Suppr超能文献

一种(H1N1)pdm09 型 NS1 通过劫持流感病毒负调控因子 LRPPRC 来增强自噬从而促进病毒复制。

A/(H1N1) pdm09 NS1 promotes viral replication by enhancing autophagy through hijacking the IAV negative regulatory factor LRPPRC.

机构信息

State Key Laboratory of Veterinary Biotechnology, Harbin Veterinary Research Institute, The Chinese Academy of Agricultural Sciences, Harbin, P. R. China.

College of Veterinary Medicine, Northeast Agricultural University, Harbin, P. R. China.

出版信息

Autophagy. 2023 May;19(5):1533-1550. doi: 10.1080/15548627.2022.2139922. Epub 2022 Nov 6.

Abstract

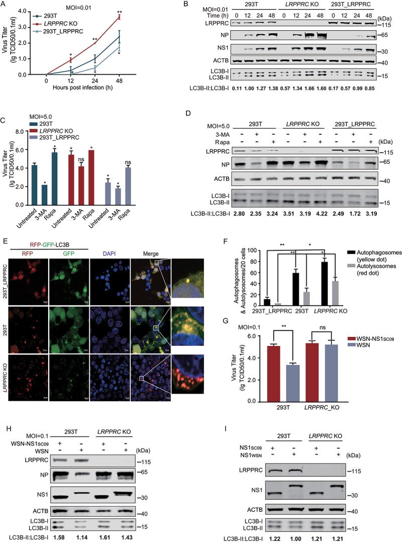
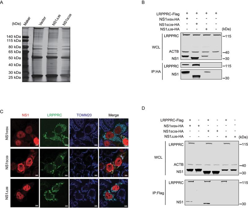
The quadrilateral reassortant IAV A/(H1N1) pdm09 is the pathogen responsible for the first influenza pandemic of the 21st century. The virus spread rapidly among hosts causing high mortality within human population. Efficient accumulation of virions is known to be important for the rapid transmission of virus. However, the mechanism by which A/(H1N1) pdm09 promotes its rapid replication has not been fully studied. Here, we found the NS1 of A/(H1N1) pdm09 mediated complete macroautophagy/autophagy, and then facilitated self-replication, which may be associated with the more rapid spread of this virus compared with H1N1 and H3N8. We found that the promotion of self-replication could be mainly attributed to NS1 strongly antagonizing the inhibitory effect of LRPPRC on autophagy. The interaction between NS1 and LRPPRC competitively blocked the interaction of LRPPRC with BECN1/Beclin1, resulting in increased recruitment of BECN1 for PIK3C3 (phosphatidylinositol 3-kinase catalytic subunit type 3) and induction of the initiation of autophagy. In conclusion, we uncover the unique molecular mechanism by which A/(H1N1) pdm09 utilizes autophagy to promote self-replication, and we provide theoretical basics for the analysis of the etiological characteristics of the A/(H1N1) pdm09 pandemic and the development of anti-influenza drugs and vaccines. 293T: human embryonic kidney 293 cells; 293T_LRPPRC: stable LRPPRC expression 293T cells; 3-MA: 3-methyladenine; A549 cells: human non-small cell lung cancer cells; AA: amino acid; ACTB: actin beta; BECN1: beclin 1; KO: knockout 293T cells; Cal: calyculin A; Co-IP: co-immunoprecipitation; CQ: chloroquine; DC: dendritic cell; Eug: eugenol; GFP: green fluorescent protein; HA: hemagglutinin; HIV: human immunodeficiency virus; IAVs: Influenza A viruses; IFN: interferon; JL89: A/equine/Jilin/1/1989 (H3N8); LAMP2: lysosomal associated membrane protein 2; LRPPRC: leucine rich pentatriicopeptide repeat containing; KO: knockout 293T cells; M2: matrix 2; MAP1LC3B/LC3B: microtubule associated protein 1 light chain 3 beta; MDCK: Madin-Darby canine kidney cells; MOI: multiplicity of infection; MS: mass spectrometry; NP: nucleoprotein; NS1: non-structural protein 1; NS1: non-structural protein 1 of A/equine/Jilin/1/1989 (H3N8); NS1: non-structural protein 1 of A/(H1N1) pdm09; NS1: non-structural protein 1 of A/Sichuan/2009 (H1N1); NS1: non-structural protein 1 of A/WSN/1933 (H1N1); PB1: polymerase basic protein 1; PB1-F2: alternate reading frame discovered in PB1 gene segment; PIK3C3: phosphatidylinositol 3-kinase catalytic subunit type 3; PR8: A/PR/8/34 (H1N1); Rapa: rapamycin; RFP: red fluorescent protein; SC09: A/Sichuan/2009 (H1N1); SQSTM1/p62: sequestosome 1; STK4/MST1: serine/threonine kinase 4; TEM: transmission electron microscopy; TOMM20: translocase of outer mitochondrial membrane 20; WHO: World Health Organization; WSN: A/WSN/1933 (H1N1); WSN-NS1: WSN recombinant strain in which NS1 was replaced with that of JL89; WSN-NS1: WSN recombinant strain in which NS1 was replaced with that of SC09.

