Suppr超能文献

卵巢组织冻存与移植:博洛尼亚大学 20 年经验。

Ovarian tissue cryopreservation and transplantation: 20 years experience in Bologna University.

机构信息

Department of Medical and Surgical Sciences, University of Bologna, Bologna, Italy.

Department of Medical and Surgical Sciences, Istituti di Ricovero e Cura a Carattere Scientifico (IRCCS) Azienda Ospedaliero-Universitaria di Bologna, Bologna, Italy.

出版信息

Front Endocrinol (Lausanne). 2022 Oct 12;13:1035109. doi: 10.3389/fendo.2022.1035109. eCollection 2022.

Abstract

OBJECTIVE

To report the 20-year experience in ovarian tissue cryopreservation (OTC) and ovarian tissue transplantation (OTT) of the Bologna clinical center (Bologna, Italy).

DESIGN

Retrospective cohort study.

PATIENTS

1026 pediatrics and women aged between 2 and 38 years who underwent OTC and OTT between January 2002 to January 2022.

RESULTS

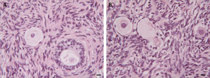
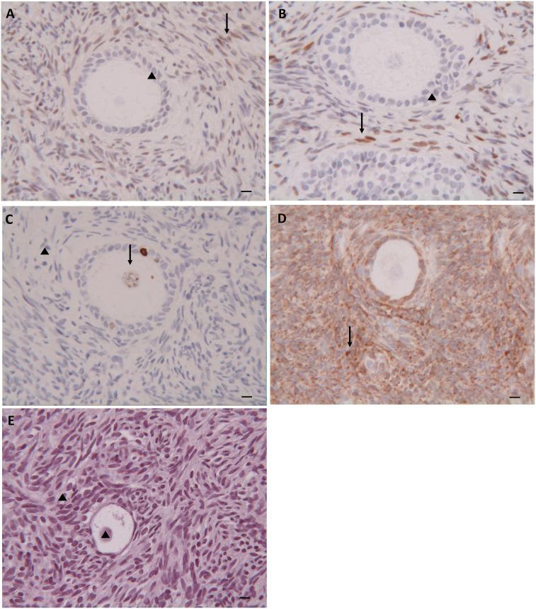
Of the 1026 patients, 238 (22.8%) were pediatrics (≤ 17 years, Group 1) and 788 (77.2%) were adult women (range 18-38 years, Group 2). In Group 1, 184 (77.3%) patients had malignant diseases and 54 (22.7%) had non-malignant diseases. In Group 2, 746 (94.7%) patients had malignant diseases and 42 (5.3%) had non-malignant diseases. No real complications were observed during surgery. In all the samples analyzed most of the follicles were in the resting stage, while only a few follicles were growing. In both fresh and thawed samples, follicular density was higher in Group 1 than in Group 2 (p < 0.01). Regardless of age, good preservation of follicles and stroma was observed in fresh and thawed ovarian tissue by histological and immunohistochemical analyses (estrogen and progesterone receptors; Ki67 and Bcl2 markers; TUNEL). To date, out of 1026 total women, 812 (79.1%) had their tissue stored. Sixty-eight (6.6%) patients died from their primary disease. Twenty-four (2.3%) women performed 33 OTTs between December 2011 and January 2022. Restoration of menstruation was observed in 15 out of 17 menopausal women. Six pregnancies were achieved, two hesitated in abortion and four in the birth of healthy babies.

CONCLUSION

OTC is the only fertility preservation technique applicable in pre-pubertal/pediatrics and in adult patients when stimulation for oocytes/embryos cryopreservation is not possible. The reported data can help future patients and physicians in their discussions and decisions about the need and possibilities of preserving ovarian function.

摘要

目的

报告意大利博洛尼亚临床中心(Bologna)在卵巢组织冷冻保存(OTC)和卵巢组织移植(OTT)方面的 20 年经验。

设计

回顾性队列研究。

患者

2002 年 1 月至 2022 年 1 月期间,1026 名年龄在 2 至 38 岁之间的儿科和女性患者接受了 OTC 和 OTT。

结果

在 1026 名患者中,238 名(22.8%)为儿科患者(≤17 岁,第 1 组),788 名(77.2%)为成年女性(18-38 岁,第 2 组)。第 1 组中,184 名(77.3%)患者患有恶性疾病,54 名(22.7%)患者患有非恶性疾病。第 2 组中,746 名(94.7%)患者患有恶性疾病,42 名(5.3%)患者患有非恶性疾病。手术过程中未观察到真正的并发症。在所有分析的样本中,大多数卵泡处于静止期,只有少数卵泡在生长。在新鲜和解冻样本中,第 1 组的卵泡密度均高于第 2 组(p < 0.01)。通过组织学和免疫组织化学分析(雌激素和孕激素受体;Ki67 和 Bcl2 标志物;TUNEL),无论年龄大小,新鲜和解冻的卵巢组织中均观察到卵泡和基质的良好保存。迄今为止,在 1026 名女性中,812 名(79.1%)的组织已被储存。68 名(6.6%)患者死于原发疾病。24 名(2.3%)女性在 2011 年 12 月至 2022 年 1 月期间进行了 33 次 OTT。17 名绝经妇女中有 15 名恢复了月经。6 例妊娠,2 例犹豫流产,4 例健康婴儿出生。

结论

OTC 是唯一适用于青春期前/儿科和成年患者的生育力保存技术,当卵母细胞/胚胎冷冻保存刺激不可行时。所报告的数据可以帮助未来的患者和医生在讨论和决定是否需要以及可能保留卵巢功能时提供参考。

https://cdn.ncbi.nlm.nih.gov/pmc/blobs/7bd4/9597685/b6f7e66fefd4/fendo-13-1035109-g001.jpg

文献AI研究员

20分钟写一篇综述,助力文献阅读效率提升50倍。

立即体验

用中文搜PubMed

大模型驱动的PubMed中文搜索引擎

马上搜索

文档翻译

学术文献翻译模型,支持多种主流文档格式。

立即体验