Suppr超能文献

自噬发生时,Atg9 通过其跨膜结构域相互作用对于噬泡的扩展是必需的。

--Atg9 interactions via its transmembrane domains are required for phagophore expansion during autophagy.

机构信息

Osnabrück University, Department of Biology/Chemistry, Biochemistry section, Osnabrück, Germany.

Department of Biomedical Sciences of Cells and Systems, University of Groningen, University Medical Center Groningen, Groningen, The Netherlands.

出版信息

Autophagy. 2023 May;19(5):1459-1478. doi: 10.1080/15548627.2022.2136340. Epub 2022 Nov 10.

Abstract

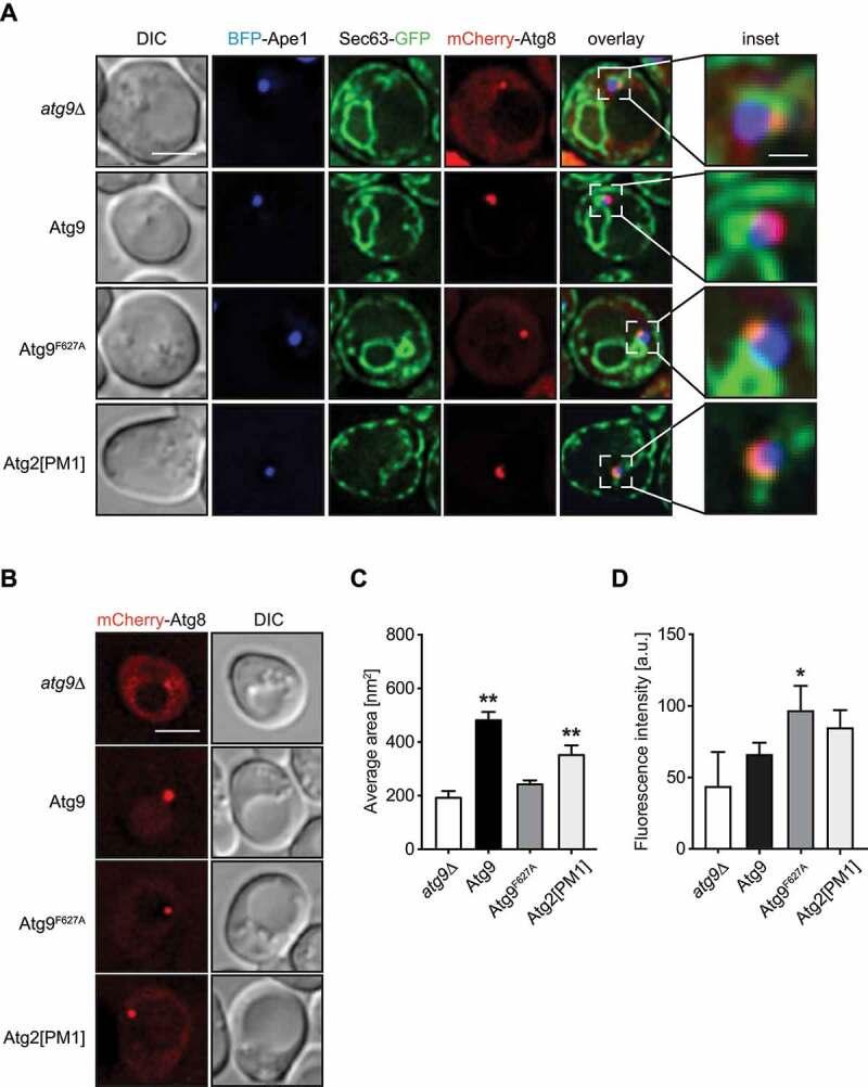
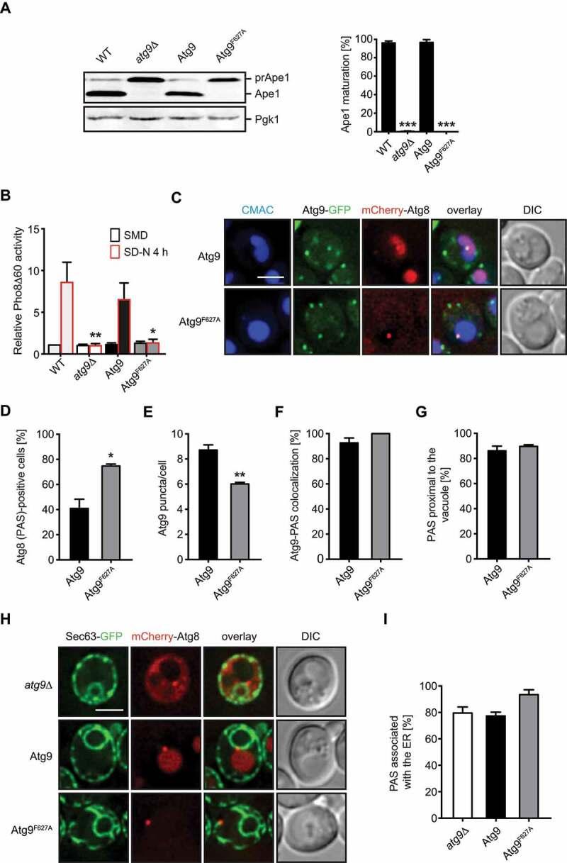
During macroautophagy/autophagy, precursor cisterna known as phagophores expand and sequester portions of the cytoplasm and/or organelles, and subsequently close resulting in double-membrane transport vesicles called autophagosomes. Autophagosomes fuse with lysosomes/vacuoles to allow the degradation and recycling of their cargoes. We previously showed that sequential binding of yeast Atg2 and Atg18 to Atg9, the only conserved transmembrane protein in autophagy, at the extremities of the phagophore mediates the establishment of membrane contact sites between the phagophore and the endoplasmic reticulum. As the Atg2-Atg18 complex transfers lipids between adjacent membranes , it has been postulated that this activity and the scramblase activity of the trimers formed by Atg9 are required for the phagophore expansion. Here, we present evidence that Atg9 indeed promotes Atg2-Atg18 complex-mediated lipid transfer , although this is not the only requirement for its function . In particular, we show that Atg9 function is dramatically compromised by a F627A mutation within the conserved interface between the transmembrane domains of the Atg9 monomers. Although Atg9 self-interacts and binds to the Atg2-Atg18 complex, the F627A mutation blocks the phagophore expansion and thus autophagy progression. This phenotype is conserved because the corresponding human ATG9A mutant severely impairs autophagy as well. Importantly, Atg9 has identical scramblase activity like Atg9, and as with the wild-type protein enhances Atg2-Atg18-mediated lipid transfer. Collectively, our data reveal that interactions of Atg9 trimers via their transmembrane segments play a key role in phagophore expansion beyond Atg9's role as a lipid scramblase. BafA1: bafilomycin A; Cvt: cytoplasm-to-vacuole targeting; Cryo-EM: cryo-electron microscopy; ER: endoplasmic reticulum; GFP: green fluorescent protein; MAP1LC3/LC3: microtubule associated protein 1 light chain 3; MCS: membrane contact site; NBD-PE: -(7-nitrobenz-2-oxa-1,3-diazol-4-yl)-1,2-dihexadecanoyl--glycero-3-phosphoethanolamine; PAS: phagophore assembly site; PE: phosphatidylethanolamine; prApe1: precursor Ape1; PtdIns3P: phosphatidylinositol-3-phosphate; SLB: supported lipid bilayer; SUV: small unilamellar vesicle; TMD: transmembrane domain; WT: wild type.

