Suppr超能文献

CDK12 在 BRAF 突变型黑色素瘤中被过度激活并成为合成致死靶点。

CDK12 is hyperactivated and a synthetic-lethal target in BRAF-mutated melanoma.

机构信息

Institute for Research in Immunology and Cancer (IRIC), Université de Montréal, Montreal, 2950, Chemin de la Polytechnique, Montréal, QC, H3T 1J4, Canada.

Department of Bioengineering, University of California, San Diego, San Diego, CA, USA.

出版信息

Nat Commun. 2022 Oct 29;13(1):6457. doi: 10.1038/s41467-022-34179-8.

Abstract

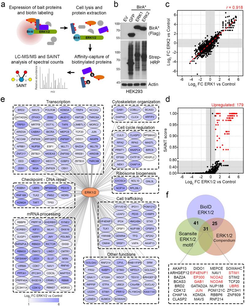
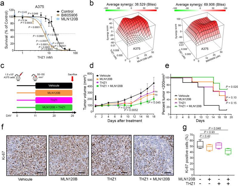
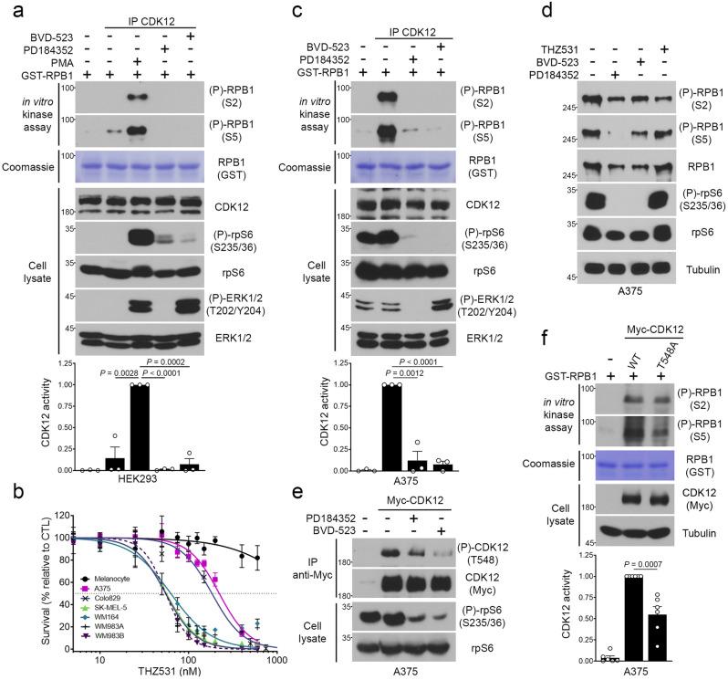
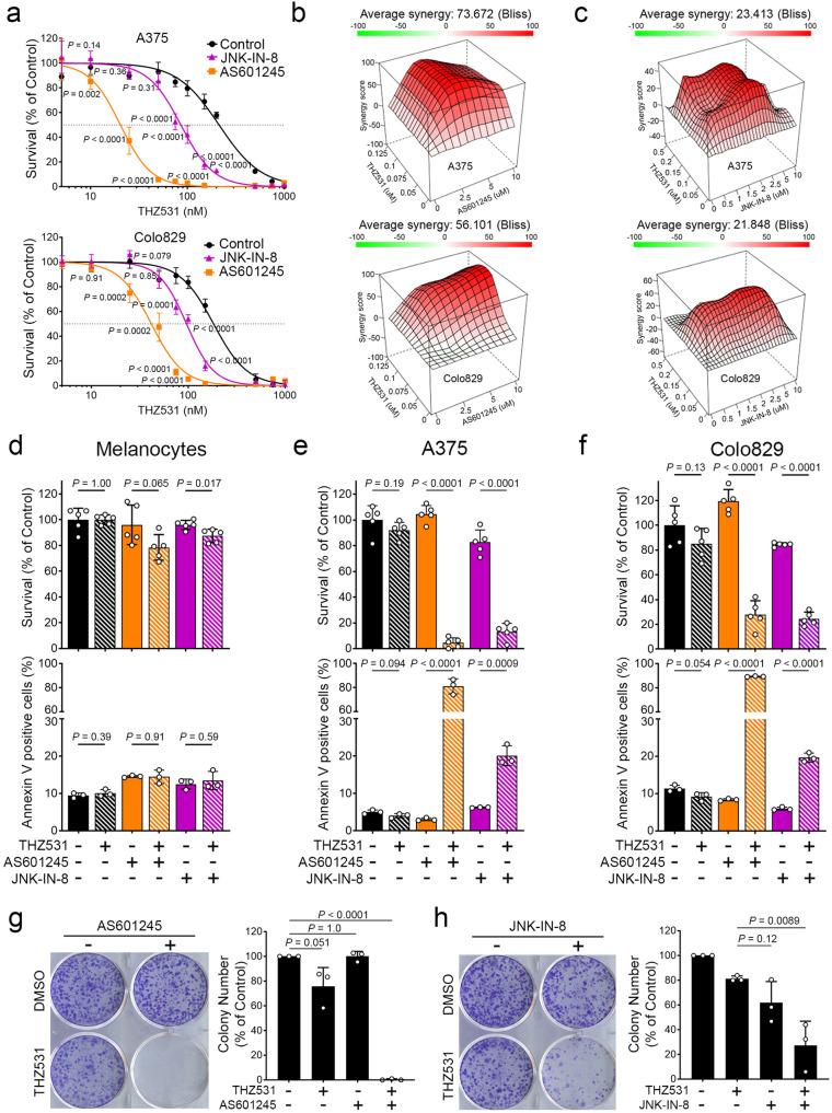
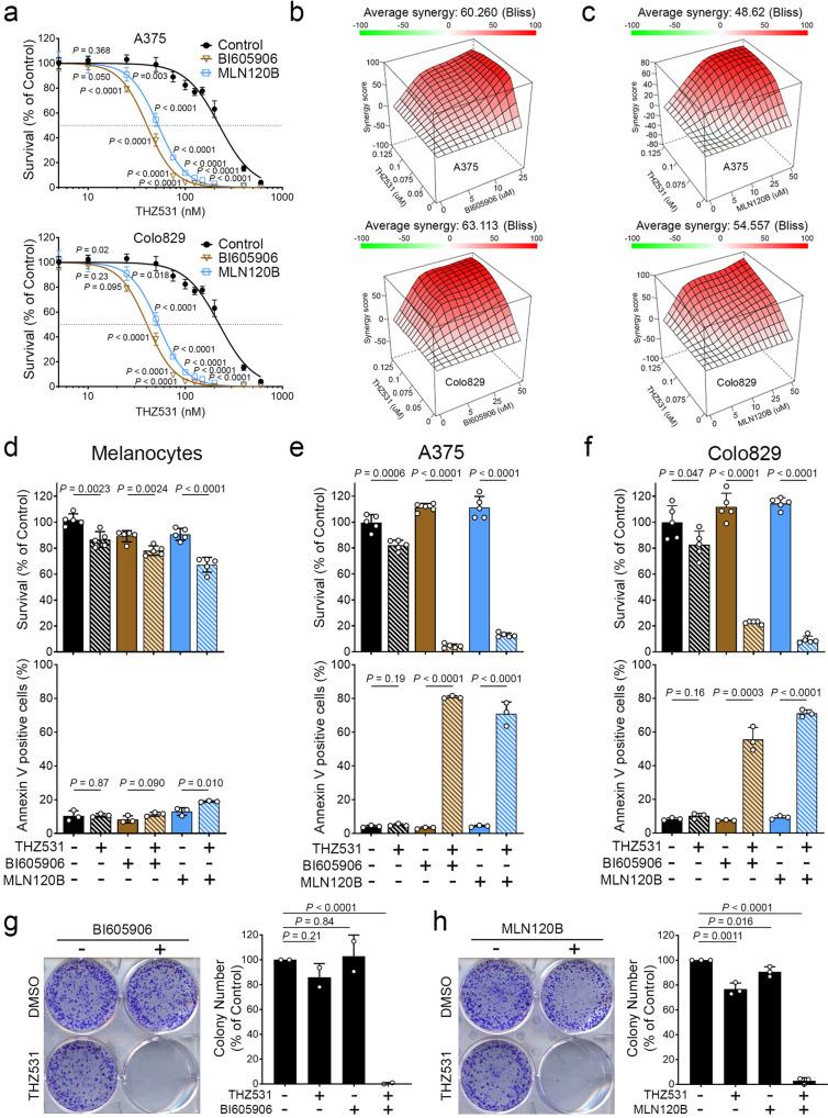
Melanoma is the deadliest form of skin cancer and considered intrinsically resistant to chemotherapy. Nearly all melanomas harbor mutations that activate the RAS/mitogen-activated protein kinase (MAPK) pathway, which contributes to drug resistance via poorly described mechanisms. Herein we show that the RAS/MAPK pathway regulates the activity of cyclin-dependent kinase 12 (CDK12), which is a transcriptional CDK required for genomic stability. We find that melanoma cells harbor constitutively high CDK12 activity, and that its inhibition decreases the expression of long genes containing multiple exons, including many genes involved in DNA repair. Conversely, our results show that CDK12 inhibition promotes the expression of short genes with few exons, including many growth-promoting genes regulated by the AP-1 and NF-κB transcription factors. Inhibition of these pathways strongly synergize with CDK12 inhibitors to suppress melanoma growth, suggesting promising drug combinations for more effective melanoma treatment.

