Suppr超能文献

调节性 T 细胞的空间结构与鼻咽癌患者的疾病进展相关。

Spatial architecture of regulatory T-cells correlates with disease progression in patients with nasopharyngeal cancer.

机构信息

Department of Radiation Oncology, National Cancer Center/National Clinical Research Center for Cancer/Cancer Hospital, Chinese Academy of Medical Sciences and Peking Union Medical College, Beijing, China.

Tumor Research and Therapy Center, Shandong Provincial Hospital Affiliated to Shandong First Medical University, Jinan, Shandong, China.

出版信息

Front Immunol. 2022 Nov 10;13:1015283. doi: 10.3389/fimmu.2022.1015283. eCollection 2022.

Abstract

PURPOSE

This study aims to investigate the prognostic value of composition and spatial architecture of tumor-infiltrating lymphocytes (TILs) as well as PDL1 expression on TILs subpopulations in nasopharyngeal carcinoma (NPC).

METHODS

A total of 121 patients with NPC were included and divided into two groups: favorable (n = 68) and unfavorable (n = 53). The archived tumor tissues of the included patients were retrieved, and a tissue microarray was constructed. The density and spatial distribution of TILs infiltration were analyzed using the multiplex fluorescent immunohistochemistry staining for CD3, CD4, CD8, Foxp3, cytokeratin (CK), PDL1, and 4',6-diamidino-2-phenylindole (DAPI). The infiltration density of TILs subpopulations and PDL1 expression were compared between the two groups. The Gcross function was calculated to quantify the relative proximity of any two types of cells. The Cox proportional hazards regression model was used to identify factors associated with overall survival (OS) and disease-free survival (DFS).

RESULTS

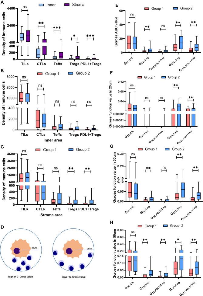
The densities of regulatory T-cells (Tregs), effector T-cells (Teffs), PDL1+ Tregs, and PDL1+ Teffs were significantly higher in patients with unfavorable outcomes. PDL1 expression on tumor cells (TCs) or overall TILs was not associated with survival. Multivariate analysis revealed that higher PDL1+ Tregs infiltration density was independently associated with inferior OS and DFS, whereas Tregs infiltration density was only a prognostic marker for DFS. Spatial analysis revealed that unfavorable group had significantly stronger Tregs and PDL1+ Tregs engagement in the proximity of TCs and cytotoxic T lymphocyte (CTLs). Gcross analysis further revealed that Tregs and PDL1+ Tregs were more likely to colocalize with CTLs. Moreover, increased G : (Tregs engagement surrounding TCs) and G : were identified as independent factors correlated with poor outcomes.

CONCLUSION

TILs have a diverse infiltrating pattern and spatial distribution in NPC. Increased infiltration of Tregs, particularly PDL1+ Tregs, as well as their proximity to TCs and CTLs, correlates with unfavorable outcomes, implying the significance of intercellular immune regulation in mediating disease progression.

摘要

目的

本研究旨在探讨肿瘤浸润淋巴细胞(TILs)组成和空间结构以及 PD-L1 在 TILs 亚群中的表达对鼻咽癌(NPC)预后的预测价值。

方法

纳入 121 例 NPC 患者,分为预后良好组(n=68)和预后不良组(n=53)。对纳入患者的存档肿瘤组织进行检索,构建组织微阵列。采用 CD3、CD4、CD8、Foxp3、细胞角蛋白(CK)、PD-L1 和 4',6-二脒基-2-苯基吲哚(DAPI)的多重荧光免疫组化染色分析 TILs 浸润的密度和空间分布。比较两组 TILs 亚群的浸润密度和 PD-L1 表达。计算 Gcross 函数以量化任意两种细胞的相对接近度。采用 Cox 比例风险回归模型识别与总生存期(OS)和无病生存期(DFS)相关的因素。

结果

预后不良组患者的调节性 T 细胞(Tregs)、效应 T 细胞(Teffs)、PD-L1+Tregs 和 PDL1+Teffs 的浸润密度明显较高。肿瘤细胞(TCs)或总 TILs 上的 PD-L1 表达与生存无关。多变量分析显示,较高的 PDL1+Tregs 浸润密度与较差的 OS 和 DFS 独立相关,而 Tregs 浸润密度仅为 DFS 的预后标志物。空间分析显示,预后不良组 Tregs 和 PDL1+Tregs 与 TCs 和细胞毒性 T 淋巴细胞(CTLs)的接近度明显更强。Gcross 分析进一步显示,Tregs 和 PDL1+Tregs 更有可能与 CTLs 共定位。此外,增加的 G:(Tregs 围绕 TCs 的共定位)和 G:被确定为与不良结局相关的独立因素。

结论

NPC 中的 TILs 具有多种浸润模式和空间分布。Tregs,特别是 PDL1+Tregs 的浸润增加,以及它们与 TCs 和 CTLs 的接近度,与不良结局相关,提示细胞间免疫调节在介导疾病进展中的重要性。

https://cdn.ncbi.nlm.nih.gov/pmc/blobs/ab41/9684321/b4c6afe823be/fimmu-13-1015283-g001.jpg

文献AI研究员

20分钟写一篇综述,助力文献阅读效率提升50倍。

立即体验

用中文搜PubMed

大模型驱动的PubMed中文搜索引擎

马上搜索

文档翻译

学术文献翻译模型,支持多种主流文档格式。

立即体验