Suppr超能文献

骨质疏松风险人群:在牙科诊所使用全景X线片筛查骨质疏松症。

Osteoporosis risk group: Screening for osteoporosis in dental clinics using panoramic radiographs.

作者信息

Selvakumar Rajkumar, Chandran Ajay, Patil Abhijit, Harini T C, Dandekeri Shilpa, Verma Diksha, Babu J Suresh, Swarnalatha C, Nayyar Abhishek S

机构信息

Department of Oral and Maxillofacial Surgery, Rajah Muthiah Dental College and Hospital, Annamalai University, Annamalai Nagar, Tamil Nadu, India.

Department of Oral and Maxillofacial Surgery, Sathyabama Dental College and Hospital, Chennai, Tamil Nadu, India.

出版信息

J Educ Health Promot. 2022 Aug 25;11:271. doi: 10.4103/jehp.jehp_1727_21. eCollection 2022.

Abstract

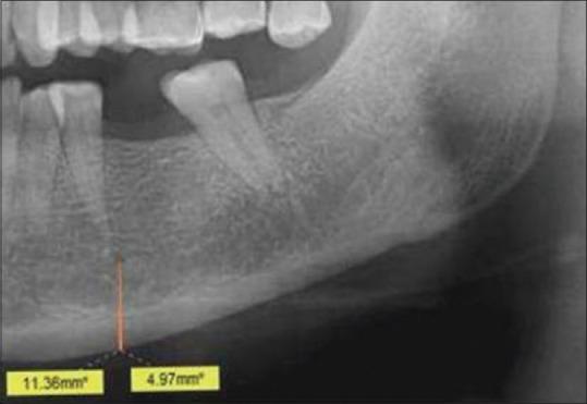
Osteoporosis is a specific condition which is characterized by low bone mineral density (BMD) and deterioration of bone structure resulting in an increased susceptibility to fractures. It contributes to a great deal of morbidity and mortality, and is a large burden to the healthcare system, especially in the case of the elderly population. In the last four decades, a plethora of studies have reported characteristic oral radiographic findings in the early stages of osteoporosis, suggesting the possible use of oral radiographic signs for the early detection of the condition. Digital orthopantomographs (OPGs) are usually taken for the screening of dental patients during routine dental evaluations. These radiographs and the characteristic changes seen on them may have a significant role in the screening for initial osteoporotic changes. A number of precise radiomorphometric indices of the mandible have also been developed to allow quantification of the mandibular bone mass for identification of the initial signs of osteoporosis. The present review focuses on the possible role of panoramic radiographs in the initial screening for osteoporosis in dental clinics in high-risk groups.

摘要

骨质疏松症是一种特殊的病症,其特征是骨矿物质密度(BMD)低且骨结构恶化,导致骨折易感性增加。它导致大量的发病和死亡,给医疗保健系统带来巨大负担,尤其是在老年人群中。在过去的四十年里,大量研究报告了骨质疏松症早期阶段典型的口腔放射学表现,这表明口腔放射学征象可能用于该病症的早期检测。在常规牙科评估期间,通常会拍摄数字化曲面断层片(OPG)以筛查牙科患者。这些X光片及其上所见的特征性变化可能在初步骨质疏松症变化的筛查中发挥重要作用。还开发了一些精确的下颌骨放射形态计量学指标,以便对下颌骨质量进行量化,从而识别骨质疏松症的初始迹象。本综述重点关注全景X光片在高危人群牙科诊所骨质疏松症初步筛查中的可能作用。

https://cdn.ncbi.nlm.nih.gov/pmc/blobs/4ebf/9621361/546efa7d49fc/JEHP-11-271-g001.jpg

文献AI研究员

20分钟写一篇综述,助力文献阅读效率提升50倍。

立即体验

用中文搜PubMed

大模型驱动的PubMed中文搜索引擎

马上搜索

文档翻译

学术文献翻译模型,支持多种主流文档格式。

立即体验