Suppr超能文献

大麻二酚显著减轻皮肤和肝脏纤维化。

Cannabidiol markedly alleviates skin and liver fibrosis.

作者信息

Del Río Carmen, Ruiz-Pino Francisco, Prados María E, Fiebich Bernd L, Tena-Sempere Manuel, Muñoz Eduardo

机构信息

Instituto Maimónides de Investigación Biomédica de Córdoba-IMIBIC, Cordoba, Spain.

Departamento de Biología Celular, Fisiología e Inmunología, Universidad de Córdoba, Cordoba, Spain.

出版信息

Front Pharmacol. 2022 Oct 19;13:981817. doi: 10.3389/fphar.2022.981817. eCollection 2022.

Abstract

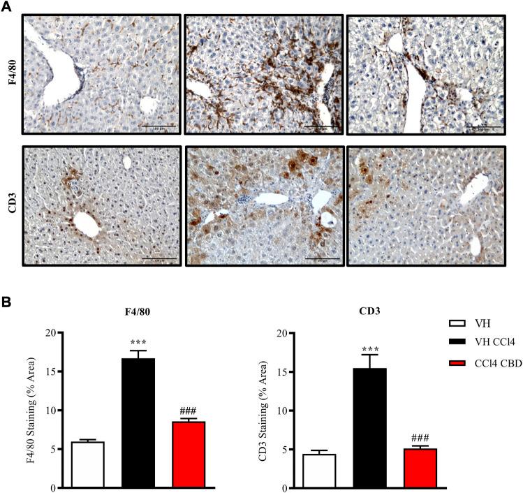
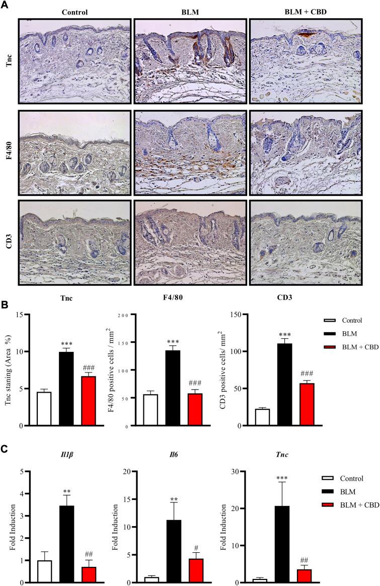
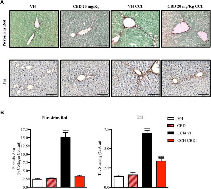
Cannabidiol (CBD) has been suggested as a potential therapy for inflammatory and fibrotic diseases. Cannabidiol was demonstrated to reduce alcohol-induced liver inflammation and steatosis but its specific activity on the fibrotic process was not investigated. Herein, the antifibrotic effects of cannabidiol in the skin were analysed using NIH-3T3 fibroblasts and human dermal fibroblasts and using the bleomycin-induced model of skin fibrosis. In a second model, non-alcoholic liver fibrosis was induced in mice by CCl exposure. Cannabidiol was administered daily, intraperitoneally in mice challenged with bleomycin and orally in CCl mice, and skin and liver fibrosis and inflammation were assessed by immunochemistry. Cannabidiol inhibited collagen gene transcription and synthesis and prevented TGFβ-and IL-4 induced fibroblast migration. In the bleomycin model, cannabidiol prevented skin fibrosis and collagen accumulation around skin blood vessels, and in the CCl model cannabidiol significantly attenuated liver fibrosis measured by picrosirius red and Tenascin C staining and reduced T cell and macrophage infiltration. Altogether, our data further support the rationale of the medicinal use of this cannabinoid, as well as cannabis preparations containing it, in the management of fibrotic diseases including Systemic Sclerosis and Non-Alcoholic Fatty Liver Disease.

摘要

大麻二酚(CBD)已被提议作为治疗炎症和纤维化疾病的一种潜在疗法。大麻二酚已被证明可减轻酒精诱导的肝脏炎症和脂肪变性,但其对纤维化过程的具体活性尚未进行研究。在此,利用NIH-3T3成纤维细胞和人皮肤成纤维细胞,并采用博来霉素诱导的皮肤纤维化模型,分析了大麻二酚在皮肤中的抗纤维化作用。在第二个模型中,通过暴露于四氯化碳在小鼠中诱导非酒精性肝纤维化。大麻二酚在博来霉素攻击的小鼠中每日腹腔注射给药,在四氯化碳处理的小鼠中口服给药,通过免疫化学评估皮肤和肝脏的纤维化及炎症情况。大麻二酚抑制胶原蛋白基因转录和合成,并阻止转化生长因子β和白细胞介素-4诱导的成纤维细胞迁移。在博来霉素模型中,大麻二酚可预防皮肤纤维化及皮肤血管周围的胶原蛋白积聚,在四氯化碳模型中,通过苦味酸天狼星红和肌腱蛋白C染色测量,大麻二酚可显著减轻肝纤维化,并减少T细胞和巨噬细胞浸润。总之,我们的数据进一步支持了这种大麻素及其含有的大麻制剂在治疗包括系统性硬化症和非酒精性脂肪性肝病在内的纤维化疾病中药用的基本原理。

https://cdn.ncbi.nlm.nih.gov/pmc/blobs/4732/9627610/18ca3467cf12/fphar-13-981817-g001.jpg

文献AI研究员

20分钟写一篇综述,助力文献阅读效率提升50倍。

立即体验

用中文搜PubMed

大模型驱动的PubMed中文搜索引擎

马上搜索

文档翻译

学术文献翻译模型,支持多种主流文档格式。

立即体验