摘要

甲型流感病毒(IAV)A/(H1N1)pdm09 是引发 21 世纪首次流感大流行的病原体。该病毒在宿主间迅速传播,导致人类死亡率高。病毒的高效积累被认为对病毒的快速传播很重要。然而,A/(H1N1)pdm09 促进其快速复制的机制尚未完全研究清楚。在这里,我们发现 A/(H1N1)pdm09 的 NS1 介导了完全的巨自噬/自噬,然后促进了自身复制,这可能与该病毒与 H1N1 和 H3N8 相比传播速度更快有关。我们发现,自复制的促进作用主要归因于 NS1 强烈拮抗 LRPPRC 对自噬的抑制作用。NS1 与 LRPPRC 的相互作用竞争性地阻断了 LRPPRC 与 BECN1/Beclin1 的相互作用,导致 BECN1 更多地募集到 PIK3C3(磷脂酰肌醇 3-激酶催化亚单位 3)并诱导自噬的起始。总之,我们揭示了 A/(H1N1)pdm09 利用自噬促进自身复制的独特分子机制,并为分析 A/(H1N1)pdm09 大流行的病因学特征以及抗流感药物和疫苗的发展提供了理论基础。293T:人胚肾 293 细胞;293T_LRPPRC:稳定表达 LRPPRC 的 293T 细胞;3-MA:3-甲基腺嘌呤;A549 细胞:人非小细胞肺癌细胞;AA:氨基酸;ACTB:肌动蛋白β;BECN1:beclin 1;KO:敲除 293T 细胞;Cal:钙调神经磷酸酶 A;Co-IP:免疫共沉淀;CQ:氯喹;DC:树突状细胞;Eug:丁香酚;GFP:绿色荧光蛋白;HA:血凝素;HIV:人类免疫缺陷病毒;IAVs:流感病毒;IFN:干扰素;JL89:A/马/吉林/1/1989(H3N8);LAMP2:溶酶体相关膜蛋白 2;LRPPRC:亮氨酸丰富五肽重复包含;KO:敲除 293T 细胞;M2:基质 2;MAP1LC3B/LC3B:微管相关蛋白 1 轻链 3β;MDCK:Madin-Darby 犬肾细胞;MOI:感染复数;MS:质谱法;NP:核蛋白;NS1:非结构蛋白 1;NS1:A/马/吉林/1/1989(H3N8)的非结构蛋白 1;NS1:A/(H1N1)pdm09 的非结构蛋白 1;NS1:A/Sichuan/2009(H1N1)的非结构蛋白 1;NS1:A/WSN/1933(H1N1)的非结构蛋白 1;PB1:聚合酶碱性蛋白 1;PB1-F2:在 PB1 基因片段中发现的交替阅读框;PIK3C3:磷脂酰肌醇 3-激酶催化亚单位 3;PR8:A/PR/8/34(H1N1);Rapa:雷帕霉素;RFP:红色荧光蛋白;SC09:A/Sichuan/2009(H1N1);SQSTM1/p62:自噬体 1;STK4/MST1:丝氨酸/苏氨酸激酶 4;TEM:透射电子显微镜;TOMM20:外线粒体膜转运酶 20;WHO:世界卫生组织;WSN:A/WSN/1933(H1N1);WSN-NS1:用 JL89 的 NS1 替换 NS1 的 WSN 重组株;WSN-NS1:用 SC09 的 NS1 替换 NS1 的 WSN 重组株。

https://cdn.ncbi.nlm.nih.gov/pmc/blobs/62ee/10240980/be53fc4aac64/KAUP_A_2139922_F0001_OC.jpg

文献AI研究员

20分钟写一篇综述,助力文献阅读效率提升50倍。

立即体验

用中文搜PubMed

大模型驱动的PubMed中文搜索引擎

马上搜索

文档翻译

学术文献翻译模型,支持多种主流文档格式。

立即体验