Suppr超能文献

大鼠全膝关节置换术后急性术后疼痛与背根神经节转录组学特征:一项实验研究。

Acute postoperative pain and dorsal root ganglia transcriptomic signatures following total knee arthroplasty (TKA) in rats: An experimental study.

机构信息

Department of Orthopaedics and Rehabilitation, Renaissance School of Medicine, Stony Brook University, Stony Brook, NY, United States of America.

Department of Anesthesiology, Renaissance School of Medicine, Stony Brook University, Stony Brook, NY, United States of America.

出版信息

PLoS One. 2022 Dec 6;17(12):e0278632. doi: 10.1371/journal.pone.0278632. eCollection 2022.

Abstract

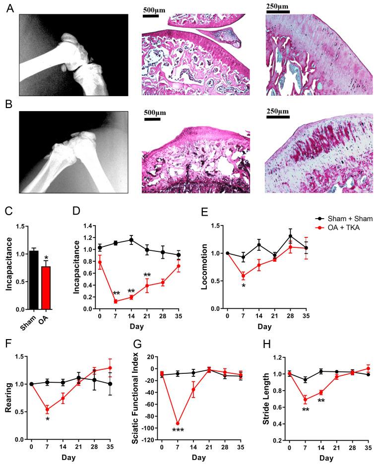
Total knee arthroplasty (TKA) is the final treatment option for patients with advanced knee osteoarthritis (OA). Unfortunately, TKA surgery is accompanied by acute postoperative pain that is more severe than arthroplasty performed in other joints. Elucidating the molecular mechanisms specific to post-TKA pain necessitates an animal model that replicates clinical TKA procedures, induces acute postoperative pain, and leads to complete functional recovery. Here, we present a new preclinical TKA model in rats and report on functional and behavioral outcomes indicative of pain, analgesic efficacy, serum cytokine levels, and dorsal root ganglia (DRG) transcriptomes during the acute postoperative period. Following TKA, rats exhibited marked deficits in weight bearing that persisted for 28 days. Home cage locomotion, rearing, and gait were similarly impacted and recovered by day 14. Cytokine levels were elevated on postoperative days one and/or two. Treatment with morphine, ketorolac, or their combination improved weight bearing while gabapentin lacked efficacy. When TKA was performed in rats with OA, similar functional deficits and comparable recovery time courses were observed. Analysis of DRG transcriptomes revealed upregulation of transcripts linked to multiple molecular pathways including inflammation, MAPK signaling, and cytokine signaling and production. In summary, we developed a clinically relevant rat TKA model characterized by resolution of pain and functional recovery within five weeks and with pain-associated behavioral deficits that are partially alleviated by clinically administered analgesics, mirroring the postoperative experience of TKA patients.

摘要

全膝关节置换术(TKA)是晚期膝关节骨关节炎(OA)患者的最终治疗选择。不幸的是,TKA 手术伴随着急性术后疼痛,比其他关节置换术更严重。阐明特定于 TKA 后疼痛的分子机制需要一种动物模型,该模型可复制临床 TKA 手术,引起急性术后疼痛,并导致完全功能恢复。在这里,我们在大鼠中提出了一种新的临床前 TKA 模型,并报告了在急性术后期间与疼痛相关的功能和行为结果、镇痛效果、血清细胞因子水平和背根神经节(DRG)转录组。TKA 后,大鼠的体重明显减轻,持续 28 天。同样,笼内运动、饲养和步态受到影响,并在第 14 天恢复。术后第 1 天和/或第 2 天细胞因子水平升高。吗啡、酮咯酸或两者联合治疗可改善体重,而加巴喷丁无效。当 OA 大鼠进行 TKA 时,观察到类似的功能缺陷和可比的恢复时间过程。DRG 转录组分析显示与多种分子途径相关的转录本上调,包括炎症、MAPK 信号转导和细胞因子信号转导和产生。总之,我们开发了一种具有临床相关性的大鼠 TKA 模型,其特点是在五周内疼痛缓解和功能恢复,并且与疼痛相关的行为缺陷部分缓解由临床给予的镇痛药,反映了 TKA 患者的术后体验。

https://cdn.ncbi.nlm.nih.gov/pmc/blobs/def8/9725137/9abe6589b27c/pone.0278632.g001.jpg

文献AI研究员

20分钟写一篇综述,助力文献阅读效率提升50倍。

立即体验

用中文搜PubMed

大模型驱动的PubMed中文搜索引擎

马上搜索

文档翻译

学术文献翻译模型,支持多种主流文档格式。

立即体验