Suppr超能文献

新型减重全内镜十二指肠空肠旁路术的可行性:成年肥胖猪的初步研究。

Feasibility of a new bariatric fully endoscopic duodenal-jejunal bypass: a pilot study in adult obese pigs.

机构信息

Department of Hepatogastroenterology, Faculty of Medicine, Aix-Marseille University, Chemin des Bourrely, 13915, Marseille, Cedex 20, France.

Department of Gastroenterology, Hôpital Erasme, Brussels, Belgium.

出版信息

Sci Rep. 2022 Nov 24;12(1):20275. doi: 10.1038/s41598-022-24614-7.

Abstract

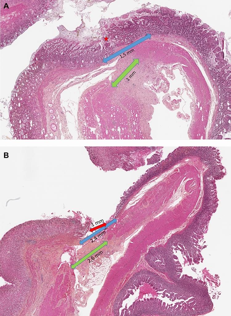
This study assessed a new natural orifice transluminal endoscopic surgery (NOTES) bariatric endoscopic procedure in obese adult pigs. This 14-week prospective study compared 6 adult male Yucatan test pigs with baseline mean age 1.5 years to 2 control pigs. The test pigs received a fully endoscopic NOTES-based duodenal-jejunal bypass including measurement of the bypassed limb and creation of a gastrojejunal anastomosis (GJA) using a gastrojejunal lumen-apposing metal stent (GJ-LAMS) at Week 0, placement of a duodenal exclusion device (DED) at Week 2, and endoscopic examinations at Weeks 6 and 10. At Week 14, the pigs were sacrificed for necropsy. All endoscopic procedures were technically successful. By Week 14, the controls had gained a mean 1.1 ± 2.1 kg (+ 1.6%) while the intervention animals lost a mean 6.8 ± 3.9 kg (- 10.5%) since baseline. GJ-LAMS migrations occurred in 3 pigs, two of which also had DED migration and/or partial dislocation. Two other pigs died, one with aberrant splenic vein positioning near the GJA and the other from an unknown cause. An endoscopic bariatric bypass procedure with controlled bypass length was technically successful in all the cases and led to weight loss in test animals. Safety concerns must be further addressed.

摘要

本研究评估了一种新的经自然腔道内镜手术(NOTES)减肥内镜程序在肥胖成年猪中的应用。这项为期 14 周的前瞻性研究比较了 6 只成年雄性 Yucatan 实验猪与基线平均年龄为 1.5-2 岁的 2 只对照猪。实验组猪接受了完全内镜 NOTES 十二指肠空肠旁路术,包括测量旁路长度和使用胃肠吻合口贴合金属支架(GJ-LAMS)创建胃空肠吻合术(GJA),在第 0 周进行;在第 2 周放置十二指肠阻断装置(DED);在第 6 周和第 10 周进行内镜检查。在第 14 周,猪被处死进行尸检。所有内镜手术均技术成功。到第 14 周,对照组猪体重平均增加 1.1±2.1kg(+1.6%),而干预组猪体重平均减轻 6.8±3.9kg(-10.5%)。3 只猪出现 GJ-LAMS 移位,其中 2 只猪还出现 DED 移位和/或部分脱位。另外 2 只猪死亡,1 只因 GJA 附近脾静脉位置异常,另 1 只死因不明。所有病例均成功实施了具有可控旁路长度的内镜减肥旁路术,导致实验组猪体重减轻。必须进一步解决安全性问题。

https://cdn.ncbi.nlm.nih.gov/pmc/blobs/ddfb/9700790/7bde5fe495c4/41598_2022_24614_Fig1_HTML.jpg

文献AI研究员

20分钟写一篇综述,助力文献阅读效率提升50倍。

立即体验

用中文搜PubMed

大模型驱动的PubMed中文搜索引擎

马上搜索

文档翻译

学术文献翻译模型,支持多种主流文档格式。

立即体验