摘要

黑色素瘤是最致命的皮肤癌形式,被认为对化疗具有内在抗性。几乎所有黑色素瘤都存在激活 RAS/丝裂原活化蛋白激酶 (MAPK) 途径的突变,这些突变通过描述不佳的机制导致药物耐药性。在此,我们表明 RAS/MAPK 途径调节细胞周期蛋白依赖性激酶 12 (CDK12) 的活性,CDK12 是一种转录 CDK,是基因组稳定性所必需的。我们发现黑色素瘤细胞中 CDK12 活性持续升高,其抑制可降低包含多个外显子的长基因的表达,包括许多参与 DNA 修复的基因。相反,我们的结果表明 CDK12 抑制可促进短基因的表达,这些短基因外显子较少,包括许多受 AP-1 和 NF-κB 转录因子调节的促生长基因。这些途径的抑制与 CDK12 抑制剂强烈协同作用,可抑制黑色素瘤的生长,这表明有希望的药物组合可更有效地治疗黑色素瘤。

https://cdn.ncbi.nlm.nih.gov/pmc/blobs/2f0b/9617877/185c8dcfa52f/41467_2022_34179_Fig1_HTML.jpg

文献AI研究员

20分钟写一篇综述,助力文献阅读效率提升50倍。

立即体验

用中文搜PubMed

大模型驱动的PubMed中文搜索引擎

马上搜索

文档翻译

学术文献翻译模型,支持多种主流文档格式。

立即体验