Suppr超能文献

羟基酪醇油酸酯对 SH-SY5Y 人神经母细胞瘤细胞的体外抗增殖和凋亡作用。

In Vitro Anti-Proliferative and Apoptotic Effects of Hydroxytyrosyl Oleate on SH-SY5Y Human Neuroblastoma Cells.

机构信息

Department for Innovation in Biological, Agro-Food and Forest Systems (DIBAF), University of Tuscia, Largo dell'Università, 01100 Viterbo, Italy.

Department of Agriculture and Forest Sciences (DAFNE), University of Tuscia, Via San Camillo de Lellis snc, 01100 Viterbo, Italy.

出版信息

Int J Mol Sci. 2022 Oct 15;23(20):12348. doi: 10.3390/ijms232012348.

Abstract

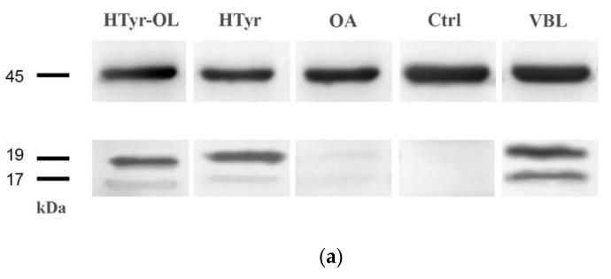
The antitumor activity of polyphenols derived from extra virgin olive oil and, in particular the biological activity of HTyr, has been studied extensively. However, the use of HTyr as a therapeutic agent for clinical applications is limited by its low bioavailability and rapid excretion in humans. To overcome these limitations, several synthetic strategies have been optimized to prepare lipophenols and new compounds derived from HTyr to increase lipophilicity and bioavailability. One very promising ester is hydroxytyrosyl oleate (HTyr-OL) because the chemical structure of HTyr, which is responsible for several biological activities, is linked to the monounsaturated chain of oleic acid (OA), giving the compound high lipophilicity and thus bioavailability in the cellular environment. In this study, the in vitro cytotoxic, anti-proliferative, and apoptotic induction activities of HTyr-OL were evaluated against SH-SY5Y human neuroblastoma cells, and the effects were compared with those of HTyr and OA. The results showed that the biological activity of HTyr was maintained in HTyr-OL treatments at lower dosages. In addition, the shotgun proteomic approach was used to study HTyr-OL-treated and untreated neuroblastoma cells, revealing that the antioxidant, anti-proliferative and anti-inflammatory activities of HTyr-OL were observed in the unique proteins of the two groups of samples.

摘要

从特级初榨橄榄油中提取的多酚具有抗肿瘤活性,特别是 HTyr 的生物学活性,已得到广泛研究。然而,由于其在人体内的生物利用度低和排泄迅速,HTyr 作为治疗剂在临床应用中受到限制。为了克服这些限制,已经优化了几种合成策略来制备 lipophenols 和源自 HTyr 的新化合物,以提高亲脂性和生物利用度。一种非常有前途的酯是羟基酪醇油酸酯(HTyr-OL),因为负责几种生物学活性的 HTyr 的化学结构与油酸(OA)的单不饱和链相连,使化合物在细胞环境中具有高亲脂性和生物利用度。在这项研究中,评估了 HTyr-OL 对 SH-SY5Y 人神经母细胞瘤细胞的体外细胞毒性、抗增殖和诱导凋亡活性,并将其与 HTyr 和 OA 的作用进行了比较。结果表明,在较低剂量的 HTyr-OL 处理中保持了 HTyr 的生物活性。此外,还使用 shotgun 蛋白质组学方法研究了 HTyr-OL 处理和未处理的神经母细胞瘤细胞,结果表明在两组样本的特有蛋白质中观察到 HTyr-OL 的抗氧化、抗增殖和抗炎活性。

https://cdn.ncbi.nlm.nih.gov/pmc/blobs/e9f1/9604296/683b80b08ae5/ijms-23-12348-g001.jpg

文献AI研究员

20分钟写一篇综述,助力文献阅读效率提升50倍。

立即体验

用中文搜PubMed

大模型驱动的PubMed中文搜索引擎

马上搜索

文档翻译

学术文献翻译模型,支持多种主流文档格式。

立即体验