Suppr超能文献

用于制造 PET 的邻苯二甲酸酯对苯二甲酸和对苯二甲酸二甲酯通过改变脂肪生成和生热机制诱导体外脂肪细胞功能障碍。

The p-Phthalates Terephthalic Acid and Dimethyl Terephthalate Used in the Manufacture of PET Induce In Vitro Adipocytes Dysfunction by Altering Adipogenesis and Thermogenesis Mechanisms.

机构信息

Department of Chemical, Biological, Pharmaceutical and Environmental Sciences, University of Messina, Viale F. Stagno D'Alcontres 31, 98166 Messina, Italy.

出版信息

Molecules. 2022 Nov 7;27(21):7645. doi: 10.3390/molecules27217645.

Abstract

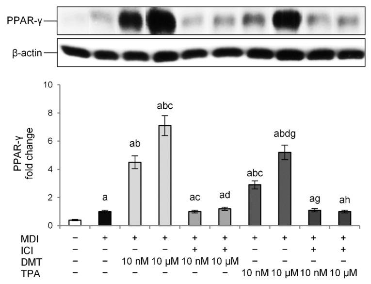
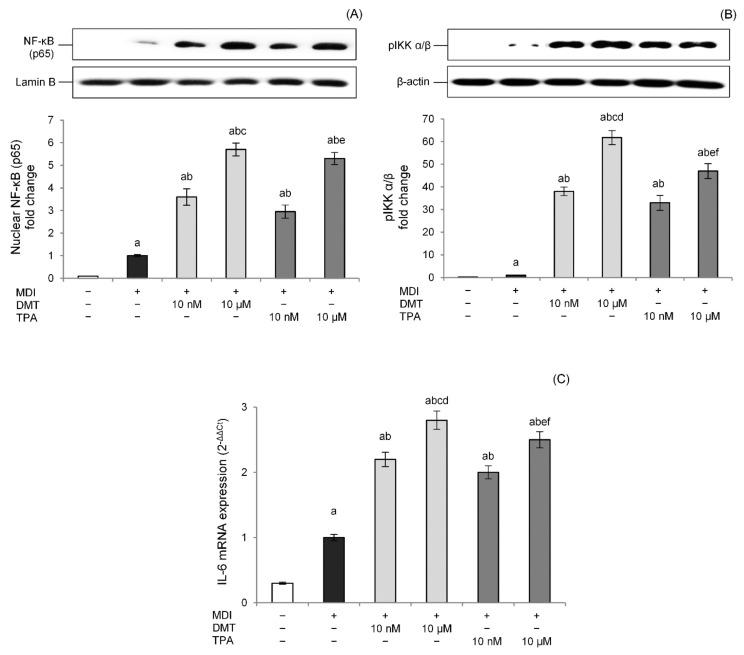
Public health concerns associated with the potential leaching of substances from Polyethylene terephthalate (PET) packaging have been raised due to the role of phthalates as endocrine-disrupting chemicals or obesogens. In particular, changes in the environment such as pH, temperature, and irradiation can improve contaminant migration from PET food packaging. In this study, the in vitro effects of p-phthalates terephthalic acid (TPA) and dimethyl terephthalate (DMT) on murine adipocytes (3T3-L1) were evaluated using concentrations that might be obtained in adult humans exposed to contaminated sources. TPA and, in particular, DMT exposure during 3T3-L1 differentiation increased the cellular lipid content and induced adipogenic markers PPAR-γ, C/EBPß, FABP4, and FASN, starting from low nanomolar concentrations. Interestingly, the adipogenic action of TPA- and DMT-induced PPAR-γ was reverted by ICI 182,780, a specific antagonist of the estrogen receptor. Furthermore, TPA and DMT affected adipocytes' thermogenic program, reducing pAMPK and PGC-1α levels, and induced the NF-κB proinflammatory pathway. Given the observed effects of biologically relevant chronic concentrations of these p-phthalates and taking into account humans' close and constant contact with plastics, it seems appropriate that ascertaining safe levels of TPA and DMT exposure is considered a high priority.

摘要

由于邻苯二甲酸酯作为内分泌干扰物或致肥胖物的作用,人们对聚对苯二甲酸乙二醇酯(PET)包装中物质潜在浸出对公共卫生的关注已经提出。特别是,环境的变化,如 pH 值、温度和辐射,会增加 PET 食品包装中污染物的迁移。在这项研究中,使用可能在接触污染来源的成年人中获得的浓度,评估了对苯二甲酸(TPA)和二甲基对苯二甲酸(DMT)这两种邻苯二甲酸对鼠脂肪细胞(3T3-L1)的体外影响。在 3T3-L1 分化过程中,TPA 和特别是 DMT 的暴露增加了细胞内脂质含量,并诱导了脂肪生成标志物 PPAR-γ、C/EBPβ、FABP4 和 FASN,起始浓度低至纳摩尔。有趣的是,特定的雌激素受体拮抗剂 ICI 182780 逆转了 TPA 和 DMT 诱导的 PPAR-γ 的脂肪生成作用。此外,TPA 和 DMT 影响脂肪细胞的产热程序,降低了 pAMPK 和 PGC-1α 的水平,并诱导了 NF-κB 促炎途径。鉴于这些邻苯二甲酸的生物相关慢性浓度观察到的影响,并且考虑到人类与塑料的密切和持续接触,确定 TPA 和 DMT 暴露的安全水平似乎是当务之急。

https://cdn.ncbi.nlm.nih.gov/pmc/blobs/fe6d/9656719/7e14f4930e3d/molecules-27-07645-g001.jpg

文献AI研究员

20分钟写一篇综述,助力文献阅读效率提升50倍。

立即体验

用中文搜PubMed

大模型驱动的PubMed中文搜索引擎

马上搜索

文档翻译

学术文献翻译模型,支持多种主流文档格式。

立即体验