Suppr超能文献

RBCK1 是通过 hippo/YAP 轴抑制三阴性乳腺癌的内源性抑制剂。

RBCK1 is an endogenous inhibitor for triple negative breast cancer via hippo/YAP axis.

机构信息

Xinxiang Key Laboratory of Tumor Migration and Invasion Precision Medicine, School of Laboratory Medicine, Xinxiang Medical University, Xinxiang, 453003, Henan Province, People's Republic of China.

Department of Pathology, Shandong University Qilu Hospital, Cheeloo College of Medicine, Shandong University, Shandong, Shandong Province, People's Republic of China.

出版信息

Cell Commun Signal. 2022 Oct 24;20(1):164. doi: 10.1186/s12964-022-00963-8.

Abstract

BACKGROUND

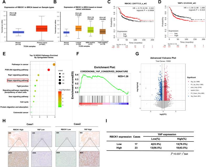
Triple negative breast cancer (TNBC) is one of the most lethal breast cancer subtypes. Due to a lack of effective therapeutic targets, chemotherapy is still the main medical treatment for TNBC patients. Thus, it is important and necessary to find new therapeutic targets for TNBC. Recent genomic studies implicated the Hippo / Yap signal is over activated in TNBC, manifesting it plays a key role in TNBC carcinogenesis and cancer progression. RBCK1 was firstly identified as an important component for linear ubiquitin assembly complex (LUBAC) and facilitates NFKB signaling in immune response. Further studies showed RBCK1 also facilitated luminal type breast cancer growth and endocrine resistance via trans-activation estrogen receptor alpha.

METHODS

RBCK1 and YAP protein expression levels were measured by western blotting, while the mRNA levels of YAP target genes were measured by RT-PCR. RNA sequencing data were analyzed by Ingenuity Pathway Analysis. Identification of Hippo signaling activity was accomplished with luciferase assays, RT-PCR and western blotting. Protein stability assays and ubiquitin assays were used to detect YAP protein degradation. Ubiquitin-based immunoprecipitation assays were used to detect the specific ubiquitination modification on the YAP protein.

RESULTS

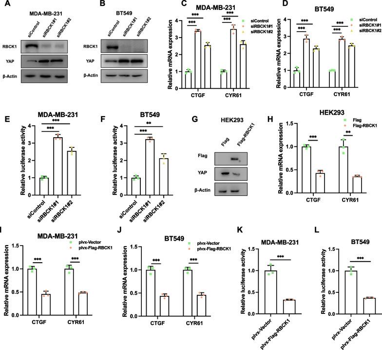
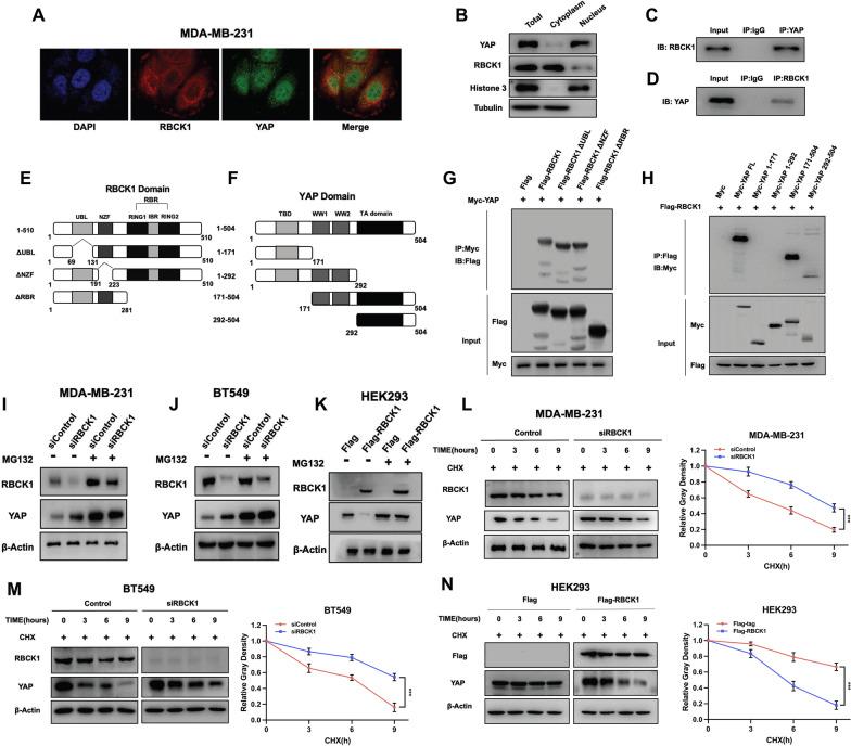
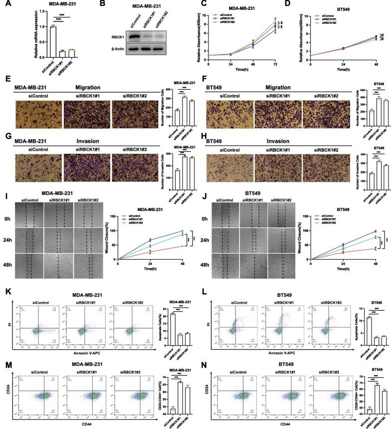
In our current study, our data revealed an opposite function for RBCK1 in TNBC progression. RBCK1 over-expression inhibited TNBC cell progression in vitro and in vivo, while RBCK1 depletion promoted TNBC cell invasion. The whole genomic expression profiling showed that RBCK1 depletion activated Hippo/YAP axis. RBCK1 depletion increased YAP protein level and Hippo target gene expression in TNBC. The molecular biology studies confirmed that RBCK1 could bind to YAP protein and enhance the stability of YAP protein by promoting YAP K48-linked poly-ubiquitination at several YAP lysine sites (K76, K204 and K321).

