Suppr超能文献

miR-4653-3p 过表达通过下调 HIPK2 与胰腺导管腺癌的不良预后相关。

miR-4653-3p overexpression is associated with a poor prognosis of pancreatic ductal adenocarcinoma via HIPK2 downregulation.

机构信息

Department of Diagnostic Pathology, Faculty of Medicine, University of Toyama, 2630 Sugitani, Toyama, 930-0194, Japan.

Department of Pathology, Tokai University School of Medicine, 143 Shimokasuya, Isehara, Kanagawa, 259-1193, Japan.

出版信息

Sci Rep. 2022 Oct 26;12(1):17927. doi: 10.1038/s41598-022-22950-2.

Abstract

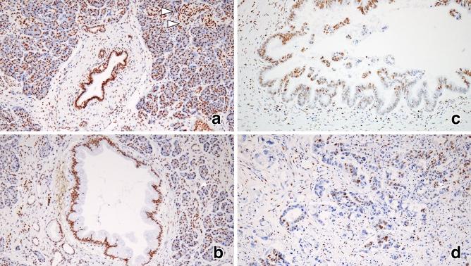
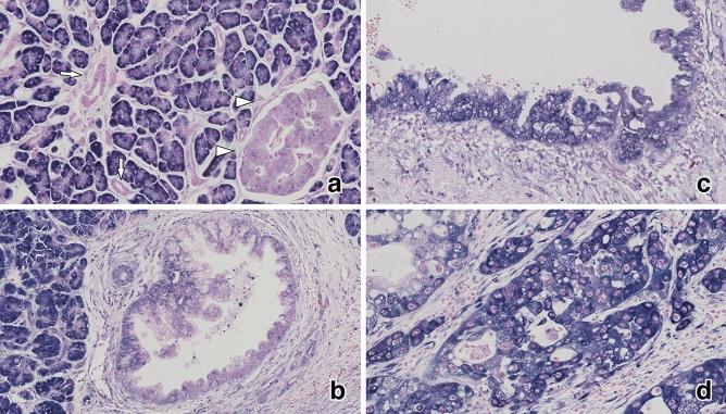
Pancreatic ductal adenocarcinoma (PDAC) is a lethal malignant tumor. Several upregulated and downregulated microRNAs (miRNAs) are associated with invasiveness, tumorigenesis, and prognosis of PDAC. Herein, using in situ hybridization, we evaluated miR-4653-3p expression and pancreatic intraepithelial neoplasia (PanIN) and the association between miR-4653-3p expression and clinicopathological factors in PDAC patients. The miR-4653-3p target was also identified. Ninety PDAC cases, including 30 each with normal pancreatic ducts, low-grade PanINs, and high-grade PanINs, were evaluated. miR-4653-3p expression increased in the order-normal pancreatic duct, low-grade PanIN, high-grade PanIN, and PDAC-with no expression detected in normal pancreatic duct. High expression significantly correlated with advanced pathological T stage, lymph node metastasis, advanced Union for International Cancer Control stage, perineural invasion, venous involvement, and shorter overall and disease-specific survival. Homeodomain Interacting Protein Kinase 2 (HIPK2) was identified as a miR-4653-3p target based on mRNA microarray analysis and database screening. In MIA PaCa-2 cells, miR-4653-3p significantly downregulated HIPK2 expression. HIPK2 expression, unlike that of miR-4653-3p, decreased in the order-normal pancreatic duct, low-grade PanIN, high-grade PanIN, and PDAC. Low HIPK2 expression was associated with shorter overall and disease-specific survival in PDAC patients. Thus, miR-4653-3p associates with tumorigenesis and worse prognosis, partly by reducing HIPK2 expression.

摘要

胰腺导管腺癌 (PDAC) 是一种致命的恶性肿瘤。一些上调和下调的 microRNAs (miRNAs) 与 PDAC 的侵袭性、肿瘤发生和预后相关。在此,我们通过原位杂交评估了 miR-4653-3p 的表达和胰腺上皮内瘤变 (PanIN),以及 miR-4653-3p 在 PDAC 患者中的表达与临床病理因素之间的关系。还鉴定了 miR-4653-3p 的靶标。评估了 90 例 PDAC 病例,每组 30 例分别为正常胰腺导管、低级别 PanIN 和高级别 PanIN。miR-4653-3p 的表达按正常胰腺导管、低级别 PanIN、高级别 PanIN 和 PDAC 的顺序增加-在正常胰腺导管中未检测到表达。高表达与晚期病理 T 分期、淋巴结转移、晚期 UICC 分期、神经周围侵犯、静脉侵犯以及总生存期和疾病特异性生存期较短显著相关。基于 mRNA 微阵列分析和数据库筛选,确定同源结构域相互作用蛋白激酶 2 (HIPK2) 是 miR-4653-3p 的靶标。在 MIA PaCa-2 细胞中,miR-4653-3p 显著下调 HIPK2 的表达。HIPK2 的表达与 miR-4653-3p 不同,其按正常胰腺导管、低级别 PanIN、高级别 PanIN 和 PDAC 的顺序降低。HIPK2 表达降低与 PDAC 患者的总生存期和疾病特异性生存期较短相关。因此,miR-4653-3p 与肿瘤发生和预后不良有关,部分原因是降低了 HIPK2 的表达。

https://cdn.ncbi.nlm.nih.gov/pmc/blobs/d73f/9606280/1579a73d6819/41598_2022_22950_Fig1_HTML.jpg

文献AI研究员

20分钟写一篇综述,助力文献阅读效率提升50倍。

立即体验

用中文搜PubMed

大模型驱动的PubMed中文搜索引擎

马上搜索

文档翻译

学术文献翻译模型,支持多种主流文档格式。

立即体验