Suppr超能文献

一个中国常染色体显性遗传性视网膜色素变性家系中19号染色体q13.42区域包含 基因的69 kb缺失。

A 69 kb Deletion in chr19q13.42 including Gene in a Chinese Family Affected with Autosomal Dominant Retinitis Pigmentosa.

作者信息

Lan Yuanzheng, Chen Yuhong, Qiao Yunsheng, Xu Qingdan, Zhai Ruyi, Sun Xinghuai, Wu Jihong, Chen Xueli

机构信息

Department of Ophthalmology, Eye and ENT Hospital, Fudan University, Shanghai 200031, China.

NHC Key Laboratory of Myopia, Chinese Academy of Medical Sciences, Fudan University, Shanghai 200031, China.

出版信息

J Clin Med. 2022 Nov 11;11(22):6682. doi: 10.3390/jcm11226682.

Abstract

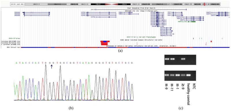
We aimed to identify the genetic cause of autosomal dominant retinitis pigmentosa (adRP) and characterize the underlying molecular mechanisms of incomplete penetrance in a Chinese family affected with adRP. All enrolled family members underwent ophthalmic examinations. Whole-genome sequencing (WGS), multiplex ligation-dependent probe amplification (MLPA), linkage analysis and haplotype construction were performed in all participants. RNA-seq was performed to analyze the regulating mechanism of incomplete penetrance among affected patients, mutation carriers and healthy controls. In the studied family, 14 individuals carried a novel heterozygous large deletion of 69 kilobase (kb) in 19q13.42 encompassing exon 1 of the gene and five upstream genes: , , , , and . Three family members were sequenced and diagnosed as non-penetrant carriers (NPCs). RNA-seq showed significant differential expression of genes in deletion between mutation carriers and healthy control. The RP11 pedigree in this study was the largest pedigree compared to other reported RP11 pedigrees with large deletions. Early onset in all affected members in this pedigree was considered to be a special phenotype and was firstly reported in a RP11 family for the first time. Differential expression of between affected and unaffected subjects indicates a haploinsufficiency to cause the disease in the family. The other genes with significant differential expression might play a cooperative effect on the penetrance of RP11.

摘要

我们旨在确定常染色体显性遗传性视网膜色素变性(adRP)的遗传病因,并阐明一个患adRP的中国家系中不完全外显的潜在分子机制。所有登记的家庭成员均接受了眼科检查。对所有参与者进行了全基因组测序(WGS)、多重连接依赖探针扩增(MLPA)、连锁分析和单倍型构建。进行RNA测序以分析患病患者、突变携带者和健康对照中不完全外显的调控机制。在该研究家系中,14名个体在19q13.42区域存在一个新的69千碱基(kb)杂合大片段缺失,该缺失涵盖了 基因的外显子1以及五个上游基因: 、 、 、 和 。三名家庭成员经测序被诊断为非外显携带者(NPC)。RNA测序显示突变携带者与健康对照之间缺失区域的基因存在显著差异表达。与其他报道的具有大片段缺失的RP11家系相比,本研究中的RP11家系是最大的家系。该家系中所有患病成员的早发被认为是一种特殊表型,这是首次在RP11家系中报道。患病与未患病个体之间 的差异表达表明单倍剂量不足会导致该家系患病。其他具有显著差异表达的基因可能对RP11的外显率起协同作用。

https://cdn.ncbi.nlm.nih.gov/pmc/blobs/b00d/9695658/932102611346/jcm-11-06682-g001.jpg

文献AI研究员

20分钟写一篇综述,助力文献阅读效率提升50倍。

立即体验

用中文搜PubMed

大模型驱动的PubMed中文搜索引擎

马上搜索

文档翻译

学术文献翻译模型,支持多种主流文档格式。

立即体验