Suppr超能文献

无细胞滤液 (CFF) 作为可传播病理性组织记忆代码的载体:一种假设性和叙事性综述。

Cell-Free Filtrates (CFF) as Vectors of a Transmissible Pathologic Tissue Memory Code: A Hypothetical and Narrative Review.

机构信息

Tissue Repair, Wound Healing and Cytoprotection Research Group, Biomedical Research Direction, Center for Genetic Engineering and Biotechnology, Ave. 31 S/N. e/ 158 and 190, Cubanacán, Playa, Havana 10600, Cuba.

出版信息

Int J Mol Sci. 2022 Sep 30;23(19):11575. doi: 10.3390/ijms231911575.

Abstract

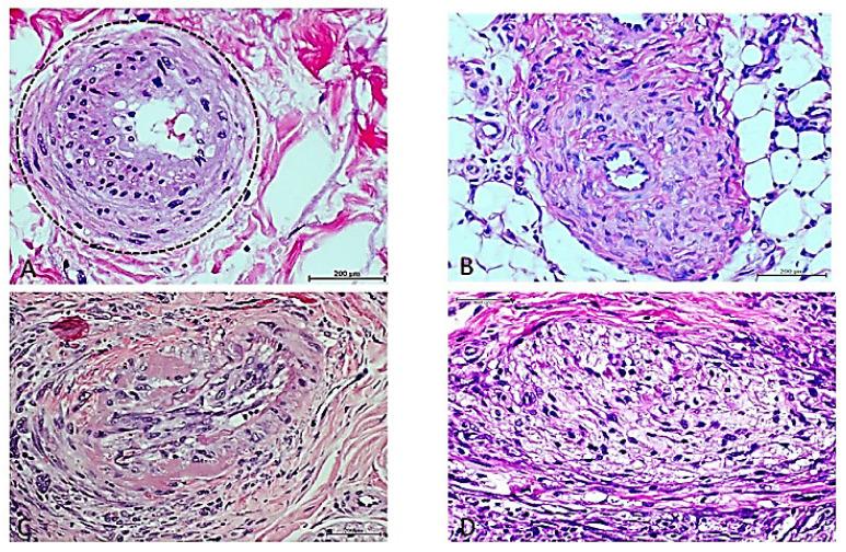
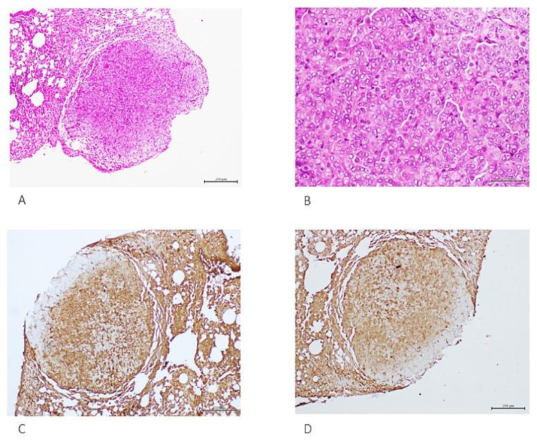
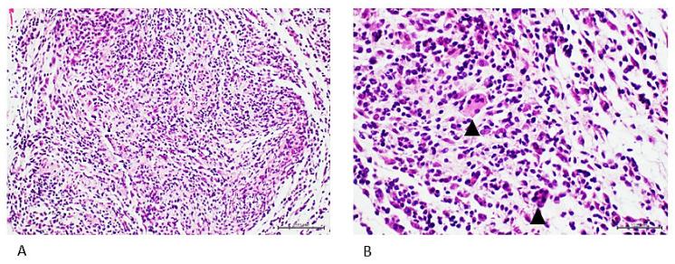
Cellular memory is a controversial concept representing the ability of cells to "write and memorize" stressful experiences via epigenetic operators. The progressive course of chronic, non-communicable diseases such as type 2 diabetes mellitus, cancer, and arteriosclerosis, is likely driven through an abnormal epigenetic reprogramming, fostering the hypothesis of a cellular pathologic memory. Accordingly, cultured diabetic and cancer patient-derived cells recall behavioral traits as when in the donor's organism irrespective to culture time and conditions. Here, we analyze the data of studies conducted by our group and led by a cascade of hypothesis, in which we aimed to validate the hypothetical existence and transmissibility of a cellular pathologic memory in diabetes, arteriosclerotic peripheral arterial disease, and cancer. These experiments were based on the administration to otherwise healthy animals of cell-free filtrates prepared from human pathologic tissue samples representative of each disease condition. The administration of each pathologic tissue homogenate consistently induced the faithful recapitulation of: (1) Diabetic archetypical changes in cutaneous arterioles and nerves. (2) Non-thrombotic arteriosclerotic thickening, collagenous arterial encroachment, aberrant angiogenesis, and vascular remodeling. (3) Pre-malignant and malignant epithelial and mesenchymal tumors in different organs; all evocative of the donor's tissue histopathology and with no barriers for interspecies transmission. We hypothesize that homogenates contain pathologic tissue memory codes represented in soluble drivers that "infiltrate" host's animal cells, and ultimately impose their phenotypic signatures. The identification and validation of the actors in behind may pave the way for future therapies.

摘要

细胞记忆是一个有争议的概念,代表细胞通过表观遗传操作“书写和记忆”应激体验的能力。2 型糖尿病、癌症和动脉粥样硬化等慢性非传染性疾病的进行性过程可能是通过异常的表观遗传重编程驱动的,这促进了细胞病理记忆的假说。因此,培养的糖尿病和癌症患者来源的细胞会回忆起与供体组织中相同的行为特征,而不管培养时间和条件如何。在这里,我们分析了我们小组和一系列假设牵头的研究数据,旨在验证糖尿病、动脉粥样硬化性外周动脉疾病和癌症中细胞病理记忆的假设存在和可传递性。这些实验基于向其他健康动物施用来自每种疾病状况的人病理性组织样本的无细胞滤液。每种病理性组织匀浆的给药均一致地诱导了以下忠实再现:(1)皮肤小动脉和神经的糖尿病典型变化。(2)非血栓性动脉粥样硬化性增厚、胶原性动脉侵犯、异常血管生成和血管重塑。(3)不同器官的前恶性和恶性上皮和间充质肿瘤;所有这些都唤起了供体的组织病理学特征,并且没有种间传播的障碍。我们假设匀浆中包含以可溶驱动因子表示的病理组织记忆代码,这些驱动因子“渗透”宿主动物细胞,并最终施加其表型特征。对背后演员的识别和验证可能为未来的治疗铺平道路。

https://cdn.ncbi.nlm.nih.gov/pmc/blobs/496c/9570059/18289932b352/ijms-23-11575-g001.jpg

文献AI研究员

20分钟写一篇综述,助力文献阅读效率提升50倍。

立即体验

用中文搜PubMed

大模型驱动的PubMed中文搜索引擎

马上搜索

文档翻译

学术文献翻译模型,支持多种主流文档格式。

立即体验