Suppr超能文献

维多珠单抗治疗免疫检查点抑制剂诱导的结肠炎:两例病例报告。

Vedolizumab in the treatment of immune checkpoint inhibitor-induced colitis: Two case reports.

作者信息

Zhang Zhe, Zheng Chang-Qing

机构信息

The Second Department of Gastroenterology, Shengjing Hospital of China Medical University, Shenyang 110004, Liaoning Province, China.

出版信息

World J Clin Cases. 2022 Oct 16;10(29):10550-10558. doi: 10.12998/wjcc.v10.i29.10550.

Abstract

BACKGROUND

Immune check-point inhibitors-induced colitis (ICPIs-induced colitis) is one of the immune-related side effects. Steroids and Infliximab are commonly used to treat it. The patients of our report were treated by Vedolizumab.

CASE SUMMARY

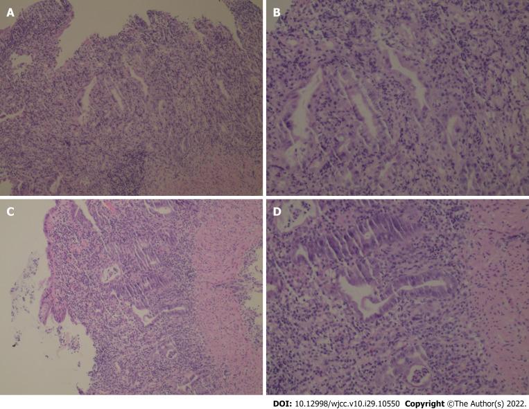
The two patients went to the doctor with bloody stools and were treated by Sintilimab and Camrelizumab, respectively, for their malignant tumors. They were diagnosed as ICPIs-induced colitis based on endoscopic and histologic examination. The original immunotherapy was ceased while the anti-inflammatory therapy was introduced. The patients' colitis symptoms disappeared after the treatment and no recurrence was found during the follow-up period. The unique feature about the case reports is that Vedolizumab combined with short-term corticosteroids had achieved good therapeutic effects.

CONCLUSION

For the symptoms of bloody diarrhea after the ICPIs treatment of cancer, the possibility of ICPIs-induced colitis should be considered. Vedolizumab combined with short-term corticosteroids may be appropriate for the treatment.

摘要

背景

免疫检查点抑制剂诱导的结肠炎(ICPI诱导的结肠炎)是免疫相关副作用之一。类固醇和英夫利昔单抗常用于治疗该病。我们报告的患者接受了维多珠单抗治疗。

病例摘要

两名患者因便血就医,分别接受信迪利单抗和卡瑞利珠单抗治疗其恶性肿瘤。根据内镜和组织学检查,他们被诊断为ICPI诱导的结肠炎。停止原免疫治疗并引入抗炎治疗。治疗后患者的结肠炎症状消失,随访期间未发现复发。病例报告的独特之处在于维多珠单抗联合短期皮质类固醇取得了良好的治疗效果。

结论

对于癌症患者接受ICPI治疗后出现的血性腹泻症状,应考虑ICPI诱导的结肠炎的可能性。维多珠单抗联合短期皮质类固醇可能适合治疗。

https://cdn.ncbi.nlm.nih.gov/pmc/blobs/fb2e/9602246/ed821e63f486/WJCC-10-10550-g001.jpg

文献AI研究员

20分钟写一篇综述,助力文献阅读效率提升50倍。

立即体验

用中文搜PubMed

大模型驱动的PubMed中文搜索引擎

马上搜索

文档翻译

学术文献翻译模型,支持多种主流文档格式。

立即体验