CONCLUSION

Our study revealed the multi-faced RBCK1 function in different subtypes of breast cancer patients and a promising therapeutic target for TNBC treatment. Video abstract.

摘要

背景

三阴性乳腺癌(TNBC)是最致命的乳腺癌亚型之一。由于缺乏有效的治疗靶点,化疗仍然是 TNBC 患者的主要治疗方法。因此,寻找 TNBC 的新治疗靶点非常重要和必要。最近的基因组研究表明,Hippo/Yap 信号在 TNBC 中过度激活,表明它在 TNBC 的发生和癌症进展中发挥关键作用。RBCK1 最初被鉴定为线性泛素组装复合物(LUBAC)的重要组成部分,在免疫反应中促进 NFKB 信号转导。进一步的研究表明,RBCK1 还通过反式激活雌激素受体α促进腔型乳腺癌的生长和内分泌耐药性。

方法

通过 Western blot 测定 RBCK1 和 YAP 蛋白表达水平,通过 RT-PCR 测定 YAP 靶基因的 mRNA 水平。通过 Ingenuity Pathway Analysis 分析 RNA 测序数据。通过荧光素酶测定、RT-PCR 和 Western blot 测定鉴定 Hippo 信号活性。蛋白稳定性测定和泛素测定用于检测 YAP 蛋白降解。基于泛素的免疫沉淀测定用于检测 YAP 蛋白的特异性泛素化修饰。

结果

在我们目前的研究中,我们的数据揭示了 RBCK1 在 TNBC 进展中的相反作用。RBCK1 过表达抑制 TNBC 细胞的体外和体内进展,而 RBCK1 耗竭促进 TNBC 细胞侵袭。全基因组表达谱分析显示,RBCK1 耗竭激活 Hippo/YAP 轴。RBCK1 耗竭增加了 TNBC 中的 YAP 蛋白水平和 Hippo 靶基因表达。分子生物学研究证实,RBCK1 可以与 YAP 蛋白结合,并通过促进 YAP 赖氨酸位点(K76、K204 和 K321)上的 YAP K48 连接多泛素化来增强 YAP 蛋白的稳定性。

结论

我们的研究揭示了 RBCK1 在不同亚型乳腺癌患者中的多面功能,以及治疗 TNBC 的有前途的治疗靶点。视频摘要。

https://cdn.ncbi.nlm.nih.gov/pmc/blobs/70d2/9590148/5d9b894b173f/12964_2022_963_Fig1_HTML.jpg

文献AI研究员

20分钟写一篇综述,助力文献阅读效率提升50倍。

立即体验

用中文搜PubMed

大模型驱动的PubMed中文搜索引擎

马上搜索

文档翻译

学术文献翻译模型,支持多种主流文档格式。

立即体验