Suppr超能文献

肠-睾丸轴:微生物组使代谢组学年轻化,改善 2 型糖尿病患者的精子质量。

Gut-Testis Axis: Microbiota Prime Metabolome To Increase Sperm Quality in Young Type 2 Diabetes.

机构信息

State Key Laboratory of Animal Nutrition, Institute of Animal Sciences, Chinese Academy of Agricultural Sciencesgrid.410727.7, Beijing, People's Republic of China.

College of Life Sciences, Qingdao Agricultural University, Qingdao, People's Republic of China.

出版信息

Microbiol Spectr. 2022 Oct 26;10(5):e0142322. doi: 10.1128/spectrum.01423-22. Epub 2022 Oct 10.

Abstract

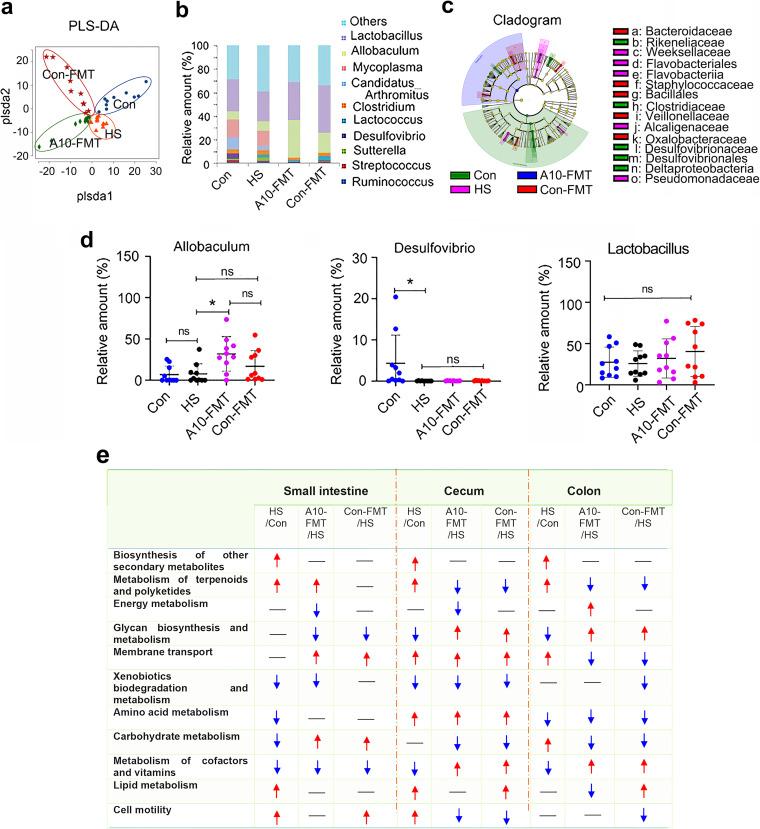
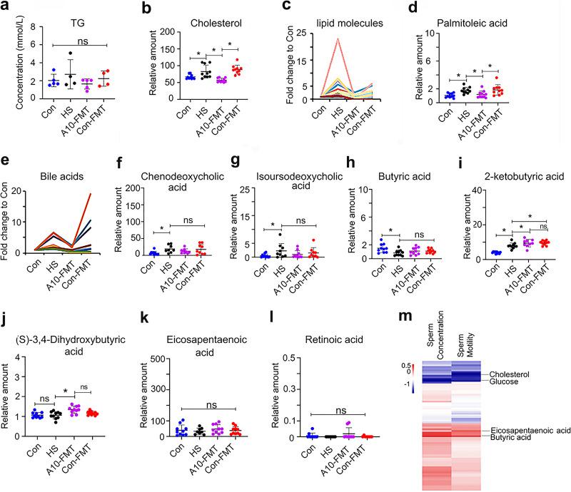
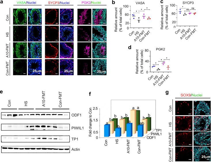
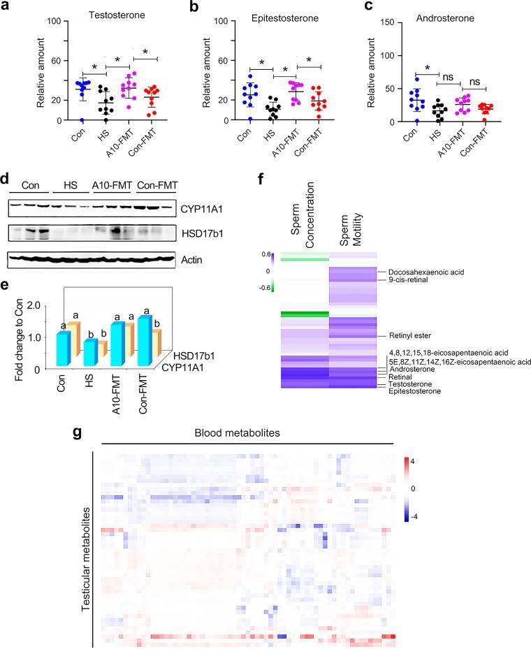
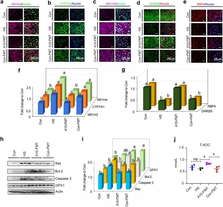
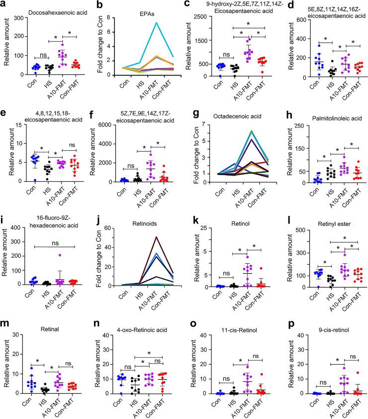
Young type 2 diabetes (T2D) affects 15% of the population, with a noted increase in cases, and T2D-related male infertility has become a serious issue in recent years. The current study aimed to explore the improvements of alginate oligosaccharide (AOS)-modified gut microbiota on semen quality in T2D. The T2D was established in young mice of 5 weeks of age with a blood glucose level of 21.2 ± 2.2 mmol/L, while blood glucose was 8.7 ± 1.1 mM in control animals. We discovered that fecal microbiota transplantation (FMT) of AOS-improved microbiota (A10-FMT) significantly decreased blood glucose, while FMT of gut microbiota from control animals (Con-FMT) did not. Sperm concentration and motility were decreased in T2D to 10% to 20% of those in the control group, while A10-FMT brought about a recovery of around 5- to 10-fold. A10-FMT significantly increased small intestinal , while it elevated small intestinal and cecal in some extent, blood butyric acid and derivatives and eicosapentaenoic acid (EPA), and testicular docosahexaenoic acid (DHA), EPA, and testosterone and its derivatives. Furthermore, A10-FMT improved liver functions and systemic antioxidant environments. Most importantly, A10-FMT promoted spermatogenesis through the improvement in the expression of proteins important for spermatogenesis to increase sperm concentration and motility. The underlying mechanisms may be that A10-FMT increased gut-beneficial microbes and to elevate blood and/or testicular butyric acid, DHA, EPA, and testosterone to promote spermatogenesis and thus to ameliorate sperm concentration and motility. AOS-improved gut microbes could emerge as attractive candidates to treat T2D-diminished semen quality. A10-FMT benefits gut microbiota, liver function, and systemic environment via improvement in blood metabolome, consequently to favor the testicular microenvironment to improve spermatogenesis process and to boost T2D-diminished semen quality. We established that AOS-improved gut microbiota may be used to boost T2D-decreased semen quality and metabolic disease-related male subfertility.

