Suppr超能文献

外泌体介导的长链非编码 RNA IGFL2-AS1 的转移赋予了肾细胞癌对舒尼替尼的耐药性。

Extracellular Vesicle-Mediated Transfer of LncRNA IGFL2-AS1 Confers Sunitinib Resistance in Renal Cell Carcinoma.

机构信息

Department of Urology, First Affiliated Hospital, Sun Yat-sen University, Guangzhou, China.

Department of Food Science and Engineering, Jinan University, Guangzhou, China.

出版信息

Cancer Res. 2023 Jan 4;83(1):103-116. doi: 10.1158/0008-5472.CAN-21-3432.

Abstract

UNLABELLED

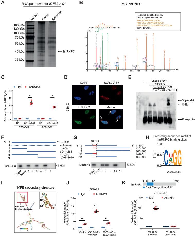
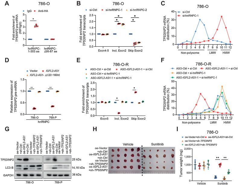
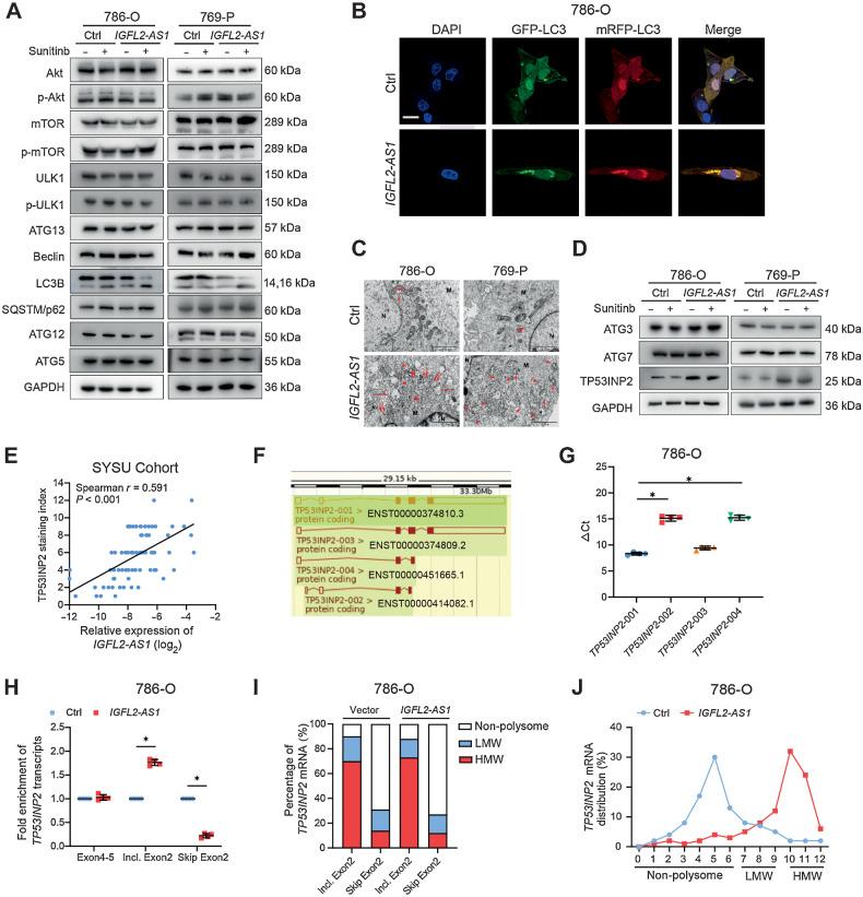
Sunitinib resistance remains a serious challenge to the treatment of advanced and metastatic renal cell carcinoma (RCC), yet the mechanisms underlying this resistance are not fully understood. Here, we report that the long noncoding RNA IGFL2-AS1 is a driver of therapy resistance in RCC. IGFL2-AS1 was highly upregulated in sunitinib-resistant RCC cells and was associated with poor prognosis in patients with clear cell RCC (ccRCC) who received sunitinib therapy. IGFL2-AS1 enhanced TP53INP2 expression by competitively binding to hnRNPC, a multifunctional RNA-binding protein that posttranscriptionally suppresses TP53INP2 expression through alternative splicing. Upregulated TP53INP2 enhanced autophagy and ultimately led to sunitinib resistance. Meanwhile, IGFL2-AS1 was packaged into extracellular vesicles through hnRNPC, thus transmitting sunitinib resistance to other cells. N6-methyladenosine modification of IGFL2-AS1 was critical for its interaction with hnRNPC. In a patient-derived xenograft model of sunitinib-resistant ccRCC, injection of chitosan-solid lipid nanoparticles containing antisense oligonucleotide-IGFL2-AS1 successfully reversed sunitinib resistance. These findings indicate a novel molecular mechanism of sunitinib resistance in RCC and suggest that IGFL2-AS1 may serve as a prognostic indicator and potential therapeutic target to overcome resistance.

SIGNIFICANCE

Extracellular vesicle-packaged IGFL2-AS1 promotes sunitinib resistance by regulating TP53INP2-triggered autophagy, implicating this lncRNA as a potential therapeutic target in renal cell carcinoma.

摘要

未加标签

舒尼替尼耐药仍是晚期和转移性肾细胞癌(RCC)治疗的严重挑战,但这种耐药的机制尚不完全清楚。在这里,我们报告长链非编码 RNA IGFL2-AS1 是 RCC 治疗耐药的驱动因素。IGFL2-AS1 在舒尼替尼耐药的 RCC 细胞中高度上调,并与接受舒尼替尼治疗的透明细胞 RCC(ccRCC)患者的预后不良相关。IGFL2-AS1 通过与 hnRNPC 竞争结合来增强 TP53INP2 的表达,hnRNPC 是一种多功能 RNA 结合蛋白,通过选择性剪接来抑制 TP53INP2 的表达。上调的 TP53INP2 增强自噬,最终导致舒尼替尼耐药。同时,IGFL2-AS1 通过 hnRNPC 被包装到细胞外囊泡中,从而将舒尼替尼耐药传递给其他细胞。IGFL2-AS1 的 N6-甲基腺苷修饰对于其与 hnRNPC 的相互作用至关重要。在舒尼替尼耐药的 ccRCC 患者来源的异种移植模型中,注射含有反义寡核苷酸-IGFL2-AS1 的壳聚糖固体脂质纳米粒成功逆转了舒尼替尼耐药。这些发现表明了 RCC 中舒尼替尼耐药的一种新的分子机制,并表明 IGFL2-AS1 可能作为一种预后指标和潜在的治疗靶点来克服耐药性。

意义

细胞外囊泡包装的 IGFL2-AS1 通过调节 TP53INP2 触发的自噬来促进舒尼替尼耐药,这表明该 lncRNA 可能是肾细胞癌的潜在治疗靶点。

https://cdn.ncbi.nlm.nih.gov/pmc/blobs/f8d2/9811158/b2f3ad7d4f4e/overview_graphic_can-21-3432.jpg

文献AI研究员

20分钟写一篇综述,助力文献阅读效率提升50倍。

立即体验

用中文搜PubMed

大模型驱动的PubMed中文搜索引擎

马上搜索

文档翻译

学术文献翻译模型,支持多种主流文档格式。

立即体验