Department of Rehabilitation Medicine, The Second Affiliated Hospital of Nanchang University, 1 Minde Road, Nanchang City, Jiangxi Province, China.
Department of Gastrointestinal Surgery, The Second Affiliated Hospital of Nanchang University, China.
Oxid Med Cell Longev. 2022 Oct 11;2022:9049571. doi: 10.1155/2022/9049571. eCollection 2022.
The most prevalent primary malignant tumor of CNS is glioma, which has a dismal prognosis. The theory of oxidative stress is one of the important theories in the study of its occurrence and development mechanism. In this study, the impacts of PCBP2 on glioma sufferers and the possible mechanisms were examined.
Patients with glioma were obtained from May 2017 to July 2018. Quantitative PCR, microarray analysis, western blot analysis, and immunofluorescence were used in this experiment.
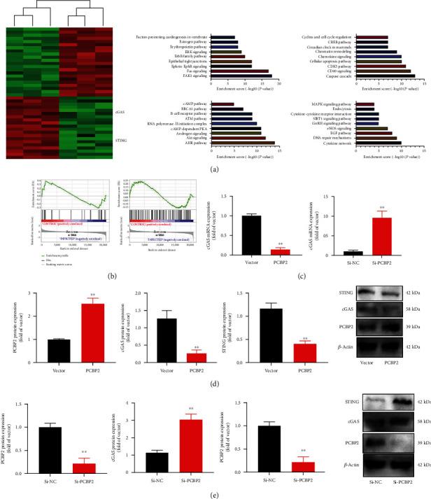
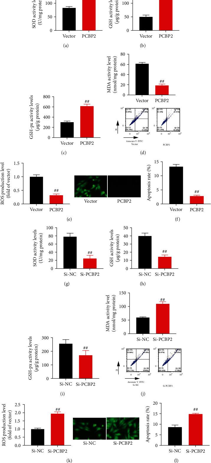
PCBP2 mRNA expression level and protein expression in patients with glioma were upregulated compared with paracancerous tissue. OS and DFS of PCBP2 low expression in patients with glioma were higher than those of PCBP2 high expression. PCBP2 promoted the progression and metastasis of glioma. PCBP2 reduced oxidative stress-induced apoptosis of glioma. PCBP2 suppressed the cGAS/STING pathway of glioma. PCBP2 protein interlinked with cGAS and cGAS was one target for PCBP2. METTL3-mediated m6A modification increases PCBP2 stability.
Along the cGAS-STING signal pathway, PCBP2 decreased the apoptosis that oxidative stress-induced glioma caused, which might be a potential target to suppress oxidative stress-induced apoptosis of glioma.
中枢神经系统最常见的原发性恶性肿瘤是神经胶质瘤,其预后较差。氧化应激理论是研究其发生发展机制的重要理论之一。本研究探讨了 PCBP2 对神经胶质瘤患者的影响及其可能的机制。
本实验收集了 2017 年 5 月至 2018 年 7 月期间的神经胶质瘤患者。采用定量 PCR、基因芯片分析、western blot 分析和免疫荧光等方法。
与癌旁组织相比,神经胶质瘤患者的 PCBP2 mRNA 表达水平和蛋白表达水平均上调。PCBP2 低表达的神经胶质瘤患者的 OS 和 DFS 均高于 PCBP2 高表达的患者。PCBP2 促进神经胶质瘤的进展和转移。PCBP2 降低氧化应激诱导的神经胶质瘤细胞凋亡。PCBP2 抑制神经胶质瘤的 cGAS/STING 通路。PCBP2 蛋白与 cGAS 相互作用,cGAS 是 PCBP2 的一个靶点。METTL3 介导的 m6A 修饰增加了 PCBP2 的稳定性。
通过 cGAS-STING 信号通路,PCBP2 降低了氧化应激诱导神经胶质瘤细胞凋亡,这可能是抑制氧化应激诱导神经胶质瘤细胞凋亡的潜在靶点。