摘要

年轻的 2 型糖尿病(T2D)影响了 15%的人群,且病例数量显著增加,近年来,T2D 相关的男性不育已成为一个严重的问题。本研究旨在探讨海藻酸钠寡糖(AOS)修饰的肠道微生物群对 T2D 精液质量的改善作用。在 5 周龄的年轻小鼠中建立 T2D,血糖水平为 21.2±2.2mmol/L,而对照组动物的血糖为 8.7±1.1mM。我们发现,AOS 改善的菌群(A10-FMT)的粪便微生物群移植(FMT)显著降低了血糖,而来自对照组动物的肠道菌群的 FMT(Con-FMT)则没有。T2D 中精子浓度和活力下降到对照组的 10%至 20%,而 A10-FMT 则恢复了约 5 至 10 倍。A10-FMT 显著增加了小肠,但在某种程度上也增加了小肠和盲肠,血液丁酸和衍生物以及二十碳五烯酸(EPA),以及睾丸二十二碳六烯酸(DHA)、EPA 和睾酮及其衍生物。此外,A10-FMT 改善了肝功能和全身抗氧化环境。最重要的是,A10-FMT 通过改善与精子发生有关的重要蛋白质的表达来促进精子发生,从而增加精子浓度和活力。其潜在机制可能是 A10-FMT 增加了肠道有益微生物和,以提高血液和/或睾丸丁酸、DHA、EPA 和睾酮,从而促进精子发生,进而改善精子浓度和活力。AOS 改善的肠道微生物群可能成为治疗 T2D 降低精液质量的有吸引力的候选物。A10-FMT 通过改善血液代谢组来改善肠道微生物群、肝功能和全身环境,从而有利于睾丸微环境,改善精子发生过程,提高 T2D 降低的精液质量。我们建立了 AOS 改善的肠道微生物群可能用于提高 T2D 降低的精液质量和代谢性疾病相关的男性不育。

https://cdn.ncbi.nlm.nih.gov/pmc/blobs/afa4/9603910/24f577a0b7ad/spectrum.01423-22-f001.jpg

文献AI研究员

20分钟写一篇综述,助力文献阅读效率提升50倍。

立即体验

用中文搜PubMed

大模型驱动的PubMed中文搜索引擎

马上搜索

文档翻译

学术文献翻译模型,支持多种主流文档格式。

立即体验