Suppr超能文献

SIRT1在RAW 264.7巨噬细胞感染过程中的作用。

The role of SIRT1 in the process of infection of RAW 264.7 macrophages.

作者信息

Dong Kai, Jiang Ziyang, Zhang Jianhui, Qin Hanxiao, Chen Jianping, Chen Qiwei

机构信息

Department of Parasitology, West China School of Basic Medical Sciences and Forensic Medicine, Sichuan University, Chengdu, China.

Animal Disease Prevention and Food Safety Key Laboratory of Sichuan Province, Chengdu, China.

出版信息

Front Microbiol. 2022 Nov 17;13:1017696. doi: 10.3389/fmicb.2022.1017696. eCollection 2022.

Abstract

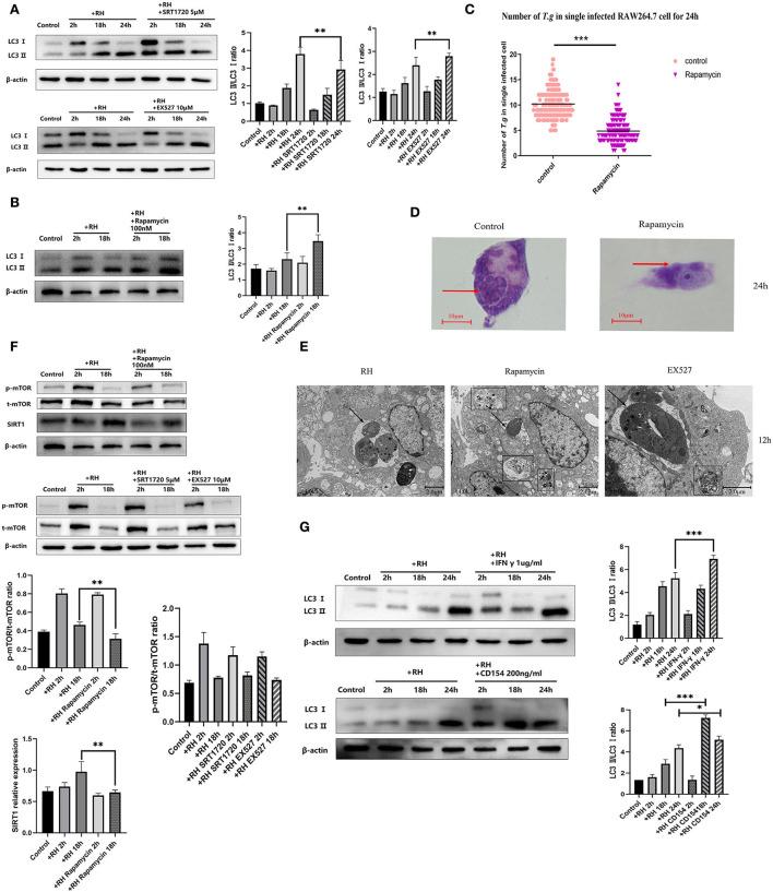
is an opportunistic pathogenic protozoan that can infect almost all kinds of warm-blooded animals, including humans. can evade the host's immune response, a process known as immune evasion. Our main objective was to evaluate the role played by Sirtuin1 (SIRT1) [one of the sirtuins (SIRTs) that are a family of nicotinamide adenine dinucleotide (NAD)-dependent histone deacetylases (HDACs)] in the infection of RAW264.7 macrophages. In this study, we evaluated and observed alterations in the activity, expression, and localization of SIRT1 and assessed its involvement in the CD154/IFN-γ (CD40 ligand/interferon gamma) killing pathway and in autophagy during infection. The inhibition of SIRT1 in host cells effectively reduced the number of intracellular tachyzoites, and the mechanism behind this effect might be the upregulation of IRGM1 [murine ortholog of IRGM (immunity-related GTPase family M)] and the initiation of autophagy. To the best of our knowledge, our study is the first to prove that infection upregulates SIRT1 in RAW264.7 cells and that the inhibition of SIRT1 reduces the number of intracellular tachyzoites. Moreover, the upregulation of IRGM1 and the activation of autophagy may contribute to the intracellular inhibition of caused by SIRT1 inhibition.

摘要

是一种机会性致病原生动物,可感染几乎所有种类的温血动物,包括人类。它能逃避宿主的免疫反应,这一过程称为免疫逃逸。我们的主要目标是评估沉默调节蛋白1(SIRT1)[沉默调节蛋白(SIRTs)家族的一员,是一类依赖烟酰胺腺嘌呤二核苷酸(NAD)的组蛋白脱乙酰酶(HDACs)]在RAW264.7巨噬细胞感染中的作用。在本研究中,我们评估并观察了SIRT1的活性、表达和定位变化,并评估了其在感染期间对CD154/IFN-γ(CD40配体/干扰素γ)杀伤途径和自噬的参与情况。宿主细胞中SIRT1的抑制有效减少了细胞内速殖子的数量,这种效应背后的机制可能是IRGM1[IRGM(免疫相关GTP酶家族M)的小鼠直系同源物]的上调和自噬的启动。据我们所知,我们的研究首次证明感染会上调RAW264.7细胞中的SIRT1,并且SIRT1的抑制会减少细胞内速殖子的数量。此外,IRGM1的上调和自噬的激活可能有助于SIRT1抑制引起的细胞内抑制。 (注:原文中未明确指出“它”是什么原生动物,翻译时保留了原文的指代不明情况)

https://cdn.ncbi.nlm.nih.gov/pmc/blobs/23b3/9713941/9754dbbf5795/fmicb-13-1017696-g0001.jpg

文献AI研究员

20分钟写一篇综述,助力文献阅读效率提升50倍。

立即体验

用中文搜PubMed

大模型驱动的PubMed中文搜索引擎

马上搜索

文档翻译

学术文献翻译模型,支持多种主流文档格式。

立即体验