Suppr超能文献

LRG1 是一种脂肪细胞因子,可促进胰岛素敏感性并抑制炎症。

LRG1 is an adipokine that promotes insulin sensitivity and suppresses inflammation.

机构信息

Weill Cornell/Rockefeller/Sloan Kettering Tri-Institutional MD-PhD Program, New York, United States.

Laboratory of Molecular Metabolism, Rockefeller University, New York, United States.

出版信息

Elife. 2022 Nov 8;11:e81559. doi: 10.7554/eLife.81559.

Abstract

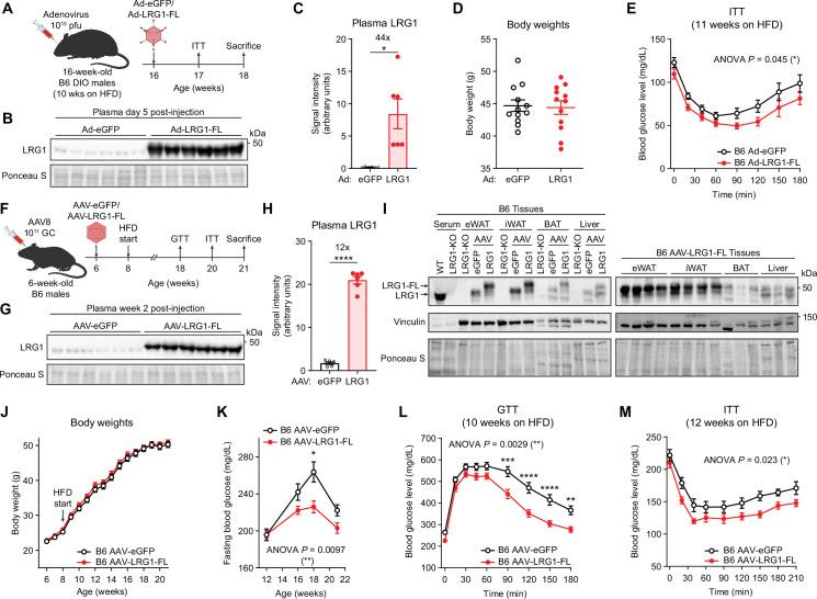
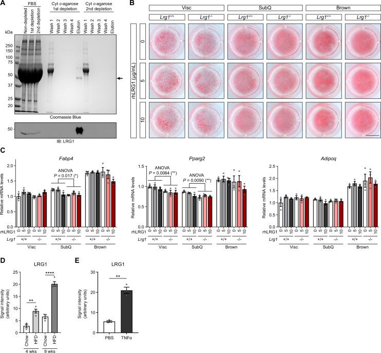
While dysregulation of adipocyte endocrine function plays a central role in obesity and its complications, the vast majority of adipokines remain uncharacterized. We employed bio-orthogonal non-canonical amino acid tagging (BONCAT) and mass spectrometry to comprehensively characterize the secretome of murine visceral and subcutaneous white and interscapular brown adip ocytes. Over 600 proteins were identified, the majority of which showed cell type-specific enrichment. We here describe a metabolic role for leucine-rich α-2 glycoprotein 1 (LRG1) as an obesity-regulated adipokine secreted by mature adipocytes. LRG1 overexpression significantly improved glucose homeostasis in diet-induced and genetically obese mice. This was associated with markedly reduced white adipose tissue macrophage accumulation and systemic inflammation. Mechanistically, we found LRG1 binds cytochrome in circulation to dampen its pro-inflammatory effect. These data support a new role for LRG1 as an insulin sensitizer with therapeutic potential given its immunomodulatory function at the nexus of obesity, inflammation, and associated pathology.

摘要

虽然脂肪细胞内分泌功能失调在肥胖及其并发症中起着核心作用,但绝大多数脂肪因子仍未被描述。我们采用生物正交非典型氨基酸标记(BONCAT)和质谱技术,全面描述了小鼠内脏和皮下白色和肩胛间棕色脂肪细胞的分泌组。鉴定出超过 600 种蛋白质,其中大多数表现出细胞类型特异性富集。在这里,我们描述了富含亮氨酸的 α-2 糖蛋白 1(LRG1)作为一种肥胖调节的脂肪因子的代谢作用,由成熟脂肪细胞分泌。LRG1 的过表达显著改善了饮食诱导和遗传肥胖小鼠的葡萄糖稳态。这与显著减少白色脂肪组织巨噬细胞积累和全身炎症有关。从机制上讲,我们发现 LRG1 在循环中与细胞色素结合,以抑制其促炎作用。这些数据支持 LRG1 作为胰岛素增敏剂的新作用,鉴于其在肥胖、炎症和相关病理的交汇点的免疫调节功能,具有治疗潜力。

https://cdn.ncbi.nlm.nih.gov/pmc/blobs/d60b/9674348/bd6190174d73/elife-81559-fig1.jpg

文献AI研究员

20分钟写一篇综述,助力文献阅读效率提升50倍。

立即体验

用中文搜PubMed

大模型驱动的PubMed中文搜索引擎

马上搜索

文档翻译

学术文献翻译模型,支持多种主流文档格式。

立即体验