A, Salama Basma, Samy Alaa, Bazer Fuller W, Elmetwally Mohammed A, Almutairi Mikhlid H, Aleya Lotfi, Abdel-Daim Mohamed M, Rezk Shaymaa

机构信息

Department of Physiology, Faculty of Veterinary Medicine, Mansoura University, Mansoura, Egypt.

Department of Clinical Pathology, Faculty of Veterinary Medicine, Mansoura University, Mansoura, Egypt.

出版信息

Front Physiol. 2022 Sep 19;13:989487. doi: 10.3389/fphys.2022.989487. eCollection 2022.

Abstract

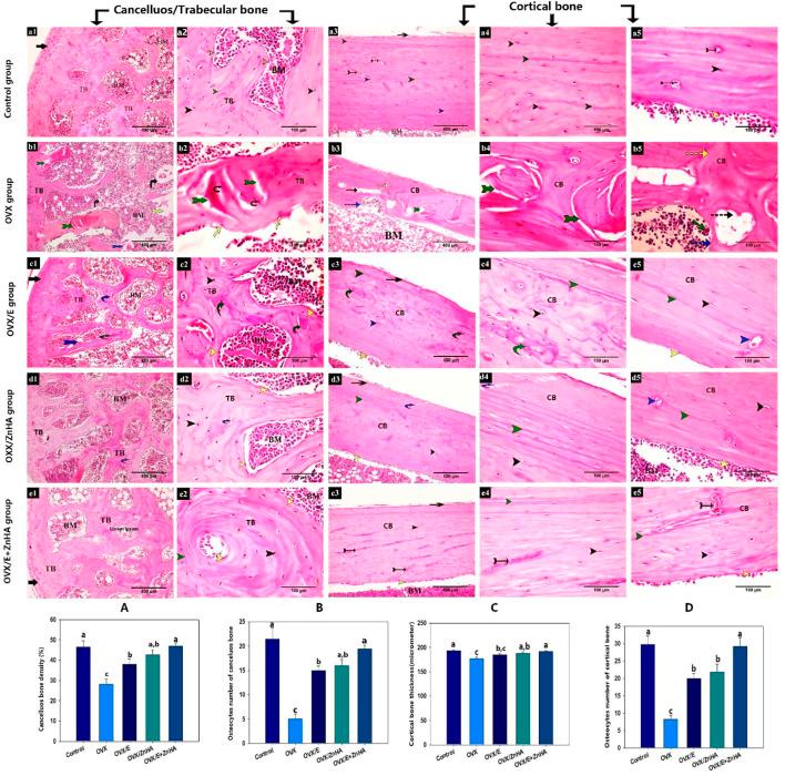
Osteoporosis (OP) is a serious health problem, and the most popular therapeutic strategy for OP is hormone replacement (estrogen); however, it increases the risk of reproductive cancers. Hydroxyapatite (HA) nanoparticles have a similar chemical structure to the bone mineral component and can be used as a new remedy for OP. This study was designed to investigate the osteoporosis-protective potential of nano zinc hydroxyapatite (ZnHA-NPs) and/or estradiol (E2) combined therapy. A total of 35 adult female rats were assigned into five groups ( = 7): 1) control group; 2) ovariectomized group (OVX); 3) OVX received oral estradiol replacement therapy (OVX/E2); 4) OVX received ZnHA replacement therapy (OVX/ZnHA); and 5) OVX received both estradiol and ZnHA-NPs combined therapy (OVX/E2+ZnHA). After 3 months of treatment, serum bone markers and estrogen level, oxidative/antioxidant, and inflammatory cytokines were determined. Additionally, femoral expression of estrogen receptors alpha and beta (ESR1; ESR2), receptor activator of nuclear factor-kappa B (RANKL) ligand, osteoprotegerin (OPG), bone mineral density (BMD), histological alterations, and immunohistochemical expression of vascular endothelial growth factor (VEGF) and proliferating cell nuclear antigen (PCNA) were assessed. ALP, PINP, Ca, and P concentrations improved significantly ( < 0.05) in all treatment groups, especially in the OVX/E + ZnHA group. MDA and NO were higher in OVX rats, while SOD activity and GSH were lower ( < 0.05). E2 alone or with ZnHA-NPs restored the estimated antioxidant molecules and cytokines toward normal levels in OVX rats ( < 0.05). On the other hand, E2 and ZnHA increased OPG and OC expression in femurs while decreasing ESR1, ESR2, and NF-kB expression ( < 0.05). The combination treatment was superior in the restoration of normal femoral histoarchitecture and both cortical and trabecular BMD ( < 0.05). Overall, the combined therapy of OVX/E2+ZnHA was more effective than the individual treatments in attenuating excessive bone turnover and preventing osteoporosis.

摘要

骨质疏松症(OP)是一个严重的健康问题,治疗OP最常用的策略是激素替代疗法(雌激素);然而,这会增加生殖系统癌症的风险。羟基磷灰石(HA)纳米颗粒的化学结构与骨矿物质成分相似,可作为治疗OP的一种新方法。本研究旨在探讨纳米羟基磷灰石锌(ZnHA-NPs)和/或雌二醇(E2)联合治疗对骨质疏松症的保护潜力。总共35只成年雌性大鼠被分为五组(每组n = 7):1)对照组;2)卵巢切除组(OVX);3)OVX接受口服雌二醇替代疗法(OVX/E2);4)OVX接受ZnHA替代疗法(OVX/ZnHA);5)OVX接受雌二醇和ZnHA-NPs联合治疗(OVX/E2+ZnHA)。治疗3个月后,测定血清骨标志物、雌激素水平、氧化/抗氧化指标以及炎性细胞因子。此外,评估股骨中雌激素受体α和β(ESR1;ESR2)、核因子κB受体激活剂配体(RANKL)、骨保护素(OPG)的表达、骨矿物质密度(BMD)、组织学改变以及血管内皮生长因子(VEGF)和增殖细胞核抗原(PCNA)的免疫组化表达。所有治疗组的碱性磷酸酶(ALP)、I型前胶原氨基端前肽(PINP)、钙(Ca)和磷(P)浓度均显著改善(P < 0.05),尤其是在OVX/E2+ZnHA组。OVX大鼠的丙二醛(MDA)和一氧化氮(NO)水平较高,而超氧化物歧化酶(SOD)活性和谷胱甘肽(GSH)水平较低(P < 0.05)。单独使用E2或与ZnHA-NPs联合使用可使OVX大鼠体内估计的抗氧化分子和细胞因子恢复至正常水平(P < 0.05)。另一方面,E2和ZnHA可增加股骨中OPG和骨钙素(OC)的表达,同时降低ESR1、ESR2和核因子κB(NF-κB)的表达(P < 0.05)。联合治疗在恢复正常股骨组织结构以及皮质骨和小梁骨BMD方面更具优势(P < 0.05)。总体而言,OVX/E2+ZnHA联合治疗在减轻过度的骨转换和预防骨质疏松方面比单一治疗更有效。

https://cdn.ncbi.nlm.nih.gov/pmc/blobs/66a2/9527315/c1bfb478ed55/fphys-13-989487-g001.jpg

文献AI研究员

20分钟写一篇综述,助力文献阅读效率提升50倍。

立即体验

用中文搜PubMed

大模型驱动的PubMed中文搜索引擎

马上搜索

文档翻译

学术文献翻译模型,支持多种主流文档格式。

立即体验