Suppr超能文献

二肽基肽酶-4抑制剂:西他列汀下调Toll样受体4信号通路以减轻大鼠子宫损伤。

Dipeptidyl peptidase-4 inhibitor: Sitagliptin down-regulated toll-like receptor 4 signaling pathway to reduce uterine injury in rats.

作者信息

Rofaeil Remon Roshdy, Ahmed Sabreen Mahmoud, Bahaa Haitham Ahmed, Mahran Ahmad, Welson Nermeen N, Abdelzaher Walaa Yehia

机构信息

Department of Pharmacology, Faculty of Medicine, Minia University, Minia, Egypt.

Department of Pharmacology, Faculty of Pharmacy, Deraya University, Minia, Egypt.

出版信息

Iran J Basic Med Sci. 2022 Nov;25(11):1396-1401. doi: 10.22038/IJBMS.2022.64552.14202.

Abstract

OBJECTIVES

Uterine ischemia is a common problem with ongoing controversy about its pathogenesis and prevention. The present study aimed to investigate the protective role of sitagliptin against uterine ischemia-reperfusion injury (IRI).

MATERIALS AND METHODS

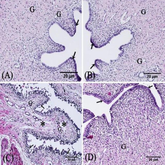
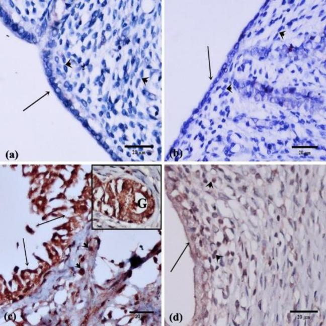
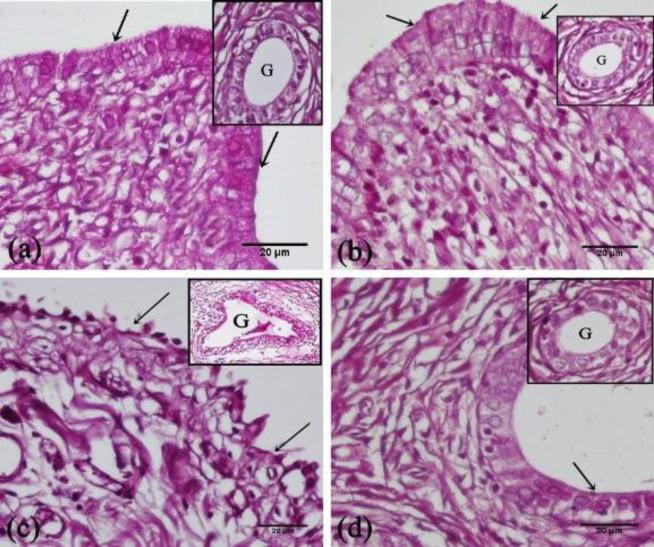
Rats were allocated into 4 groups: control, sitagliptin (SIT) (5 mg/kg), IR; ischemia was induced followed by reperfusion, and IR+SIT; SIT was administered 1 hr before IRI. Uteri were removed for histopathological and biochemical observations. Malondialdehyde (MDA), total nitrites (NOx), reduced glutathione (GSH), superoxide dismutase (SOD) activity, tumor necrosis factor-α (TNF-α), interleukin-6 (IL-6), and toll-like receptor 4 (TLR4) were all measured. Hematoxylin and eosin (H&E) stain, Periodic acid-Schiff stain (PAS), and caspase-3 immunostaining were applied.

RESULTS

In the IR+SIT group; NOx, GSH, and SOD activities increased significantly. Meanwhile, the levels of MDA, TNF-α, IL-6, TLR4, and caspase-3 immunoexpression showed a significant reduction, as compared with the IR group. In the IR+SIT group, an improvement in the histopathological picture was noticed.

CONCLUSION

The results showed that sitagliptin confers protection against uterine IRI through anti-oxidant, anti-inflammatory, and anti-apoptotic effects with a possible role for TLR4.

摘要

目的

子宫缺血是一个常见问题,其发病机制和预防方法仍存在争议。本研究旨在探讨西他列汀对子宫缺血再灌注损伤(IRI)的保护作用。

材料与方法

将大鼠分为4组:对照组、西他列汀(SIT)组(5 mg/kg)、缺血再灌注组(IR);诱导缺血后再灌注,以及缺血再灌注+西他列汀组(IR+SIT);在IRI前1小时给予SIT。取出子宫进行组织病理学和生化观察。检测丙二醛(MDA)、总亚硝酸盐(NOx)、还原型谷胱甘肽(GSH)、超氧化物歧化酶(SOD)活性、肿瘤坏死因子-α(TNF-α)、白细胞介素-6(IL-6)和Toll样受体4(TLR4)。应用苏木精和伊红(H&E)染色、过碘酸-希夫(PAS)染色和半胱天冬酶-3免疫染色。

结果

在IR+SIT组中;NOx、GSH和SOD活性显著增加。同时,与IR组相比,MDA、TNF-α、IL-6、TLR4水平和半胱天冬酶-3免疫表达显著降低。在IR+SIT组中,组织病理学图像有所改善。

结论

结果表明,西他列汀通过抗氧化、抗炎和抗凋亡作用对子宫IRI具有保护作用,TLR4可能发挥作用。

https://cdn.ncbi.nlm.nih.gov/pmc/blobs/dd39/9699943/f9615e2089fc/IJBMS-25-1396-g001.jpg

文献AI研究员

20分钟写一篇综述,助力文献阅读效率提升50倍。

立即体验

用中文搜PubMed

大模型驱动的PubMed中文搜索引擎

马上搜索

文档翻译

学术文献翻译模型,支持多种主流文档格式。

立即体验