摘要

在巨自噬/自噬过程中,称为吞噬体的前体 cisterna 扩张并隔离细胞质和/或细胞器的部分,随后封闭形成称为自噬体的双层膜转运囊泡。自噬体与溶酶体/液泡融合,允许其货物降解和再循环。我们之前表明,酵母 Atg2 和 Atg18 依次与自噬中唯一保守的跨膜蛋白 Atg9 结合,位于吞噬体的两端,介导吞噬体与内质网之间的膜接触位点的建立。由于 Atg2-Atg18 复合物在相邻膜之间转移脂质,因此有人假设这种活性和由 Atg9 形成的三聚体的裂合酶活性对于吞噬体的扩张是必需的。在这里,我们提供的证据表明,Atg9 确实促进了 Atg2-Atg18 复合物介导的脂质转移,尽管这不是其功能的唯一要求。特别是,我们表明,在 Atg9 单体的跨膜域之间的保守界面内的 F627A 突变严重损害了 Atg9 的功能。尽管 Atg9 自身相互作用并与 Atg2-Atg18 复合物结合,但 F627A 突变阻止了吞噬体的扩张,从而阻止了自噬的进展。这种表型是保守的,因为相应的人类 ATG9A 突变体也严重损害了自噬。重要的是,Atg9 具有与 Atg9 相同的裂合酶活性,并且像野生型蛋白一样增强了 Atg2-Atg18 介导的脂质转移。总的来说,我们的数据表明,通过其跨膜片段相互作用的 Atg9 三聚体在吞噬体扩张中发挥关键作用,超出了 Atg9 作为脂质裂合酶的作用。BafA1:巴弗霉素 A;Cvt:细胞质到液泡靶向;Cryo-EM:低温电子显微镜;ER:内质网;GFP:绿色荧光蛋白;MAP1LC3/LC3:微管相关蛋白 1 轻链 3;MCS:膜接触位点;NBD-PE:-(7-硝基苯并-2-恶唑-4-基)-1,2-二十六烷酰基-甘油-3-磷酸乙醇胺;PAS:吞噬体组装位点;PE:磷脂酰乙醇胺;prApe1:前体 Ape1;PtdIns3P:磷脂酰肌醇 3-磷酸;SLB:支持脂质双层;SUV:小单层囊泡;TMD:跨膜域;WT:野生型。

https://cdn.ncbi.nlm.nih.gov/pmc/blobs/38fd/10241002/8bb16f0aeacd/KAUP_A_2136340_F0001_OC.jpg

文献AI研究员

20分钟写一篇综述,助力文献阅读效率提升50倍。

立即体验

用中文搜PubMed

大模型驱动的PubMed中文搜索引擎

马上搜索

文档翻译

学术文献翻译模型,支持多种主流文档格式。

立即体验